跳转至内容
Merck
CN

SAB5701600

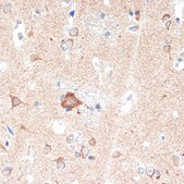
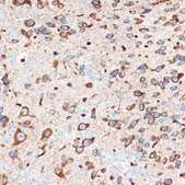
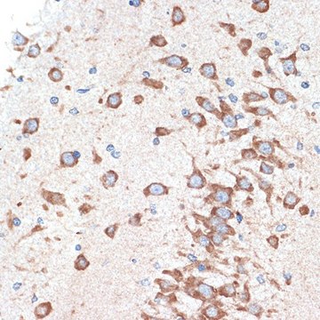
Anti-ADORA1 antibody produced in rabbit

登录 查看组织和合同定价。

选择尺寸

变更视图

关于此项目

NACRES:
NA.41
UNSPSC Code:
12352203
Conjugate:
unconjugated
Clone:
monoclonal
Application:
IHC, WB
Citations:
-
技术服务
需要帮助?我们经验丰富的科学家团队随时乐意为您服务。
让我们为您提供帮助


biological source

rabbit

Quality Level

conjugate

unconjugated

antibody product type

primary antibodies

clone

monoclonal

form

liquid

species reactivity

mouse, human

concentration

1.3 mg/mL

technique(s)

immunohistochemistry: 1:50-1:200, western blot: 1:500-1:2000

UniProt accession no.

shipped in

wet ice

storage temp.

−20°C

target post-translational modification

unmodified

Gene Information

human ... ADORA1(134)

General description

The protein encoded by this gene is an adenosine receptor that belongs to the G-protein coupled receptor 1 family. There are 3 types of adenosine receptors, each with a specific pattern of ligand binding and tissue distribution, and together they regulate a diverse set of physiologic functions. The type A1 receptors inhibit adenylyl cyclase, and play a role in the fertilization process. Animal studies also suggest a role for A1 receptors in kidney function and ethanol intoxication. Transcript variants with alternative splicing in the 5' UTR have been found for this gene. [provided by RefSeq, Jul 2008]

Immunogen

A synthesized peptide derived from human ADORA1

Physical form

Buffer: PBS with 0.02% sodium azide,0.05% BSA,50% glycerol,pH7.3.


Still not finding the right product?

Explore all of our products under

或者

试用我们的 产品选型工具 工具缩小选择范围


存储类别

12 - Non Combustible Liquids

wgk

WGK 1

flash_point_f

Not applicable

flash_point_c

Not applicable

法规信息

常规特殊物品

此项目有



历史批次信息供参考:

分析证书(COA)

Lot/Batch Number

没有发现合适的版本?

如果您需要特殊版本,可通过批号或批次号查找具体证书。

已有该产品?

在文件库中查找您最近购买产品的文档。

访问文档库



全球贸易项目编号

货号GTIN
SAB5701600-100UL04065267671741