跳转至内容
Merck
CN

SAB5702355

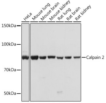
Anti-Calpain 2 Antibody, clone 9Y7I1, Rabbit Monoclonal

别名:

CANP2, CANPL2, CANPml, mCANP

登录 查看组织和合同定价。

选择尺寸

变更视图

关于此项目

NACRES:
NA.46
UNSPSC Code:
12352203
Conjugate:
unconjugated
Clone:
9Y7I1, monoclonal
Application:
WB
Citations:
-
技术服务
需要帮助?我们经验丰富的科学家团队随时乐意为您服务。
让我们为您提供帮助


biological source

rabbit

Quality Level

conjugate

unconjugated

material

colorless

clone

9Y7I1, monoclonal

form

liquid

mol wt

80 kDa

species reactivity

rat, human

concentration

0.55 mg/mL

technique(s)

western blot: 1:500 - 1:2000

color

colorless

isotype

IgG

immunogen sequence

LWTKIQKYQKIYREIDVDRSGTMNSYEMRKALEEAGFKMPCQLHQVIVARFADDQLIIDFDNFVRCLVRLETLFKIFKQLDPENTGTIELDLISWLCFSVL

UniProt accession no.

shipped in

wet ice

storage temp.

−20°C

target post-translational modification

unmodified

Gene Information

human ... CAPN2(824)

General description

The calpains, calcium-activated neutral proteases, are nonlysosomal, intracellular cysteine proteases. The mammalian calpains include ubiquitous, stomach-specific, and muscle-specific proteins. The ubiquitous enzymes consist of heterodimers with distinct large, catalytic subunits associated with a common small, regulatory subunit. This gene encodes the large subunit of the ubiquitous enzyme, calpain 2. Multiple heterogeneous transcriptional start sites in the 5' UTR have been reported. Two transcript variants encoding different isoforms have been found for this gene. [provided by RefSeq, Mar 2009]

Immunogen

A synthetic peptide corresponding to a sequence within amino acids 600-700 of human Calpain 2 (P17655).
PBS with 0.02% sodium azide,0.05% BSA,50% glycerol,pH7.3.

Application

WB


存储类别

10 - Combustible liquids

wgk

WGK 1

法规信息

常规特殊物品

此项目有



历史批次信息供参考:

分析证书(COA)

Lot/Batch Number

It looks like we've run into a problem, but you can still download Certificates of Analysis from our 文件 section.

如需帮助,请联系 客户支持

已有该产品?

在文件库中查找您最近购买产品的文档。

访问文档库



全球贸易项目编号

货号GTIN
SAB5702355-100UL04065270695017