跳转至内容
Merck
CN

SAB4501475

Anti-5-HT-2B antibody produced in rabbit

affinity isolated antibody

别名:

5-HT-2B, 5-hydroxytryptamine receptor 2B, HTR2B, Serotonin receptor 2B

登录 查看组织和合同定价。

选择尺寸

变更视图

关于此项目

NACRES:
NA.41
UNSPSC Code:
12352203
Conjugate:
unconjugated
Clone:
polyclonal
Application:
ELISA, IF, IHC, WB
Citations:
2
技术服务
需要帮助?我们经验丰富的科学家团队随时乐意为您服务。
让我们为您提供帮助


biological source

rabbit

Quality Level

conjugate

unconjugated

antibody form

affinity isolated antibody

antibody product type

primary antibodies

clone

polyclonal

form

buffered aqueous solution

mol wt

antigen 54 kDa

species reactivity

human

concentration

~1 mg/mL

technique(s)

ELISA: 1:1000, immunofluorescence: 1:100-1:500, immunohistochemistry: 1:50-1:100, western blot: 1:500-1:1000

NCBI accession no.

UniProt accession no.

shipped in

wet ice

storage temp.

−20°C

target post-translational modification

unmodified

Gene Information

human ... HTR2B(3357)

General description

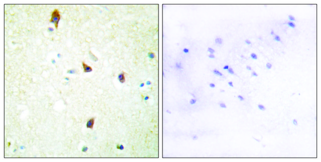
Anti-5-HT-2B Antibody detects endogenous levels of total 5-HT-2B protein.

Immunogen

The antiserum was produced against synthesized peptide derived from human 5-HT-2B.

Immunogen Range: 261-310

Features and Benefits

Evaluate our antibodies with complete peace of mind. If the antibody does not perform in your application, we will issue a full credit or replacement antibody. Learn more.

Physical form

Rabbit IgG in phosphate buffered saline (without Mg2+ and Ca2+), pH 7.4, 150mM NaCl, 0.02% sodium azide and 50% glycerol.

Disclaimer

Unless otherwise stated in our catalog or other company documentation accompanying the product(s), our products are intended for research use only and are not to be used for any other purpose, which includes but is not limited to, unauthorized commercial uses, in vitro diagnostic uses, ex vivo or in vivo therapeutic uses or any type of consumption or application to humans or animals.


Still not finding the right product?

试用我们的 产品选型工具 工具缩小选择范围


存储类别

10 - Combustible liquids

wgk

nwg

flash_point_f

Not applicable

flash_point_c

Not applicable

法规信息

常规特殊物品
低风险生物材料

此项目有



历史批次信息供参考:

分析证书(COA)

Lot/Batch Number

没有发现合适的版本?

如果您需要特殊版本,可通过批号或批次号查找具体证书。

已有该产品?

在文件库中查找您最近购买产品的文档。

访问文档库



Katsura Nozawa et al.
Proceedings of the National Academy of Sciences of the United States of America, 106(9), 3408-3413 (2009-02-13)
Serotonin (5-hydroxytryptamine; 5-HT) is abundantly present throughout the gastrointestinal tract and stored mostly in enterochromaffin (EC) cells, which are located on the mucosal surface. 5-HT released from EC cells stimulate both intrinsic and extrinsic nerves, which results in various physiological
Nadja Osterberg et al.
Cell and tissue research, 336(1), 11-20 (2009-02-19)
Serotonergic (5-HT) neurons of the reticular formation play a key role in the modulation of behavior, and their dysfunction is associated with severe neurological and psychiatric disorders, such as depression and schizophrenia. However, the molecular mechanisms underlying the differentiation of



全球贸易项目编号

货号GTIN
SAB4501475-100UG04061837186868