跳转至内容
Merck
CN

SAB4200660

Monoclonal Anti-GOLPH3 antibody produced in mouse

clone GOL3-1, purified from hybridoma cell culture

别名:

GOPP1, GPP34, MIDAS, golgi phosphoprotein 3 (coat-protein)

登录 查看组织和合同定价。

选择尺寸

变更视图

关于此项目

NACRES:
NA.41
UNSPSC Code:
12352203
Conjugate:
unconjugated
Clone:
GOL3-1
Application:
IF, IP
Citations:
5
技术服务
需要帮助?我们经验丰富的科学家团队随时乐意为您服务。
让我们为您提供帮助


biological source

mouse

Quality Level

conjugate

unconjugated

antibody form

purified immunoglobulin

antibody product type

primary antibodies

clone

GOL3-1

form

buffered aqueous solution

mol wt

antigen ~34 kDa

species reactivity

human, mouse, rat

concentration

~1 mg/mL

technique(s)

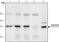
immunoblotting: 2.5-5 μg/mL using using whole extracts of rat PC-12 cells., immunofluorescence: 2.5-5 μg/mL using mouse 3T3 cells, immunoprecipitation (IP): 5-10 μg using using lysates of human HeLa cells

isotype

IgG1

UniProt accession no.

shipped in

dry ice

storage temp.

−20°C

target post-translational modification

unmodified

Gene Information

human ... GOLPH3(64083)
mouse ... Golph3(66629)
rat ... Golph3(78961)

General description

GOLPH3 (golgi phosphoprotein 3) is an abundant phosphatidylinositol-4-phosphate (PtdIns4P)-interacting protein which is conserved from yeast to humans. This protein is localized to Golgi through PtdIns4P. This gene is localized to human chromosome 5p13. GOLPH3 has a molecular weight of 34kDa.
Monoclonal Anti-GOLPH3 (mouse IgG1 isotype) is derived from the hybridoma GOL3-1 produced by the fusion of mouse myeloma cells and splenocytes from BALB/c mice. GOLPH3 (Golgi phosphoprotein 3) is a peripheral membrane protein of the Golgi stack that localizes to the trans-Golgi network. GOLPH3 is conserved from yeast to human. This gene was described as an oncogene that is commonly amplified in human cancer and in cancer cell lines.

Immunogen

synthetic peptide corresponding to a sequence at the N-terminal region of human Golph3

Application

Monoclonal Anti-GOLPH3 antibody produced in mouse has been used in:
  • immunoblotting
  • immunoprecipitation
  • immunofluorescence

Biochem/physiol Actions

GOLPH3 (golgi phosphoprotein 3) links Golgi membrane to actin cytoskeleton by interacting with MYO18A, which is an unconventional myosin. This, in turn, is crucial for Golgi architecture and vesicle trafficking. It is an oncogene, which is susceptible to amplification in cancers, and is responsible for controlling the response to the anti-cancer drug, rapamycin. It is thought to function as a coat protein during Golgi trafficking.
GOLPH3 has a role in Golgi trafficking and morphology. It interacts with the unconventional myosin MYO18A, linking Golgi membranes to the actin cytoskeleton. GOLPH3 is also required for Golgi function. Overexpression of GOLPH3 is correlated with hyperactivation of mTOR signaling, in human cancer cells.

Physical form

Solution in 0.01 M phos­phate buffered saline, pH 7.4, containing 15 mM sodium azide.

Disclaimer

Unless otherwise stated in our catalog or other company documentation accompanying the product(s), our products are intended for research use only and are not to be used for any other purpose, which includes but is not limited to, unauthorized commercial uses, in vitro diagnostic uses, ex vivo or in vivo therapeutic uses or any type of consumption or application to humans or animals.


Still not finding the right product?

试用我们的 产品选型工具 工具缩小选择范围


存储类别

10 - Combustible liquids

wgk

WGK 1

flash_point_f

Not applicable

flash_point_c

Not applicable

法规信息

低风险生物材料
常规特殊物品

此项目有



历史批次信息供参考:

分析证书(COA)

Lot/Batch Number

没有发现合适的版本?

如果您需要特殊版本,可通过批号或批次号查找具体证书。

已有该产品?

在文件库中查找您最近购买产品的文档。

访问文档库



Yingchun Ma et al.
Virchows Archiv : an international journal of pathology, 464(4), 443-452 (2014-01-25)
Overexpression of GOLPH3 (Golgi phosphoprotein 3, 34 kDa) is associated with the progression of many solid tumor types leading to an unfavorable clinical outcome. The present study examined the association between GOLPH3 expression and tumor development, clinicopathological factors, and prognosis
GOLPH3 links the Golgi network to mTOR signaling and human cancer.
Robert T Abraham
Pigment cell & melanoma research, 22(4), 378-379 (2009-07-25)
A W Bell et al.
The Journal of biological chemistry, 276(7), 5152-5165 (2000-10-24)
A mass spectrometric analysis of proteins partitioning into Triton X-114 from purified hepatic Golgi apparatus (84% purity by morphometry, 122-fold enrichment over the homogenate for the Golgi marker galactosyl transferase) led to the unambiguous identification of 81 proteins including a



全球贸易项目编号

货号GTIN
SAB4200660-100UL04061838037473