跳转至内容
Merck
CN

SAB5701981

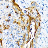
Anti-Cytokeratin 13 (KRT13) Antibody, clone 5M6B10, Rabbit Monoclonal

别名:

CK13, K13, WSN2

登录 查看组织和合同定价。

选择尺寸

变更视图

关于此项目

NACRES:
NA.46
UNSPSC Code:
12352203
Conjugate:
unconjugated
Clone:
5M6B10, monoclonal
Application:
IF, IHC, WB
Citations:
-
技术服务
需要帮助?我们经验丰富的科学家团队随时乐意为您服务。
让我们为您提供帮助


biological source

rabbit

Quality Level

conjugate

unconjugated

material

colorless

clone

5M6B10, monoclonal

form

liquid

mol wt

50 kDa

species reactivity

rat, human

concentration

0.1 mg/mL

technique(s)

immunofluorescence: 1:50 - 1:200, immunohistochemistry: 1:50 - 1:200, western blot: 1:500 - 1:2000

color

colorless

isotype

IgG

immunogen sequence

LTGNEKITMQNLNDRLASYLEKVRALEEANADLEVKIRDWHLKQSPASPERDYSPYYKTIEELRDKILTATIENNRVILEIDNARLAADDFRLKYENELAL

UniProt accession no.

shipped in

wet ice

storage temp.

−20°C

target post-translational modification

unmodified

Gene Information

human ... KRT13(3860)

General description

The protein encoded by this gene is a member of the keratin gene family. The keratins are intermediate filament proteins responsible for the structural integrity of epithelial cells and are subdivided into cytokeratins and hair keratins. Most of the type I cytokeratins consist of acidic proteins which are arranged in pairs of heterotypic keratin chains. This type I cytokeratin is paired with keratin 4 and expressed in the suprabasal layers of non-cornified stratified epithelia. Mutations in this gene and keratin 4 have been associated with the autosomal dominant disorder White Sponge Nevus. The type I cytokeratins are clustered in a region of chromosome 17q21.2. Alternative splicing of this gene results in multiple transcript variants; however, not all variants have been described. [provided by RefSeq, Jul 2008]

Immunogen

A synthetic peptide corresponding to a sequence within amino acids 100-200 of human Cytokeratin 13 (KRT13) (P13646).
PBS with 0.02% sodium azide,0.05% BSA,50% glycerol,pH7.3.

Application

WB, IHC, IF/ICC


存储类别

10 - Combustible liquids

wgk

WGK 1

法规信息

常规特殊物品

此项目有



历史批次信息供参考:

分析证书(COA)

Lot/Batch Number

It looks like we've run into a problem, but you can still download Certificates of Analysis from our 文件 section.

如需帮助,请联系 客户支持

已有该产品?

在文件库中查找您最近购买产品的文档。

访问文档库



全球贸易项目编号

货号GTIN
SAB5701981-100UL04065270651396