跳转至内容
Merck
CN

SAB5500058

Anti-CD3 antibody, Rabbit monoclonal

recombinant, expressed in proprietary host, clone SP7, tissue culture supernatant

别名:

Anti-CD3epsilon, Anti-IMD18, Anti-T3E, Anti-TCRE

登录 查看组织和合同定价。

选择尺寸

变更视图

关于此项目

NACRES:
NA.41
UNSPSC Code:
12352203
Conjugate:
unconjugated
Clone:
SP7, monoclonal
Application:
FACS, IHC
Citations:
1
技术服务
需要帮助?我们经验丰富的科学家团队随时乐意为您服务。
让我们为您提供帮助


biological source

rabbit

Quality Level

recombinant

expressed in proprietary host

conjugate

unconjugated

antibody form

tissue culture supernatant

antibody product type

primary antibodies

clone

SP7, monoclonal

species reactivity

human (tested)

species reactivity (predicted by homology)

pig, rat, dog, bovine, rabbit, chicken

technique(s)

flow cytometry: 1:100, immunoblotting: 1:25, immunohistochemistry: 1:150

isotype

IgG

UniProt accession no.

shipped in

wet ice

storage temp.

2-8°C

target post-translational modification

unmodified

Gene Information

human ... CD3E(916)

General description

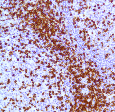
This antibody reacts with the intracytoplasmic portion of the CD3 antigen expressed by T cells. It stains human T cells in both the cortex and medulla of the thymus and in peripheral lymphoid tissues. This antibody is suitable for staining normal and neoplastic T cells in formalin-fixed, paraffin-embedded tissues.

Immunogen

Synthetic peptide corresponding to internal region of the epsilon chain of human CD3 protein.

Features and Benefits

Evaluate our antibodies with complete peace of mind. If the antibody does not perform in your application, we will issue a full credit or replacement antibody. Learn more.

Physical form

0.1 ml rabbit monoclonal antibody supplied as tissue culture supernatant in TBS/1% BSA buffer pH 7.5 with less than 0.1% sodium azide.

Disclaimer

Unless otherwise stated in our catalog or other company documentation accompanying the product(s), our products are intended for research use only and are not to be used for any other purpose, which includes but is not limited to, unauthorized commercial uses, in vitro diagnostic uses, ex vivo or in vivo therapeutic uses or any type of consumption or application to humans or animals.


Still not finding the right product?

Explore all of our products under

或者

试用我们的 产品选型工具 工具缩小选择范围


存储类别

10 - Combustible liquids

wgk

WGK 2

flash_point_f

Not applicable

flash_point_c

Not applicable

法规信息

常规特殊物品
低风险生物材料

此项目有



历史批次信息供参考:

分析证书(COA)

Lot/Batch Number

没有发现合适的版本?

如果您需要特殊版本,可通过批号或批次号查找具体证书。

已有该产品?

在文件库中查找您最近购买产品的文档。

访问文档库



Vikrant Rai et al.
Scientific reports, 10(1), 15167-15167 (2020-09-18)
Cells of the immune system are present in the adult cochlea and respond to damage caused by noise exposure. However, the types of immune cells involved and their locations within the cochlea are unclear. We used flow cytometry and immunostaining



全球贸易项目编号

货号GTIN
SAB5500058-100UL04061837833373