跳转至内容
Merck
CN

SAB5702457

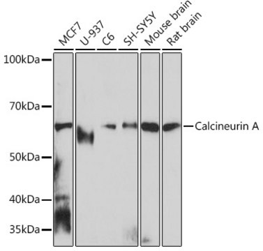
Anti-Calcineurin A Antibody, clone 5I6H8, Rabbit Monoclonal

别名:

CALN, CALNA, CALNA1, CCN1, CNA1, PPP2B

登录 查看组织和合同定价。

选择尺寸

变更视图

关于此项目

NACRES:
NA.46
UNSPSC Code:
12352203
Conjugate:
unconjugated
Clone:
5I6H8, monoclonal
Application:
WB
Citations:
-
技术服务
需要帮助?我们经验丰富的科学家团队随时乐意为您服务。
让我们为您提供帮助


biological source

rabbit

Quality Level

conjugate

unconjugated

material

colorless

clone

5I6H8, monoclonal

form

liquid

mol wt

59 kDa

species reactivity

rat, human

concentration

0.95 mg/mL

technique(s)

western blot: 1:500 - 1:2000

color

colorless

isotype

IgG

immunogen sequence

TLKGLTPTGMLPSGVLSGGKQTLQSATVEAIEADEAIKGFSPQHKITSFEEAKGLDRINERMPPRRDAMPSDANLNSINKALTSETNGTDSNGSNSSNIQ

UniProt accession no.

shipped in

wet ice

storage temp.

−20°C

target post-translational modification

unmodified

Gene Information

human ... PPP3CA(5530)

General description

Calcium-dependent, calmodulin-stimulated protein phosphatase which plays an essential role in the transduction of intracellular Ca(2+-mediated signals. Many of the substrates contain a PxIxIT motif and/or a LxVP motif. In response to increased Ca(2+ levels, dephosphorylates and activates phosphatase SSH1 which results in cofilin dephosphorylation. In response to increased Ca(2+ levels following mitochondrial depolarization, dephosphorylates DNM1L inducing DNM1L translocation to the mitochondrion. Dephosphorylates heat shock protein HSPB1 (By similarity. Dephosphorylates and activates transcription factor NFATC1. In response to increased Ca(2+ levels, regulates NFAT-mediated transcription probably by dephosphorylating NFAT and promoting its nuclear translocation. Dephosphorylates and inactivates transcription factor ELK1. Dephosphorylates DARPP32. May dephosphorylate CRTC2 at ′Ser-171′ resulting in CRTC2 dissociation from 14-3-3 proteins. Dephosphorylates transcription factor TFEB at ′Ser-211′ following Coxsackievirus B3 infection, promoting nuclear translocation.

Immunogen

A synthetic peptide corresponding to a sequence within amino acids 422-521 of human Calcineurin A (Q08209).
PBS with 0.02% sodium azide,0.05% BSA,50% glycerol,pH7.3.

Application

WB


存储类别

10 - Combustible liquids

wgk

WGK 1

法规信息

常规特殊物品

此项目有



历史批次信息供参考:

分析证书(COA)

Lot/Batch Number

It looks like we've run into a problem, but you can still download Certificates of Analysis from our 文件 section.

如需帮助,请联系 客户支持

已有该产品?

在文件库中查找您最近购买产品的文档。

访问文档库



全球贸易项目编号

货号GTIN
SAB5702457-100UL04065270696038