跳转至内容
Merck
CN

SAB5200077

Monoclonal Anti-KCNB1 antibody produced in mouse

clone S89-34, 1 mg/mL, purified immunoglobulin

别名:

Anti-DRK1PC, Anti-Kcnb1, Anti-Kcr1-1, Anti-Kv2.1, Anti-Kv2.1, S89-34, Anti-Shab

登录 查看组织和合同定价。

选择尺寸

变更视图

关于此项目

NACRES:
NA.41
UNSPSC Code:
12352203
Conjugate:
unconjugated
Clone:
S89-34, monoclonal
Application:
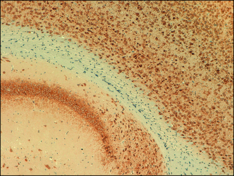
IHC, IP, WB
Citations:
4
技术服务
需要帮助?我们经验丰富的科学家团队随时乐意为您服务。
让我们为您提供帮助


biological source

mouse

Quality Level

conjugate

unconjugated

antibody form

purified immunoglobulin

antibody product type

primary antibodies

clone

S89-34, monoclonal

form

buffered aqueous glycerol solution

mol wt

antigen predicted mol wt 105-125 kDa

species reactivity

human, mouse, rat

concentration

1 mg/mL

technique(s)

immunohistochemistry: suitable, immunoprecipitation (IP): suitable, western blot: suitable

isotype

IgG1

NCBI accession no.

UniProt accession no.

shipped in

wet ice

storage temp.

−20°C

target post-translational modification

unmodified

Gene Information

rat ... Kcnb1(25736)

General description

Potassium voltage-gated channel subfamily B member 1 (KCNB1) is widely distributed in the central nervous system. The gene ID for the protein is 25736.

Immunogen

Synthetic peptide amino acids 837-853 (cytoplamsic Cterminus) of rat KV2.1(HMLPGGGAHGSTRDQSI),Accession Number NP_037318.

Biochem/physiol Actions

Detects ~105-125 kDa (varies with cell background due to phosphorylation). No crossreactivity to rat Kv2.2.
Potassium voltage-gated channel subfamily B member 1 (KCNB1) forms microdomains to aid in protein trafficking and has a role in smooth muscle contraction. KCNB1 also takes part in membrane fusion activities. Studies on Chinese hamster ovary (CHO) cells have shown that this protein has a role in apoptosis.

Features and Benefits

Evaluate our antibodies with complete peace of mind. If the antibody does not perform in your application, we will issue a full credit or replacement antibody. Learn more.

Physical form

Solution in PBS, pH 7.4, 50% glycerol, and 0.09% sodium azide

Disclaimer

Unless otherwise stated in our catalog or other company documentation accompanying the product(s), our products are intended for research use only and are not to be used for any other purpose, which includes but is not limited to, unauthorized commercial uses, in vitro diagnostic uses, ex vivo or in vivo therapeutic uses or any type of consumption or application to humans or animals.


Still not finding the right product?

Explore all of our products under

或者

试用我们的 产品选型工具 工具缩小选择范围


存储类别

10 - Combustible liquids

wgk

WGK 1

flash_point_f

Not applicable

flash_point_c

Not applicable

法规信息

常规特殊物品

此项目有



历史批次信息供参考:

分析证书(COA)

Lot/Batch Number

没有发现合适的版本?

如果您需要特殊版本,可通过批号或批次号查找具体证书。

已有该产品?

在文件库中查找您最近购买产品的文档。

访问文档库



Anastasia Grizel et al.
Journal of neuroimmune pharmacology : the official journal of the Society on NeuroImmune Pharmacology, 9(5), 727-739 (2014-09-27)
Voltage-gated potassium Kv2.1 channels are widely distributed in the central nervous system, specifically in neuroendocrine and endocrine cells. Their cytoplasmic C-termini are large and carry out many important functions. Here we provide the first direct structural evidence that each C-terminal
Emily Deutsch et al.
Molecular biology of the cell, 23(15), 2917-2929 (2012-06-01)
Voltage-gated K(+) (Kv) channels regulate membrane potential in many cell types. Although the channel surface density and location must be well controlled, little is known about Kv channel delivery and retrieval on the cell surface. The Kv2.1 channel localizes to
Yasushi Hosoi et al.
Frontiers in molecular neuroscience, 15, 806798-806798 (2022-12-06)
Fetal and infant brains are rich in maternally derived taurine. We previously demonstrated that taurine action regulates the cation-chloride cotransporter activity and the differentiation and radial migration of pyramidal neuron progenitors in the developing neocortex of rodent fetuses. Here we



全球贸易项目编号

货号GTIN
SAB5200077-100UG04061838058935