跳转至内容
Merck
CN

SAB5700213

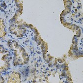
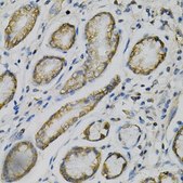
Anti-GLUL antibody produced in rabbit

别名:

GLNS, GLUL, GS, PIG43, PIG59

登录 查看组织和合同定价。

选择尺寸

变更视图

关于此项目

NACRES:
NA.41
UNSPSC Code:
12352203
Conjugate:
unconjugated
Clone:
polyclonal
Application:
IF, IHC, WB
Citations:
-
技术服务
需要帮助?我们经验丰富的科学家团队随时乐意为您服务。
让我们为您提供帮助


biological source

rabbit

Quality Level

conjugate

unconjugated

antibody form

affinity isolated antibody

antibody product type

primary antibodies

clone

polyclonal

form

buffered aqueous solution

mol wt

42

species reactivity

human, mouse, rat

concentration

0.93 mg/ml

technique(s)

immunofluorescence: 1:50-1:200, immunohistochemistry: 1:50-1:200, western blot: 1:500-1:2000

UniProt accession no.

shipped in

wet ice

storage temp.

−20°C

target post-translational modification

unmodified

Gene Information

human ... GLUL(2752)

General description

The protein encoded by this gene belongs to the glutamine synthetase family. It catalyzes the synthesis of glutamine from glutamate and ammonia in an ATP-dependent reaction. This protein plays a role in ammonia and glutamate detoxification, acid-base homeostasis, cell signaling, and cell proliferation. Glutamine is an abundant amino acid, and is important to the biosynthesis of several amino acids, pyrimidines, and purines. Mutations in this gene are associated with congenital glutamine deficiency, and overexpression of this gene was observed in some primary liver cancer samples. There are six pseudogenes of this gene found on chromosomes 2, 5, 9, 11, and 12. Alternative splicing results in multiple transcript variants.

Immunogen

Recombinant fusion protein containing a sequence corresponding to amino acids 1-373 of human GLUL (NP_001028228.1).

Physical form

PBS with 0.02% sodium azide,50% glycerol,pH7.3.

Preparation Note

Store at -20℃. Avoid freeze / thaw cycles.


Still not finding the right product?

Explore all of our products under

或者

试用我们的 产品选型工具 工具缩小选择范围


存储类别

12 - Non Combustible Liquids

wgk

WGK 1

flash_point_f

Not applicable

flash_point_c

Not applicable

法规信息

常规特殊物品

此项目有



历史批次信息供参考:

分析证书(COA)

Lot/Batch Number

It looks like we've run into a problem, but you can still download Certificates of Analysis from our 文件 section.

如需帮助,请联系 客户支持

已有该产品?

在文件库中查找您最近购买产品的文档。

访问文档库



全球贸易项目编号

货号GTIN
SAB5700213-100UL04065265171618