跳转至内容
Merck
CN

SAB4200643

Monoclonal Anti-PLEKHA7 antibody produced in mouse

clone PLK7, purified from hybridoma cell culture

登录 查看组织和合同定价。

选择尺寸

变更视图

关于此项目

NACRES:
NA.41
UNSPSC Code:
12352203
Conjugate:
unconjugated
Clone:
PLK7, monoclonal
Application:
FACS, ICC
Citations:
5
技术服务
需要帮助?我们经验丰富的科学家团队随时乐意为您服务。
让我们为您提供帮助


biological source

mouse

conjugate

unconjugated

antibody form

purified immunoglobulin

antibody product type

primary antibodies

clone

PLK7, monoclonal

form

buffered aqueous solution

species reactivity

human

concentration

~1 mg/mL

technique(s)

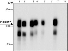
flow cytometry: 2-4 μg/test using NCI-H1299 cells, immunoblotting: suitable, immunocytochemistry: 0.25-0.5 μg/mL using human CaCo2 cells

isotype

IgG2a

UniProt accession no.

shipped in

dry ice

storage temp.

−20°C

target post-translational modification

unmodified

Gene Information

human ... PLEKHA7(144100)

General description

Monoclonal Anti-PLEKHA7 (mouse IgG2a isotype) is derived from the hybridoma PLK7 produced by the fusion of mouse myeloma cells and splenocytes from BALB/c mice immunized with a synthetic peptide corresponding to a sequence at the N-terminal region of human PLEKHA7, conjugated to KLH. PLEKHA7 contains WW (rsp5-domain), PH (pleckstrin homology), and CC (coiled-coil) domains.
PLEKHA7 (Pleckstrin homology domain containing, family A member 7) is an adherens junction protein localized at the adherens junctions in colonic epithelial cells.

Immunogen

synthetic peptide corresponding to a sequence at the N-terminal region of human PLEKHA7

Application

Monoclonal Anti-PLEKHA7 antibody has been used in
  • immunoblotting
  • immunocytochemistry
  • flow cytometry

Biochem/physiol Actions

Overexpression of PLEKHA7 was reported to be common in invasive lobular carcinomas (ILCs) and hence PLEKHA7 could serve as a molecular marker to differentiate ILCs from invasive ductal carcinomas (IDCs).
PLEKHA7 (Pleckstrin homology domain containing, family A member 7) functions as a cytoplasmic component of the epithelial adherens junction belt, with a subcellular localization and tissue distribution and connects E-cadherin-p120 ctn complex to the microtubule cytoskeleton. It has been reported that PLEKHA7 acts as zonula adherens (ZA) component, identifies Nezha, which further binds to microtubules (MTs) of the cytoskeleton, and forms a protein complex during cytoskeleton assembly.

Physical form

Solution in 0.01 M phosphate buffered saline, pH 7.4, containing 15 mM sodium azide.

Disclaimer

Unless otherwise stated in our catalog or other company documentation accompanying the product(s), our products are intended for research use only and are not to be used for any other purpose, which includes but is not limited to, unauthorized commercial uses, in vitro diagnostic uses, ex vivo or in vivo therapeutic uses or any type of consumption or application to humans or animals.


Still not finding the right product?

试用我们的 产品选型工具 工具缩小选择范围


存储类别

10 - Combustible liquids

wgk

WGK 1

flash_point_f

Not applicable

flash_point_c

Not applicable

法规信息

常规特殊物品
低风险生物材料

此项目有



历史批次信息供参考:

分析证书(COA)

Lot/Batch Number

没有发现合适的版本?

如果您需要特殊版本,可通过批号或批次号查找具体证书。

已有该产品?

在文件库中查找您最近购买产品的文档。

访问文档库



Anna Akhmanova et al.
Cell, 135(5), 791-793 (2008-12-02)
The zonula adherens (ZA) is a specialized cadherin-based structure found at the contacts between epithelial cells. Meng et al. (2008) now identify a protein complex containing the microtubule minus-end-binding protein Nezha, which provides a critical link between microtubules and cadherins
Souichi Kurita et al.
The Journal of biological chemistry, 288(41), 29356-29368 (2013-08-31)
Adherens junction (AJ) is a specialized cell-cell junction structure that plays a role in mechanically connecting adjacent cells to resist strong contractile forces and to maintain tissue structure, particularly in the epithelium. AJ is mainly comprised of cell adhesion molecules
Bàrbara Castellana et al.
Human pathology, 43(11), 1902-1909 (2012-05-01)
Molecular differentiation between invasive lobular carcinomas (ILCs) and invasive ductal carcinomas (IDCs) of the breast has not been well defined. We investigated gene expression differences between ILCs and IDCs and their correlation with variations in invasiveness and tumor growth. Total



全球贸易项目编号

货号GTIN
SAB4200643-100UL04061837725951