跳转至内容
Merck
CN

SAB5701712

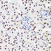
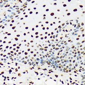
Anti-UAP56/DDX39B antibody produced in rabbit

登录 查看组织和合同定价。

选择尺寸

变更视图

关于此项目

NACRES:
NA.41
UNSPSC Code:
12352203
Conjugate:
unconjugated
Clone:
monoclonal
Application:
IHC, WB
Citations:
-
技术服务
需要帮助?我们经验丰富的科学家团队随时乐意为您服务。
让我们为您提供帮助


biological source

rabbit

Quality Level

conjugate

unconjugated

antibody product type

primary antibodies

clone

monoclonal

form

liquid

species reactivity

rat, human

concentration

0.32 mg/mL

technique(s)

immunohistochemistry: 1:50-1:200, western blot: 1:500-1:2000

UniProt accession no.

shipped in

wet ice

storage temp.

−20°C

target post-translational modification

unmodified

Gene Information

human ... DDX39B(7919)

General description

This gene encodes a member of the DEAD box family of RNA-dependent ATPases that mediate ATP hydrolysis during pre-mRNA splicing. The encoded protein is an essential splicing factor required for association of U2 small nuclear ribonucleoprotein with pre-mRNA, and it also plays an important role in mRNA export from the nucleus to the cytoplasm. This gene belongs to a cluster of genes localized in the vicinity of the genes encoding tumor necrosis factor alpha and tumor necrosis factor beta. These genes are all within the human major histocompatibility complex class III region. Mutations in this gene may be associated with rheumatoid arthritis. Alternative splicing results in multiple transcript variants. Related pseudogenes have been identified on both chromosomes 6 and 11. Read-through transcription also occurs between this gene and the upstream ATP6V1G2 (ATPase, H+ transporting, lysosomal 13kDa, V1 subunit G2) gene. [provided by RefSeq, Feb 2011]

Immunogen

A synthesized peptide derived from human UAP56/DDX39B

Physical form

Buffer: PBS with 0.02% sodium azide,0.05% BSA,50% glycerol,pH7.3.


Still not finding the right product?

试用我们的 产品选型工具 工具缩小选择范围


存储类别

12 - Non Combustible Liquids

wgk

WGK 1

flash_point_f

Not applicable

flash_point_c

Not applicable

法规信息

常规特殊物品

此项目有



历史批次信息供参考:

分析证书(COA)

Lot/Batch Number

没有发现合适的版本?

如果您需要特殊版本,可通过批号或批次号查找具体证书。

已有该产品?

在文件库中查找您最近购买产品的文档。

访问文档库



全球贸易项目编号

货号GTIN
SAB5701712-100UL04065267674865