跳转至内容
Merck
CN

SAB4500711

Anti-EGFR antibody produced in rabbit

affinity isolated antibody

别名:

ERBB1, Epidermal growth factor receptor, Epidermal growth factor receptor precursor, Proto-oncogene c-ErbB-1, Receptor tyrosine-protein kinase erbB-1

登录 查看组织和合同定价。

选择尺寸

变更视图

关于此项目

UNSPSC Code:
12352203
NACRES:
NA.41
MDL number:
Conjugate:
unconjugated
Clone:
polyclonal
Application:
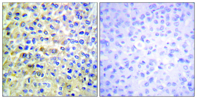
ELISA, IHC, WB
Citations:
26
技术服务
需要帮助?我们经验丰富的科学家团队随时乐意为您服务。
让我们为您提供帮助


biological source

rabbit

Quality Level

conjugate

unconjugated

antibody form

affinity isolated antibody

antibody product type

primary antibodies

clone

polyclonal

form

buffered aqueous solution

mol wt

antigen 134 kDa

species reactivity

rat, human, mouse

concentration

~1 mg/mL

technique(s)

ELISA: 1:40000, immunohistochemistry: 1:50-1:100, western blot: 1:500-1:1000

NCBI accession no.

UniProt accession no.

shipped in

wet ice

storage temp.

−20°C

target post-translational modification

unmodified

Gene Information

human ... EGFR(1956)

General description

Epidermal growth factor receptor (EGFR, ErbB1) is a transmembrane protein that exerts tyrosine kinase activity upon ligand induced activation. EGFR can be activated by binding EGF or at least six other structurally related protein ligands, including transforming growth factor α (TGFα), heparin-binding EGF-like growth factor (HB-EGF), betacellulin (BTC), amphiregulin, epiregulin and epigen. The gene encoding it is localized on human chromosome 7p11.2. Recombinant soluble human EGFR is a 621 amino acid glycoprotein comprising the extracellular domain of EGFR, and migrates at an apparent MW of 97.5kDa by SDS-PAGE analysis under reducing conditions. Anti-EGFR Antibody detects endogenous levels of total EGFR protein.

Immunogen

The antiserum was produced against synthesized peptide derived from human EGFR.

Immunogen Range: 651-700

Biochem/physiol Actions

Upon activation by ligands, epidermal growth factor receptor (EGFR, ErbB1) initiates a signaling cascade which includes dimerization and internalization, tyrosine phosphorylation, DNA synthesis of target genes, and, ultimately, cell proliferation. EGFR signaling plays a role in the growth and differentiation of normal cells, but elevated EGFR activity is correlated with the development and pathogenesis of certain cancers.

Features and Benefits

Evaluate our antibodies with complete peace of mind. If the antibody does not perform in your application, we will issue a full credit or replacement antibody. Learn more.

Physical form

Rabbit IgG in phosphate buffered saline (without Mg2+ and Ca2+), pH 7.4, 150mM NaCl, 0.02% sodium azide and 50% glycerol.

Disclaimer

Unless otherwise stated in our catalog or other company documentation accompanying the product(s), our products are intended for research use only and are not to be used for any other purpose, which includes but is not limited to, unauthorized commercial uses, in vitro diagnostic uses, ex vivo or in vivo therapeutic uses or any type of consumption or application to humans or animals.


Still not finding the right product?

Explore all of our products under

或者

试用我们的 产品选型工具 工具缩小选择范围


存储类别

10 - Combustible liquids

wgk

nwg

flash_point_f

Not applicable

flash_point_c

Not applicable

法规信息

常规特殊物品
低风险生物材料

此项目有



历史批次信息供参考:

分析证书(COA)

Lot/Batch Number

没有发现合适的版本?

如果您需要特殊版本,可通过批号或批次号查找具体证书。

已有该产品?

在文件库中查找您最近购买产品的文档。

访问文档库



Tamara Braut et al.
Applied immunohistochemistry & molecular morphology : AIMM, 22(9), 674-680 (2014-10-04)
Although enhanced epidermal growth factor receptor (EGFR) signaling has been connected with glottic cancerogenesis, the precise mechanisms of its activation still remain unclear. The aim of the present study was to examine EGFR on protein level, confronting cellular pattern of
Molecular mechanisms of resistance to the EGFR monoclonal antibody cetuximab.
Brand TM
Cancer Biology & Therapy, 11(9), 777-792 (2011)
Tai Kiuchi et al.
Science signaling, 7(339), ra78-ra78 (2014-08-21)
The epidermal growth factor receptor (EGFR) is a member of the ErbB family that can promote the migration and proliferation of breast cancer cells. Therapies that target EGFR can promote the dimerization of EGFR with other ErbB receptors, which is



全球贸易项目编号

货号GTIN
SAB4500711-100UG04061837183737