跳转至内容
Merck
CN

SAB4300361

Anti-Integrin beta 3 (ITGB3/CD61) Antibody

rabbit polyclonal

别名:

Anti-CD61 antibody produced in rabbit, Anti-GP3A antibody produced in rabbit, Anti-GPIIIa antibody produced in rabbit, Anti-integrin, beta 3 (platelet glycoprotein IIIa, antigen CD61) antibody produced in rabbit

登录 查看组织和合同定价。

选择尺寸

变更视图

关于此项目

UNSPSC Code:
12352203
NACRES:
NA.41
MDL number:
Conjugate:
unconjugated
Clone:
polyclonal
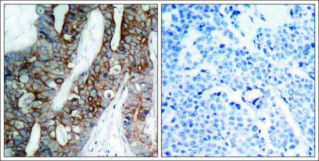
Application:
IHC (p), WB
Citations:
4
技术服务
需要帮助?我们经验丰富的科学家团队随时乐意为您服务。
让我们为您提供帮助


产品名称

Anti-ITGB3 (Ab-773) antibody produced in rabbit, affinity isolated antibody

biological source

rabbit

Quality Level

conjugate

unconjugated

antibody form

affinity isolated antibody

antibody product type

primary antibodies

clone

polyclonal

form

buffered aqueous solution

mol wt

~110 kDa

species reactivity

human, rat, mouse

concentration

1 mg/mL

technique(s)

immunohistochemistry (formalin-fixed, paraffin-embedded sections): 1:50-1:100, western blot: 1:500-1:1000

isotype

IgG

immunogen sequence

(P-L-Y-K-E)

NCBI accession no.

UniProt accession no.

shipped in

wet ice

storage temp.

−20°C

target post-translational modification

unmodified

Gene Information

human ... ITGB3(3690)

General description

ITGB3 (integrin subunit β3) codes for integrin αIIbβ3. It is located on human chromosome 17q21.31-32.
Integrin alpha-V/beta-3 is a receptor for cytotactin, fibronectin, laminin, matrix metalloproteinase-2, osteopontin, osteomodulin, prothrombin, thrombospondin, vitronectin and von Willebrand factor. Integrin alpha-IIb/beta-3 is a receptor for fibronectin, fibrinogen, plasminogen, prothrombin, thrombospondin and vitronectin. Integrins alpha-IIb/beta-3 and alpha-V/beta-3 recognize the sequence R-G-D in a wide array of ligands. Integrin alpha-IIb/beta-3 recognizes the sequence H-H-L-G-G-G-A-K-Q-A-G-D-V in fibrinogen gamma chain. Following activation integrin alpha-IIb/beta-3 brings about platelet/platelet interaction through binding of soluble fibrinogen. This step leads to rapid platelet aggregation which physically plugs ruptured endothelial surface. In case of HIV-1 infection, the interaction with extracellular viral Tat protein seems to enhance angiogenesis in Kaposi's sarcoma lesions.

Immunogen

Peptide sequence around aa. 771-775 (P-L-Y-K-E), according to the protein ITGB3.

Biochem/physiol Actions

Mutations in ITGB3 (integrin subunit β3) results in Glanzmann thrombasthenia (GT). It plays a major role in the movement and attack of colorectal cancer cells, promoted by reactive oxygen species.

Features and Benefits

Evaluate our antibodies with complete peace of mind. If the antibody does not perform in your application, we will issue a full credit or replacement antibody. Learn more.

Physical form

Solution in phosphate-buffered saline containing 0.02% sodium azide and 50% glycerol

Disclaimer

Unless otherwise stated in our catalog or other company documentation accompanying the product(s), our products are intended for research use only and are not to be used for any other purpose, which includes but is not limited to, unauthorized commercial uses, in vitro diagnostic uses, ex vivo or in vivo therapeutic uses or any type of consumption or application to humans or animals.


Still not finding the right product?

Explore all of our products under

或者

试用我们的 产品选型工具 工具缩小选择范围


存储类别

10 - Combustible liquids

wgk

WGK 1

flash_point_f

Not applicable

flash_point_c

Not applicable

法规信息

常规特殊物品
低风险生物材料

此项目有



历史批次信息供参考:

分析证书(COA)

Lot/Batch Number

没有发现合适的版本?

如果您需要特殊版本,可通过批号或批次号查找具体证书。

已有该产品?

在文件库中查找您最近购买产品的文档。

访问文档库



Proteomics identification of ITGB3 as a key regulator in reactive oxygen species-induced migration and invasion of colorectal cancer cells
Lei Y, et al.
Molecular and Cellular Proteomics, 10(10) (2011)
A nonsynonymous SNP in the ITGB3 gene disrupts the conserved membrane-proximal cytoplasmic salt bridge in the alphaIIbbeta3 integrin and cosegregates dominantly with abnormal proplatelet formation and macrothrombocytopenia
Ghevaert C, et al.
Blood, 111(7), 3407-3414 (2008)
Glanzmann thrombasthenia: a review of ITGA2B and ITGB3 defects with emphasis on variants, phenotypic variability, and mouse models
Nurden AT, et al.
Blood, 118(23), 5996-6005 (2011)



全球贸易项目编号

货号GTIN
SAB4300361-100UG04061832703572