跳转至内容
Merck
CN

SAB5701242

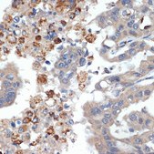
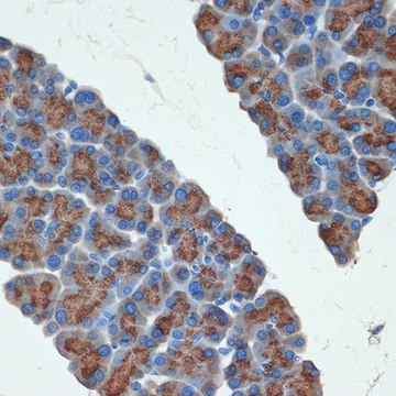
Anti-PRSS2 antibody produced in rabbit

登录 查看组织和合同定价。

选择尺寸

变更视图

关于此项目

NACRES:
NA.41
UNSPSC Code:
12352203
Conjugate:
unconjugated
Clone:
monoclonal
Application:
IHC, WB
Citations:
-
技术服务
需要帮助?我们经验丰富的科学家团队随时乐意为您服务。
让我们为您提供帮助


biological source

rabbit

Quality Level

conjugate

unconjugated

antibody product type

primary antibodies

clone

monoclonal

form

liquid

species reactivity

rat, human, mouse

concentration

0.33 mg/mL

technique(s)

immunohistochemistry: 1:50-1:200, western blot: 1:500-1:2000

UniProt accession no.

shipped in

wet ice

storage temp.

−20°C

target post-translational modification

unmodified

Gene Information

human ... PRSS2(5645)

General description

This gene belongs to the trypsin family of serine proteases and encodes anionic trypsinogen. It is part of a cluster of trypsinogen genes that are located within the T cell receptor beta locus. Enzymes of this family cleave peptide bonds that follow lysine or arginine residues. This protein is found at high levels in pancreatic juice and its upregulation is a characteristic feature of pancreatitis. This protein has also been found to activate pro-urokinase in ovarian tumors, suggesting a function in tumor invasion. In addition, this enzyme is able to cleave across the type II collagen triple helix in rheumatoid arthritis synovitis tissue, potentially participating in the degradation of type II collagen-rich cartilage matrix. Alternative splicing results in multiple transcript variants.

Immunogen

Recombinant protein of human PRSS2.

Physical form

Buffer: PBS with 0.02% sodium azide,50% glycerol,pH7.3.


Still not finding the right product?

Explore all of our products under

或者

试用我们的 产品选型工具 工具缩小选择范围


存储类别

12 - Non Combustible Liquids

wgk

WGK 1

flash_point_f

Not applicable

flash_point_c

Not applicable

法规信息

常规特殊物品

此项目有



历史批次信息供参考:

分析证书(COA)

Lot/Batch Number

没有发现合适的版本?

如果您需要特殊版本,可通过批号或批次号查找具体证书。

已有该产品?

在文件库中查找您最近购买产品的文档。

访问文档库



全球贸易项目编号

货号GTIN
SAB5701242-100UL04065267664194