跳转至内容
Merck
CN

SAB5600270

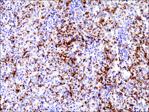
Anti-Integrin beta 3 (ITGB3/CD61) Antibody

rabbit monoclonal, RM382

别名:

CD61, Integrin beta3A

登录 查看组织和合同定价。

选择尺寸

变更视图

关于此项目

UNSPSC Code:
12352203
NACRES:
NA.43
Clone:
RM382, monoclonal, recombinant monoclonal
Species reactivity:
human
Application:
IHC, WB
Citations:
-
技术服务
需要帮助?我们经验丰富的科学家团队随时乐意为您服务。
让我们为您提供帮助


产品名称

Anti-Integrin beta3/CD61 antibody, Rabbit monoclonal, recombinant, expressed in HEK 293 cells, clone RM382, purified immunoglobulin

recombinant

expressed in HEK 293 cells

antibody form

purified immunoglobulin

antibody product type

primary antibodies

clone

RM382, monoclonal, recombinant monoclonal

form

buffered aqueous glycerol solution

species reactivity

human

technique(s)

immunohistochemistry: 1:250—1:500, western blot: 1:5000 — 1:25000

isotype

IgG

NCBI accession no.

UniProt accession no.

shipped in

wet ice

storage temp.

−20°C

target post-translational modification

unmodified

Gene Information

human ... ITGB3(3690)

Immunogen

A peptide corresponding to the internal region of human Integrin beta3.

Biochem/physiol Actions

This antibody reacts to Human Integrin beta3A / CD61.

Physical form

Solution in phosphate buffered saline containing 50% Glycerol/PBS with 1% BSA and 0.09% sodium azide.

Disclaimer

Unless otherwise stated in our catalog or other company documentation accompanying the product(s), our products are intended for research use only and are not to be used for any other purpose, which includes but is not limited to, unauthorized commercial uses, in vitro diagnostic uses, ex vivo or in vivo therapeutic uses or any type of consumption or application to humans or animals.


Still not finding the right product?

Explore all of our products under

或者

试用我们的 产品选型工具 工具缩小选择范围


存储类别

10 - Combustible liquids

wgk

WGK 2

flash_point_f

Not applicable

flash_point_c

Not applicable

法规信息

常规特殊物品

此项目有



历史批次信息供参考:

分析证书(COA)

Lot/Batch Number

没有发现合适的版本?

如果您需要特殊版本,可通过批号或批次号查找具体证书。

已有该产品?

在文件库中查找您最近购买产品的文档。

访问文档库