跳转至内容
Merck
CN

SAB4500367

Anti-Collagen Type III (COL3A1) Antibody

rabbit polyclonal

别名:

COL3A1, 胶原蛋白α-1(III)链

登录 查看组织和合同定价。

选择尺寸

变更视图

关于此项目

UNSPSC Code:
12352203
NACRES:
NA.41
Conjugate:
unconjugated
Clone:
polyclonal
Application:
ELISA, IF, IHC
Citations:
11
技术服务
需要帮助?我们经验丰富的科学家团队随时乐意为您服务。
让我们为您提供帮助


产品名称

抗胶原蛋白III 兔抗, affinity isolated antibody

biological source

rabbit

Quality Level

conjugate

unconjugated

antibody form

affinity isolated antibody

antibody product type

primary antibodies

clone

polyclonal

form

buffered aqueous solution

mol wt

antigen 138 kDa

species reactivity

mouse, human, rat

concentration

~1 mg/mL

technique(s)

ELISA: 1:5000, immunofluorescence: 1:100-1:500, immunohistochemistry: 1:50-1:100

NCBI accession no.

UniProt accession no.

shipped in

wet ice

storage temp.

−20°C

target post-translational modification

unmodified

Gene Information

human ... COL3A1(1281)

General description

抗胶原蛋白III抗体可检测内源性胶原蛋白III的总水平。
胶原蛋白III也被称为III型胶原蛋白α1(COL3A1)。它是一种存在于可扩展结缔组织中的原纤维胶原。COL3A1长度为44  kb,含有52个外显子。它在血管和中空器官中表达。胶原III基因位于人类染色体2q32.2上。

Immunogen

制备用于抗人III型胶原合成肽的抗血清。

免疫原范围: 81-130

Application

成功使用该抗体的应用以及相关的同行评审论文如下所示。
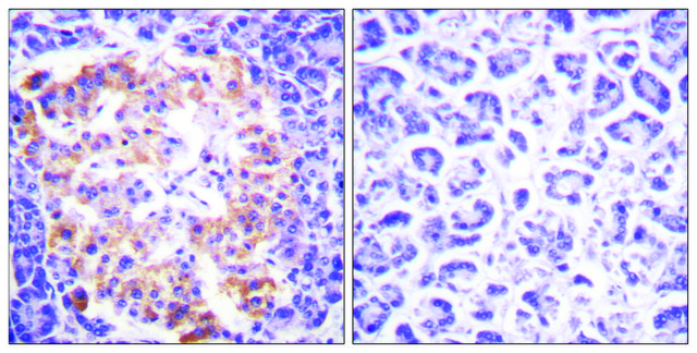
免疫组织化学(1篇论文)
抗胶原蛋白III抗体已被用于免疫组化。

Biochem/physiol Actions

胶原蛋白通常有助于细胞外基质、基底膜和细胞外基质结构的纤维状和微纤维状网络的形成。COL3A1基因的突变会导致血管ehlers-danlos综合征(vEDS)。COL3A1可控制胶原蛋白的表达和调节。

Features and Benefits

完放心地使用我们的抗体。如果抗体在您的申请的研究中不起作用,我们将全额退款或安排替代抗体。了解更多信息。

Physical form

兔IgG,溶于磷酸盐缓冲盐水(不含Mg2+和Ca2+),pH7.4,150mM NaCl,0.02%叠氮化钠和50%甘油中。

Disclaimer

除非我们的产品目录或产品附带的其他公司文档另有说明,否则我们的产品仅供研究使用,不得用于任何其他目的,包括但不限于未经授权的商业用途、体外诊断用途、离体或体内治疗用途或任何类型的消费或应用于人类或动物。


Still not finding the right product?

Explore all of our products under 抗胶原蛋白III 兔抗

或者

试用我们的 产品选型工具 工具缩小选择范围


存储类别

10 - Combustible liquids

wgk

nwg

flash_point_f

Not applicable

flash_point_c

Not applicable

法规信息

常规特殊物品

此项目有



历史批次信息供参考:

分析证书(COA)

Lot/Batch Number

没有发现合适的版本?

如果您需要特殊版本,可通过批号或批次号查找具体证书。

已有该产品?

在文件库中查找您最近购买产品的文档。

访问文档库



Eri Ohto-Fujita et al.
Cell and tissue research, 376(1), 123-135 (2018-11-19)
Signs of aging in facial skin correlate with lifespan and chronic disease; however, the health of aging skin has not been extensively studied. In healthy young skin, the dermis forms a type III collagen-rich dermal papilla, where capillary vessels supply
A new candidate substrate for cell-matrix adhesion study: the acellular human amniotic matrix.
Guo Q, et al.
BioMed Research International, 2012 (2012)
miR-29a/b enhances cell migration and invasion in nasopharyngeal carcinoma progression by regulating SPARC and COL3A1 gene expression.
Qiu F, et al.
PLoS ONE, 10(3), e0120969-e0120969 (2015)



全球贸易项目编号

货号GTIN
SAB4500367-100UG04061837743900