跳转至内容
Merck
CN

SAB4200724

抗-AGO2抗体,小鼠单克隆

clone AGO2-10, purified from hybridoma cell culture

别名:

抗-Argonaute2, 抗-PAZ Piwi域蛋白(PPD), 抗-eIF2C 2, 抗-真核翻译起始因子2C 2, 抗-精氨酸RISC催化组分2, 抗-蛋白Argonaute 2

登录 查看组织和合同定价。

选择尺寸

变更视图

关于此项目

NACRES:
NA.41
UNSPSC Code:
12352203
Conjugate:
unconjugated
Clone:
AGO2-10, monoclonal
Application:
IP
Citations:
11
技术服务
需要帮助?我们经验丰富的科学家团队随时乐意为您服务。
让我们为您提供帮助


biological source

mouse

Quality Level

conjugate

unconjugated

antibody form

purified from hybridoma cell culture

antibody product type

primary antibodies

clone

AGO2-10, monoclonal

form

buffered aqueous solution

mol wt

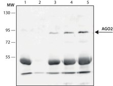
~95 kDa

species reactivity

human

concentration

~1.0 mg/mL

technique(s)

immunoblotting: 2-4 μg/mL using extract of HEK-293T cells transfected with human AGO2, immunoprecipitation (IP): 10-20 μg/test using HeLa cells extract

isotype

IgG1

UniProt accession no.

shipped in

dry ice

storage temp.

−20°C

target post-translational modification

unmodified

Gene Information

human ... AGO2(27161)

General description

抗-AGO2小鼠单克隆抗体(小鼠IgG1同工型)来源于用人AGO2蛋白C-末端区域并与匙孔血蓝蛋白(KLH)偶联的合成肽免疫的BALB/c小鼠骨髓瘤细胞,和脾细胞相互融合而产生的AGO2-10杂交瘤细胞。AGO2也称为蛋白argonaute 2、argonaute RNA诱导的沉默复合物(RISC)催化成分2、真核翻译起始因子2C 2(eIF2C2)和PAZ Piwi域蛋白(PPD)。Argonaute 2(AGO2)属于Argonaute家族。它定位于人类染色体8q24。Ago蛋白定位于体细胞的细胞质,并在细胞质加工体中浓缩。

Immunogen

对应于人AGO2蛋白C末端区域的合成肽,其与KLH偶联。

Application

抗-AGO2小鼠单克隆抗体已被用于免疫印迹和免疫沉淀。

Biochem/physiol Actions

Argonaute 2(AGO2)具有内在的核酸内切酶活性。它能以小RNA向导的方式直接切割mRNA。AGO2可作为RNA诱导的沉默复合物(RISC)的必要催化成分在RNA沉默过程中起核心作用。它对于稳定细胞外体液中外泌体中的循环microRNA(miRNA)中具有重要作用。

Physical form

溶于含有 15 mM 叠氮化钠的 0.01M 磷酸盐缓冲盐水(pH 7.4)溶液中。

Disclaimer

除非我们的产品目录或产品附带的其他公司文档另有说明,否则我们的产品仅供研究使用,不得用于任何其他目的,包括但不限于未经授权的商业用途、体外诊断用途、离体或体内治疗用途或任何类型的消费或应用于人类或动物。


Still not finding the right product?

试用我们的 产品选型工具 工具缩小选择范围


存储类别

10 - Combustible liquids

wgk

WGK 1

flash_point_f

Not applicable

flash_point_c

Not applicable

法规信息

常规特殊物品
低风险生物材料

此项目有



历史批次信息供参考:

分析证书(COA)

Lot/Batch Number

没有发现合适的版本?

如果您需要特殊版本,可通过批号或批次号查找具体证书。

已有该产品?

在文件库中查找您最近购买产品的文档。

访问文档库



Lasse Peters et al.
Molecular cell, 26(5), 611-623 (2007-06-15)
Small regulatory RNAs such as short interfering RNAs (siRNAs), microRNAs (miRNAs), and Piwi interacting RNAs (piRNAs) have been discovered in the past, and it is becoming more and more apparent that these small molecules have key regulatory functions. Small RNAs
Andrey Turchinovich et al.
Methods in molecular biology (Clifton, N.J.), 1024, 97-107 (2013-05-31)
Circulating microRNAs (miRNAs) have been recently detected in extracellular body fluids and proved themselves as promising biomarkers for a broad spectrum of diseases. The techniques to isolate, detect, and characterize extracellular miRNAs vary significantly from report to report. In this
Jidong Liu et al.
Science (New York, N.Y.), 305(5689), 1437-1441 (2004-07-31)
Gene silencing through RNA interference (RNAi) is carried out by RISC, the RNA-induced silencing complex. RISC contains two signature components, small interfering RNAs (siRNAs) and Argonaute family proteins. Here, we show that the multiple Argonaute proteins present in mammals are



全球贸易项目编号

货号GTIN
SAB4200724-100UL04061838037787