跳转至内容
Merck
CN

SAB4200656

抗- 牛白蛋白 兔抗

affinity isolated antibody

别名:

Anti-BSA

登录 查看组织和合同定价。

选择尺寸

变更视图

关于此项目

NACRES:
NA.46
UNSPSC Code:
12352203
Conjugate:
unconjugated
Clone:
polyclonal
Application:
ELISA (i), IP
Citations:
4
技术服务
需要帮助?我们经验丰富的科学家团队随时乐意为您服务。
让我们为您提供帮助


biological source

rabbit

Quality Level

conjugate

unconjugated

antibody form

affinity isolated antibody

antibody product type

primary antibodies

clone

polyclonal

form

buffered aqueous solution

mol wt

antigen ~70 kDa

species reactivity

bovine, human

concentration

~1 mg/mL

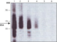
technique(s)

immunoblotting: 0.03-0.06 μg/mL, immunoprecipitation (IP): 2.5-5 μg, indirect ELISA: 0.25-0.5 μg/mL (using 5μg/mL BSA for coating)

shipped in

dry ice

storage temp.

−20°C

target post-translational modification

unmodified

Gene Information

bovine ... Alb(280717)
human ... ALB(213)

General description

血清白蛋白是血浆中最丰富的蛋白质(30-50 mg/mL),是肝脏中产生的多功能非糖基化,带负电荷的蛋白质。它与多种亲脂性化合物结合,例如类固醇和亲脂性激素。

Immunogen

Cohn组分V的纯化BSA

Application

兔产生的抗牛白蛋白抗体已用于:
  • ELISA
  • 免疫印迹
  • 免疫沉淀

Biochem/physiol Actions

白蛋白的功能包括调节血液中的渗透压以及运输脂肪酸和其他亲脂性化合物。据报道,血清白蛋白是需要监测血糖控制的疾病(例如癌症,HIV疾病)中有价值的生物标志物。

Physical form

溶于0.01 M磷酸盐缓冲液(pH 7.4)中,含有15 mM叠氮化钠。

Disclaimer

除非我们的产品目录或产品附带的其他公司文档另有说明,否则我们的产品仅供研究使用,不得用于任何其他目的,包括但不限于未经授权的商业用途、体外诊断用途、离体或体内治疗用途或任何类型的消费或应用于人类或动物。


Still not finding the right product?

Explore all of our products under 抗- 牛白蛋白 兔抗

或者

试用我们的 产品选型工具 工具缩小选择范围


存储类别

10 - Combustible liquids

wgk

nwg

flash_point_f

Not applicable

flash_point_c

Not applicable

法规信息

常规特殊物品
低风险生物材料

此项目有



历史批次信息供参考:

分析证书(COA)

Lot/Batch Number

没有发现合适的版本?

如果您需要特殊版本,可通过批号或批次号查找具体证书。

已有该产品?

在文件库中查找您最近购买产品的文档。

访问文档库



M E Baker
The Journal of endocrinology, 175(1), 121-127 (2002-10-16)
Albumin, the major serum protein, binds a wide variety of lipophilic compounds including steroids, other lipophilic hormones and various phytochemicals and xenobiotics that bind to receptors for steroids and other lipophilic hormones. Despite albumin's low affinity (K(d) approximately 10(-4) M
Samantha Knott et al.
Frontiers in microbiology, 12, 655873-655873 (2021-05-18)
Biofilms are typically studied in bacterial media that allow the study of important properties such as bacterial growth. However, the results obtained in such media cannot take into account the bacterial localization/clustering caused by bacteria-protein interactions in vivo and the
Baker, M.E.,
The Journal of Endocrinology, 175, 121-17 (2002)



全球贸易项目编号

货号GTIN
SAB4200656-100UL04061838037459