跳转至内容
Merck
CN

SAB4502019

Anti-NOTCH1 (Cleaved-Val1754) antibody produced in rabbit

affinity isolated antibody

别名:

NOTC1, Notch homolog 1, neurogenic locus notch 1, notch 1 (translocation-associated), translocation-associated (Drosophila) (TAN1)

登录 查看组织和合同定价。

选择尺寸

变更视图

关于此项目

NACRES:
NA.41
UNSPSC Code:
12352203
Conjugate:
unconjugated
Clone:
polyclonal
Application:
ELISA, IHC, WB
Citations:
14
技术服务
需要帮助?我们经验丰富的科学家团队随时乐意为您服务。
让我们为您提供帮助


biological source

rabbit

Quality Level

conjugate

unconjugated

antibody form

affinity isolated antibody

antibody product type

primary antibodies

clone

polyclonal

form

buffered aqueous solution

mol wt

antigen 110 kDa

species reactivity

rat, mouse, human

concentration

~1 mg/mL

technique(s)

ELISA: 1:5000, immunohistochemistry: 1:50-1:100, western blot: 1:500-1:1000

NCBI accession no.

UniProt accession no.

application(s)

research pathology

shipped in

wet ice

storage temp.

−20°C

target post-translational modification

proteolytically cleaved (Val1754)

Gene Information

human ... NOTCH1(4851)

General description

The NOTCH1 gene is mapped to human chromosome 9q34 and encodes a member of the NOTCH family of proteins. The gene encodes a large transmembrane protein that contains an extracellular domain with 36 tandem epidermal growth factor (EGF)-like repeats and three cysteine-rich Notch/LIN-12 repeats, a six ankyrin repeat-containing intracellular domain, and a transactivation domain.

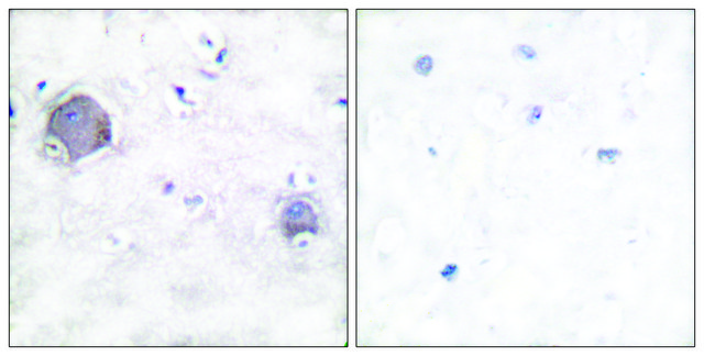
Anti-NOTCH1 (Cleaved-Val1754) Antibody detects endogenous levels of fragment of activated NOTCH1 (Cleaved-Val1754) protein.

Immunogen

The antiserum was produced against synthesized peptide derived from human Notch 1.

Immunogen Range: 1735-1784

Application

Anti-NOTCH1 (Cleaved-Val1754) antibody produced in rabbit has been used in immunohistochemistry (IHC).

Biochem/physiol Actions

The Notch1 protein is a transmembrane receptor that induces pluripotent progenitor cells to form T-cells and facilitates the assembly of pre–T cell receptor complexes in immature thymocytes. It participates in an intracellular signaling pathway that regulates cellular differentiation, cell fate and lateral inhibition. Mutations in this gene have been associated with human blood cancers, abnormal cardiovascular calcification, aortic valve disease, and human T cell acute lymphoblastic leukemia.

Features and Benefits

Evaluate our antibodies with complete peace of mind. If the antibody does not perform in your application, we will issue a full credit or replacement antibody. Learn more.

Physical form

Rabbit IgG in phosphate buffered saline (without Mg2+ and Ca2+), pH 7.4, 150mM NaCl, 0.02% sodium azide and 50% glycerol.

Disclaimer

Unless otherwise stated in our catalog or other company documentation accompanying the product(s), our products are intended for research use only and are not to be used for any other purpose, which includes but is not limited to, unauthorized commercial uses, in vitro diagnostic uses, ex vivo or in vivo therapeutic uses or any type of consumption or application to humans or animals.


Still not finding the right product?

试用我们的 产品选型工具 工具缩小选择范围


存储类别

10 - Combustible liquids

wgk

nwg

flash_point_f

Not applicable

flash_point_c

Not applicable

法规信息

常规特殊物品
低风险生物材料

此项目有



历史批次信息供参考:

分析证书(COA)

Lot/Batch Number

没有发现合适的版本?

如果您需要特殊版本,可通过批号或批次号查找具体证书。

已有该产品?

在文件库中查找您最近购买产品的文档。

访问文档库



Notch 1 is a valuable therapeutic target against cell survival and proliferation in clear cell renal cell carcinoma.
Zhuang Z, et al.
Oncology Letters, 14(3), 3437-3444 (2017)
Activating mutations of NOTCH1 in human T cell acute lymphoblastic leukemia.
Weng A P, et al.
Science, 306(5694), 269-271 (2004)
Mutations in NOTCH1 cause aortic valve disease.
Garg V, et al.
Nature, 437(7056), 270-270 (2005)



全球贸易项目编号

货号GTIN
SAB4502019-100UG04061837189197