跳转至内容
Merck
CN

SAB4300305

Anti-JUN (Ab-91) antibody produced in rabbit

affinity isolated antibody

别名:

Anti-AP-1 antibody produced in rabbit, Anti-AP1 antibody produced in rabbit, Anti-c-Jun antibody produced in rabbit, Anti-jun oncogene antibody produced in rabbit

登录 查看组织和合同定价。

选择尺寸

变更视图

关于此项目

NACRES:
NA.41
UNSPSC Code:
12352203
Conjugate:
unconjugated
Clone:
polyclonal
Application:
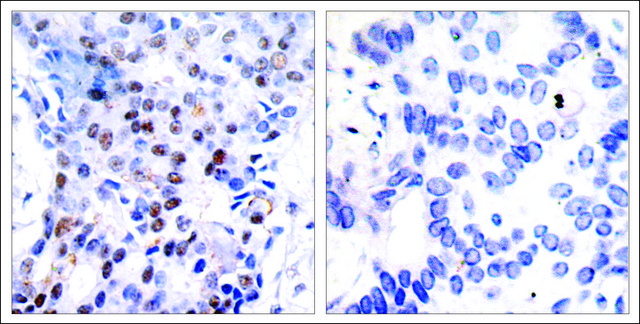
IF, IHC (p), WB
Citations:
4
技术服务
需要帮助?我们经验丰富的科学家团队随时乐意为您服务。
让我们为您提供帮助


biological source

rabbit

Quality Level

conjugate

unconjugated

antibody form

affinity isolated antibody

antibody product type

primary antibodies

clone

polyclonal

form

buffered aqueous solution

mol wt

~43 kDa

species reactivity

rat, mouse, human

concentration

1 mg/mL

technique(s)

immunohistochemistry (formalin-fixed, paraffin-embedded sections): 1:50-1:100, indirect immunofluorescence: 1:100-1:200, western blot: 1:500-1:1000

isotype

IgG

immunogen sequence

(T-T-T-P-T)

NCBI accession no.

UniProt accession no.

shipped in

wet ice

storage temp.

−20°C

target post-translational modification

unmodified

Gene Information

human ... JUN(3725)

General description

Transcription factor that recognizes and binds to the enhancer heptamer motif 5'-TGA[CG]TCA-3'.

Immunogen

Peptide sequence around aa. 89-93 (T-T-T-P-T), according to the protein JUN.

Features and Benefits

Evaluate our antibodies with complete peace of mind. If the antibody does not perform in your application, we will issue a full credit or replacement antibody. Learn more.

Physical form

Solution in phosphate-buffered saline containing 0.02% sodium azide and 50% glycerol

Disclaimer

Unless otherwise stated in our catalog or other company documentation accompanying the product(s), our products are intended for research use only and are not to be used for any other purpose, which includes but is not limited to, unauthorized commercial uses, in vitro diagnostic uses, ex vivo or in vivo therapeutic uses or any type of consumption or application to humans or animals.


Still not finding the right product?

试用我们的 产品选型工具 工具缩小选择范围


存储类别

10 - Combustible liquids

wgk

WGK 1

flash_point_f

Not applicable

flash_point_c

Not applicable

法规信息

新产品

此项目有



历史批次信息供参考:

分析证书(COA)

Lot/Batch Number

没有发现合适的版本?

如果您需要特殊版本,可通过批号或批次号查找具体证书。

已有该产品?

在文件库中查找您最近购买产品的文档。

访问文档库



Anik Boudreau et al.
Nutrition (Burbank, Los Angeles County, Calif.), 30(7-8 Suppl), S11-S16 (2014-07-06)
Plant-based therapies have been used in medicine throughout recorded history. Information about the therapeutic properties of plants often can be found in local cultures as folk medicine is communicated from one generation to the next. The aim of this study
Daphna Nachmani et al.
Nature communications, 5, 4186-4186 (2014-06-14)
The recognition of stress-induced ligands by the activating receptor NKG2D expressed on cytotoxic lymphocytes is crucial for the prevention and containment of various diseases and is also one of the best-studied examples of how danger is sensed by the immune
Chunyan Zhao et al.
Cancer research, 74(14), 3983-3994 (2014-05-17)
Triple-negative breast cancer (TNBC) is an aggressive clinical subtype accounting for up to 20% of all breast cancers, but its malignant determinants remain largely undefined. Here, we show that in TNBC the overexpression of Fra-1, a component of the transcription



全球贸易项目编号

货号GTIN
SAB4300305-100UG04061832703213