跳转至内容
Merck
CN

SAB5500160

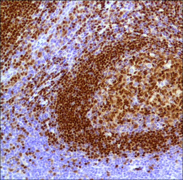
Anti-PAX-5 antibody, Rabbit monoclonal

recombinant, expressed in proprietary host, clone SP34, affinity isolated antibody

登录 查看组织和合同定价。

选择尺寸

变更视图

关于此项目

NACRES:
NA.41
UNSPSC Code:
12352203
Conjugate:
unconjugated
Clone:
SP34, monoclonal
Application:
FACS, IHC
Citations:
1
技术服务
需要帮助?我们经验丰富的科学家团队随时乐意为您服务。
让我们为您提供帮助


biological source

rabbit

Quality Level

recombinant

expressed in proprietary host

conjugate

unconjugated

antibody form

affinity isolated antibody

antibody product type

primary antibodies

clone

SP34, monoclonal

species reactivity

human (tested)

species reactivity (predicted by homology)

chicken, mouse, dog

technique(s)

flow cytometry: 1:100, immunohistochemistry: 1:50

isotype

IgG

UniProt accession no.

shipped in

wet ice

storage temp.

2-8°C

target post-translational modification

unmodified

Gene Information

human ... PAX5(5079)

General description

PAX-5 is a B cell specificactivator protein (BSAP). In the early stages of B cell developmemt, PAX-5 influences the expression of several B-cell-specific genes, such as CD19 and CD20. PAX-5 is expressed primarily inpro-, pre-, and mature B cells, but not in plasma cells. Interestingly, PAX-5 mRNA is transiently detected in the mesencephalon and spinal cord during embryogenesis. Expression then shifts to the fetal liver and correlates with the onset of B lymphopoiesis. This indicates that PAX-5 is important in B cell development, but may also have a role in proper neuronal development.

Immunogen

Synthetic peptide derived from C-terminus of human PAX-5 protein.

Features and Benefits

Evaluate our antibodies with complete peace of mind. If the antibody does not perform in your application, we will issue a full credit or replacement antibody. Learn more.

Physical form

0.1 ml rabbit monoclonal antibody purified by protein A/G in PBS/1% BSA buffer pH 7.6 with less than 0.1% sodium azide.

Disclaimer

Unless otherwise stated in our catalog or other company documentation accompanying the product(s), our products are intended for research use only and are not to be used for any other purpose, which includes but is not limited to, unauthorized commercial uses, in vitro diagnostic uses, ex vivo or in vivo therapeutic uses or any type of consumption or application to humans or animals.


Still not finding the right product?

试用我们的 产品选型工具 工具缩小选择范围


存储类别

10 - Combustible liquids

wgk

WGK 2

flash_point_f

Not applicable

flash_point_c

Not applicable

法规信息

常规特殊物品
低风险生物材料

此项目有



历史批次信息供参考:

分析证书(COA)

Lot/Batch Number

没有发现合适的版本?

如果您需要特殊版本,可通过批号或批次号查找具体证书。

已有该产品?

在文件库中查找您最近购买产品的文档。

访问文档库



Xin Wang et al.
Oncology letters, 11(5), 3091-3096 (2016-04-29)
The current study presents a case of cluster of differentiation (CD)56+ myeloid sarcoma in a patient that initially presented with skin lesions, and provides evidence for the clinical and differential diagnosis of myeloid sarcoma. The patient of the present case



全球贸易项目编号

货号GTIN
SAB5500160-100UL04061837834394