跳转至内容
Merck
CN

SAB5702532

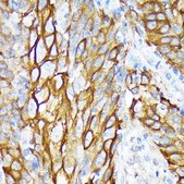
Anti-Cytokeratin 6 (KRT6) Antibody, clone 1T4Z8, Rabbit Monoclonal

别名:

CK-6C, CK-6E, CK6A, CK6C, CK6D, K6A, K6C, K6D, KRT6C, KRT6D, PC3

登录 查看组织和合同定价。

选择尺寸

变更视图

关于此项目

NACRES:
NA.46
UNSPSC Code:
12352203
Conjugate:
unconjugated
Clone:
1T4Z8, monoclonal
Application:
IHC, WB
Citations:
-
技术服务
需要帮助?我们经验丰富的科学家团队随时乐意为您服务。
让我们为您提供帮助


biological source

rabbit

Quality Level

conjugate

unconjugated

material

colorless

clone

1T4Z8, monoclonal

form

liquid

mol wt

60 kDa

species reactivity

rat, human

concentration

0.25 mg/mL

technique(s)

immunohistochemistry: 1:50 - 1:200, western blot: 1:1000 - 1:3000

color

colorless

isotype

IgG

immunogen sequence

MASTSTTIRSHSSSRRGFSANSARLPGVSRSGFSSVSVSRSRGSGGLGGACGGAGFGSRSLYGLGGSKRISIGGGSCAISGGYGSRAGGSYGFGGAGSGF

UniProt accession no.

shipped in

wet ice

storage temp.

−20°C

target post-translational modification

unmodified

Gene Information

human ... KRT6A(3853)

General description

The protein encoded by this gene is a member of the keratin gene family. The type II cytokeratins consist of basic or neutral proteins which are arranged in pairs of heterotypic keratin chains coexpressed during differentiation of simple and stratified epithelial tissues. As many as six of this type II cytokeratin (KRT6) have been identified; the multiplicity of the genes is attributed to successive gene duplication events. The genes are expressed with family members KRT16 and/or KRT17 in the filiform papillae of the tongue, the stratified epithelial lining of oral mucosa and esophagus, the outer root sheath of hair follicles, and the glandular epithelia. This KRT6 gene in particular encodes the most abundant isoform. Mutations in these genes have been associated with pachyonychia congenita. In addition, peptides from the C-terminal region of the protein have antimicrobial activity against bacterial pathogens. The type II cytokeratins are clustered in a region of chromosome 12q12-q13. [provided by RefSeq, Oct 2014]

Immunogen

A synthetic peptide corresponding to a sequence within amino acids 1-100 of human Cytokeratin 6 (KRT6) (P02538).
PBS with 0.02% sodium azide,0.05% BSA,50% glycerol,pH7.3.

Application

WB, IHC


存储类别

10 - Combustible liquids

wgk

WGK 1

法规信息

常规特殊物品

此项目有



历史批次信息供参考:

分析证书(COA)

Lot/Batch Number

It looks like we've run into a problem, but you can still download Certificates of Analysis from our 文件 section.

如需帮助,请联系 客户支持

已有该产品?

在文件库中查找您最近购买产品的文档。

访问文档库



全球贸易项目编号

货号GTIN
SAB5702532-100UL04065270691392