跳转至内容
Merck
CN

SAB4200749

Anti-Collagen Type III (COL3A1) Antibody

mouse monoclonal, FH-7A

别名:

Anti-COL3A1, Anti-Collagen alpha-1(III) chain

登录 查看组织和合同定价。

选择尺寸

变更视图

关于此项目

UNSPSC Code:
12352203
NACRES:
NA.41
Clone:
FH-7A, monoclonal
Species reactivity:
rat, human
Application:
ELISA, IF, IHC
Citations:
13
技术服务
需要帮助?我们经验丰富的科学家团队随时乐意为您服务。
让我们为您提供帮助


产品名称

Anti-Collagen Type III antibody, Mouse monoclonal, clone FH-7A, purified from hybridoma cell culture

biological source

mouse

Quality Level

antibody form

purified from hybridoma cell culture

antibody product type

primary antibodies

clone

FH-7A, monoclonal

form

buffered aqueous solution

mol wt

~70 kDa

species reactivity

rat, human

concentration

~1.0 mg/mL

technique(s)

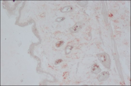
ELISA: suitable, immunoblotting: suitable, immunofluorescence: suitable, immunohistochemistry: 10-20 μg/mL using heat-retrieved formalin-fixed, paraffin-embedded rat skin sections.

isotype

IgG1

UniProt accession no.

shipped in

dry ice

storage temp.

−20°C

target post-translational modification

unmodified

Gene Information

human ... COL3A1(1281)

General description

Anti-collagen type III antibody, mouse monoclonal (mouse IgG1 isotype) is derived from the FH-7A hybridoma produced by the fusion of mouse myeloma cells and splenocytes from a BALB/c immunized mouse.
Monoclonal anti-collagen type III specifically recognizes native and denatured collagen type III from human 1 and rat 2 origin. It does not recognize collagen types I, II, IV, V, VI and X.
Collagen type III, also known as collagen α-1(III) (COL3A1), is encoded by the gene mapped to human chromosome 2q24.3-q31. It is the highly expressed collagen in blood vessels and hollow organs.

Immunogen

Human Collagen Type III

Biochem/physiol Actions

Collagen a-1(III) (COL3A1) serves as a potent adjunct marker for both differentiating fibroadenoma (FA) from phyllodes tumor (PT) and measuring malignant potential in PTs. Overexpression of the gene in glomerular leads to the development of collagen type III glomerulopathy. Mutations in the gene is associated with the development of familial aortic aneurysms and Ehlers-Danlos syndrome.

Physical form

Solution in 0.01 M phosphate buffered saline, pH 7.4, containing 15 mM sodium azide.

Preparation Note

Store at -20°C. For continuous use, store at 2-8°C for up to one month. For extended storage, freeze in working aliquots. Repeated freezing and thawing is not recommended. If slight turbidity occurs upon prolonged storage, clarify the solution by centrifugation before use. Working dilution samples should be discarded if not used within 12 hours.

Other Notes

In order to obtain best results in different techniques and preparations we recommend determining optimal working concentration by titration test.


Still not finding the right product?

Explore all of our products under

或者

试用我们的 产品选型工具 工具缩小选择范围


存储类别

12 - Non Combustible Liquids

wgk

nwg

flash_point_f

Not applicable

flash_point_c

Not applicable

法规信息

常规特殊物品
低风险生物材料

此项目有



历史批次信息供参考:

分析证书(COA)

Lot/Batch Number

没有发现合适的版本?

如果您需要特殊版本,可通过批号或批次号查找具体证书。

已有该产品?

在文件库中查找您最近购买产品的文档。

访问文档库



The extracellular matrix at a glance.
Christian Frantz et al.
Journal of cell science, 123(Pt 24), 4195-4200 (2010-12-03)
Glomerular Collagen V Codeposition and Hepatic Perisinusoidal Collagen III Accumulation in Canine Collagen Type III Glomerulopathy.
R?rtveit R, et al.
Veterinary Pathology, 52, 1134-1141 (2015)
Linkage mapping of the gene for type III collagen (COL3A1) to human chromosome 2q using a VNTR polymorphism.
Tiller GE, et al.
Genomics, 20, 275-277 (1994)



全球贸易项目编号

货号GTIN
SAB4200749-100UL04061833351000