跳转至内容
Merck
CN

SAB5600109

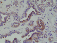
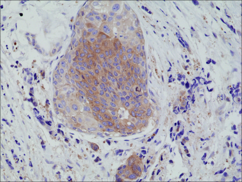
Anti-eIF-2 alpha (Ser51) antibody, Rabbit Monoclonal

recombinant, expressed in HEK 293 cells, clone RM298, purified immunoglobulin

别名:

eukaryotic translation initiation factor 2 subunit alpha

登录 查看组织和合同定价。

选择尺寸

变更视图

关于此项目

NACRES:
NA.41
UNSPSC Code:
12352203
Conjugate:
unconjugated
Clone:
RM298, monoclonal, recombinant monoclonal
Application:
IHC, WB
Citations:
-
技术服务
需要帮助?我们经验丰富的科学家团队随时乐意为您服务。
让我们为您提供帮助


recombinant

expressed in HEK 293 cells

Quality Level

conjugate

unconjugated

antibody form

purified immunoglobulin

antibody product type

primary antibodies

clone

RM298, monoclonal, recombinant monoclonal

form

buffered aqueous glycerol solution

species reactivity

human

technique(s)

immunohistochemistry: 1:100-1:200, western blot: 1:100-1:200

isotype

IgG

NCBI accession no.

shipped in

wet ice

storage temp.

−20°C

target post-translational modification

unmodified

Gene Information

human ... EIF2A(83939)

Immunogen

A phospho-peptide corresponding to human Phospho- eIF-2a (Ser51).

Biochem/physiol Actions

This antibody reacts to human eIF-2a (eukaryotic translation initiation factor 2 subunit alpha) only when phosphorylated at Ser51. There is no cross-reactivity to eIF-2a without phosphorylation at Ser51. This antibody may also react to mouse or rat Phospho-eIF-2a (Ser51).

Features and Benefits

Evaluate our antibodies with complete peace of mind. If the antibody does not perform in your application, we will issue a full credit or replacement antibody. Learn more.

Physical form

Solution in phosphate buffered saline containing 50% glycerol, 1% BSA and 0.09% sodium azide.

Disclaimer

Unless otherwise stated in our catalog or other company documentation accompanying the product(s), our products are intended for research use only and are not to be used for any other purpose, which includes but is not limited to, unauthorized commercial uses, in vitro diagnostic uses, ex vivo or in vivo therapeutic uses or any type of consumption or application to humans or animals.


Still not finding the right product?

试用我们的 产品选型工具 工具缩小选择范围


存储类别

10 - Combustible liquids

wgk

WGK 3

flash_point_f

Not applicable

flash_point_c

Not applicable

法规信息

新产品

此项目有



历史批次信息供参考:

分析证书(COA)

Lot/Batch Number

没有发现合适的版本?

如果您需要特殊版本,可通过批号或批次号查找具体证书。

已有该产品?

在文件库中查找您最近购买产品的文档。

访问文档库



全球贸易项目编号

货号GTIN
SAB5600109-100UL04061833351246