跳转至内容
Merck
CN

SAB4501406

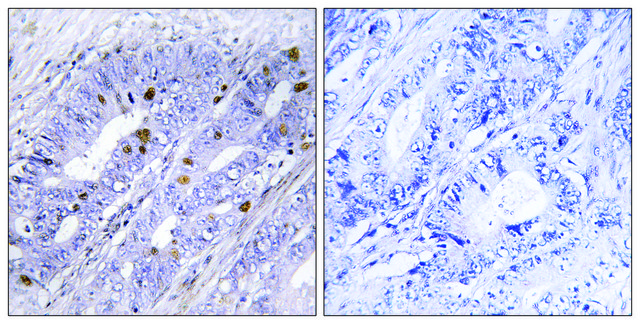
Anti-Nuclear Receptor NR4A1 antibody produced in rabbit

affinity isolated antibody

别名:

Early response protein NAK1, Nuclear receptor subfamily 4 group A member 1, Orphan nuclear receptor HMR, ST-59, TR3 orphan receptor

登录 查看组织和合同定价。

选择尺寸

变更视图

关于此项目

NACRES:
NA.41
UNSPSC Code:
12352203
Conjugate:
unconjugated
Clone:
polyclonal
Application:
ELISA, IHC, WB
Citations:
-
技术服务
需要帮助?我们经验丰富的科学家团队随时乐意为您服务。
让我们为您提供帮助


biological source

rabbit

Quality Level

conjugate

unconjugated

antibody form

affinity isolated antibody

antibody product type

primary antibodies

clone

polyclonal

form

buffered aqueous solution

mol wt

antigen 64 kDa

species reactivity

rat, human, mouse

concentration

~1 mg/mL

technique(s)

ELISA: 1:10000, immunohistochemistry: 1:50-1:100, western blot: 1:500-1:1000

NCBI accession no.

UniProt accession no.

shipped in

wet ice

storage temp.

−20°C

target post-translational modification

unmodified

Gene Information

human ... NR4A1(3164)

General description

Nuclear receptor subfamily 4 group A member1 (NR4A1) is an orphan receptor that belongs to the nuclear hormone receptor superfamily. The NR4A1 gene is mapped to human chromosome 12q13.13. Structurally, NR4A1 comprises an N-terminal AB region, DNA binding domain (DBD), and a C-terminal ligand-binding domain (LBD). Anti-Nuclear Receptor NR4A1 antibody detects endogenous levels of total Nuclear Receptor NR4A1 protein.

Immunogen

The antiserum was produced against synthesized peptide derived from human Nuclear Receptor NR4A1.

Immunogen Range: 317-366

Biochem/physiol Actions

Nuclear receptor subfamily 4 group A member1 (NR4A1) participates in gene expression regulation in the hypothalamic-pituitary-adrenal axis (HPA) especially those related to inflammation and steroidogenesis. The levels of NR4A1 are downregulated in metastatic melanoma, myelogenous leukemia, and follicular thyroid carcinoma. An elevated expression of NR4A1 is observed in type 1 diabetes mellitus (T1DM) and type 2 diabetes mellitus (T2DM) in mouse models. Dysfunction of NR4A1 is correlated to energy balance and also the events of metabolic pathways including carbohydrates and lipids. NR4A1 contributes to arterial vessel cell wall damage. It regulates tumor cell proliferation, migration, and invasion. NR4A1 may serve as a biomarker for depression and other psychiatric disorders.

Features and Benefits

Evaluate our antibodies with complete peace of mind. If the antibody does not perform in your application, we will issue a full credit or replacement antibody. Learn more.

Physical form

Rabbit IgG in phosphate buffered saline (without Mg2+ and Ca2+), pH 7.4, 150mM NaCl, 0.02% sodium azide and 50% glycerol.

Disclaimer

Unless otherwise stated in our catalog or other company documentation accompanying the product(s), our products are intended for research use only and are not to be used for any other purpose, which includes but is not limited to, unauthorized commercial uses, in vitro diagnostic uses, ex vivo or in vivo therapeutic uses or any type of consumption or application to humans or animals.


Still not finding the right product?

试用我们的 产品选型工具 工具缩小选择范围


存储类别

10 - Combustible liquids

wgk

nwg

flash_point_f

Not applicable

flash_point_c

Not applicable

法规信息

常规特殊物品
低风险生物材料

此项目有



历史批次信息供参考:

分析证书(COA)

Lot/Batch Number

没有发现合适的版本?

如果您需要特殊版本,可通过批号或批次号查找具体证书。

已有该产品?

在文件库中查找您最近购买产品的文档。

访问文档库



全球贸易项目编号

货号GTIN
SAB4501406-100UG04061837186516