跳转至内容
Merck
CN

SAB5700053

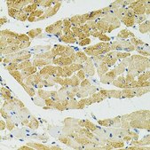
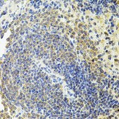
Anti-RALBP1 antibody produced in rabbit

别名:

RALBP1, RIP1, RLIP1, RLIP76

登录 查看组织和合同定价。

选择尺寸

变更视图

关于此项目

NACRES:
NA.43
UNSPSC Code:
12352203
Conjugate:
unconjugated
Clone:
polyclonal
Application:
IHC, WB
Citations:
-
技术服务
需要帮助?我们经验丰富的科学家团队随时乐意为您服务。
让我们为您提供帮助


biological source

rabbit

Quality Level

conjugate

unconjugated

antibody form

affinity isolated antibody

antibody product type

primary antibodies

clone

polyclonal

form

buffered aqueous solution

mol wt

76

species reactivity

rat, human, mouse

concentration

0.84 mg/ml

technique(s)

immunohistochemistry: 1:50-1:200, western blot: 1:500-1:2000

UniProt accession no.

shipped in

wet ice

storage temp.

−20°C

target post-translational modification

unmodified

Gene Information

human ... RALBP1(10928)

Immunogen

Recombinant fusion protein containing a sequence corresponding to amino acids 396-655 of human RALBP1 (NP_006779.1).

Physical form

PBS with 0.02% sodium azide,50% glycerol,pH7.3.

Preparation Note

Store at -20℃. Avoid freeze / thaw cycles.


Still not finding the right product?

Explore all of our products under

或者

试用我们的 产品选型工具 工具缩小选择范围


存储类别

12 - Non Combustible Liquids

wgk

WGK 1

flash_point_f

Not applicable

flash_point_c

Not applicable

法规信息

常规特殊物品

此项目有



历史批次信息供参考:

分析证书(COA)

Lot/Batch Number

It looks like we've run into a problem, but you can still download Certificates of Analysis from our 文件 section.

如需帮助,请联系 客户支持

已有该产品?

在文件库中查找您最近购买产品的文档。

访问文档库



全球贸易项目编号

货号GTIN
SAB5700053-100UL04065265167987