跳转至内容
Merck
CN

SAB4502360

Anti-PKC δ antibody produced in rabbit

affinity isolated antibody

别名:

KPCD, PKC-δ, PRKCD, kinase PKC-δ, nPKC-δ

登录 查看组织和合同定价。

选择尺寸

变更视图

关于此项目

UNSPSC Code:
12352203
NACRES:
NA.41
MDL number:
Conjugate:
unconjugated
Clone:
polyclonal
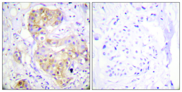
Application:
ELISA, IHC, WB
Citations:
6
技术服务
需要帮助?我们经验丰富的科学家团队随时乐意为您服务。
让我们为您提供帮助


biological source

rabbit

Quality Level

conjugate

unconjugated

antibody form

affinity isolated antibody

antibody product type

primary antibodies

clone

polyclonal

form

buffered aqueous solution

mol wt

antigen 77 kDa

species reactivity

human, mouse, rat

concentration

~1 mg/mL

technique(s)

ELISA: 1:1000, immunohistochemistry: 1:50-1:100, western blot: 1:500-1:1000

NCBI accession no.

UniProt accession no.

shipped in

wet ice

storage temp.

−20°C

target post-translational modification

unmodified

Gene Information

human ... PRKCD(5580)

General description

Anti-PKC δ antibody detects endogenous levels of total PKC δ protein.
The PKC δ (protein kinase C δ) gene is mapped to human chromosome 3p21.1. It is predominantly expressed in the heart.

Immunogen

The antiserum was produced against synthesized peptide derived from human PKC delta.

Immunogen Range: 471-520

Biochem/physiol Actions

The PKC (protein kinase C) protein is known to mediate different cellular processes such as transcription regulation, cell signaling, cell proliferation, immune responses and apoptosis. PKC is also associated with learning ability. Abnormal cell signaling induced by PKC is often observed in cancer. PKC δ (protein kinase C δ) regulates neutrophil migration during sepsis. PKC δ has anticancer effect by reducing the cell proliferation rate and also stimulating apoptosis by arresting cell cycle. PKC δ induces neuron proliferation and survival, thereby it is associated with memory.

Features and Benefits

Evaluate our antibodies with complete peace of mind. If the antibody does not perform in your application, we will issue a full credit or replacement antibody. Learn more.

Physical form

Rabbit IgG in phosphate buffered saline (without Mg2+ and Ca2+), pH 7.4, 150mM NaCl, 0.02% sodium azide and 50% glycerol.

Disclaimer

Unless otherwise stated in our catalog or other company documentation accompanying the product(s), our products are intended for research use only and are not to be used for any other purpose, which includes but is not limited to, unauthorized commercial uses, in vitro diagnostic uses, ex vivo or in vivo therapeutic uses or any type of consumption or application to humans or animals.


Still not finding the right product?

Explore all of our products under

或者

试用我们的 产品选型工具 工具缩小选择范围


存储类别

10 - Combustible liquids

wgk

nwg

flash_point_f

Not applicable

flash_point_c

Not applicable

法规信息

常规特殊物品
低风险生物材料

此项目有



历史批次信息供参考:

分析证书(COA)

Lot/Batch Number

没有发现合适的版本?

如果您需要特殊版本,可通过批号或批次号查找具体证书。

已有该产品?

在文件库中查找您最近购买产品的文档。

访问文档库



LAMTOR1-PRKCD and NUMA1-SFMBT1 fusion genes identified by RNA sequencing in aneurysmal benign fibrous histiocytoma with t(3;11)(p21;q13).
Panagopoulos I
Cancer Genetics, 208(11), 545-551 (2015)
MALAT1 in Human Adipose Stem Cells Modulates Survival and Alternative Splicing of PKC?II in HT22 Cells.
El Bassit G
Endocrinology, 158(1), 183-195 (2017)
Polyphenol compounds and PKC signaling.
Das J
Biochimica et Biophysica Acta, 1860(10), 2107-2121 (2016)



全球贸易项目编号

货号GTIN
SAB4502360-100UG04061837189340