跳转至内容
Merck
CN

SAB5702620

Antibody, clone 1Q10Q4, Rabbit Monoclonal

别名:

INK4C, p18, p18-INK4C

登录 查看组织和合同定价。

选择尺寸

变更视图

关于此项目

NACRES:
NA.46
UNSPSC Code:
12352203
Conjugate:
unconjugated
Clone:
1Q10Q4, monoclonal
Application:
IF, WB
Citations:
-
技术服务
需要帮助?我们经验丰富的科学家团队随时乐意为您服务。
让我们为您提供帮助


biological source

rabbit

Quality Level

conjugate

unconjugated

material

colorless

clone

1Q10Q4, monoclonal

form

liquid

mol wt

17 kDa

species reactivity

human, rat

concentration

1.30 mg/mL

technique(s)

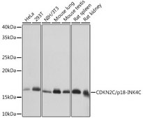
immunofluorescence: 1:50 - 1:200, western blot: 1:500 - 1:2000

color

colorless

isotype

IgG

immunogen sequence

MAEPWGNELASAAARGDLEQLTSLLQNNVNVNAQNGFGRTALQVMKLGNPEIARRLLLRGANPDLKDRTGFAVIHDAARAGFLDTLQTLLEFQADVNIEDNEGNLPLHLAAKEGHLRVVE

UniProt accession no.

shipped in

wet ice

storage temp.

−20°C

target post-translational modification

unmodified

Gene Information

human ... CDKN2C(1031)

General description

The protein encoded by this gene is a member of the INK4 family of cyclin-dependent kinase inhibitors. This protein has been shown to interact with CDK4 or CDK6, and prevent the activation of the CDK kinases, thus function as a cell growth regulator that controls cell cycle G1 progression. Ectopic expression of this gene was shown to suppress the growth of human cells in a manner that appears to correlate with the presence of a wild-type RB1 function. Studies in the knockout mice suggested the roles of this gene in regulating spermatogenesis, as well as in suppressing tumorigenesis. Two alternatively spliced transcript variants of this gene, which encode an identical protein, have been reported. [provided by RefSeq, Jul 2008]

Immunogen

Recombinant fusion protein containing a sequence corresponding to amino acids 1-120 of human CDKN2C/p18-INK4C (P42773).
PBS with 0.02% sodium azide,0.05% BSA,50% glycerol,pH7.3.

Application

WB, IF/ICC


存储类别

10 - Combustible liquids

wgk

WGK 1

法规信息

常规特殊物品

此项目有



历史批次信息供参考:

分析证书(COA)

Lot/Batch Number

It looks like we've run into a problem, but you can still download Certificates of Analysis from our 文件 section.

如需帮助,请联系 客户支持

已有该产品?

在文件库中查找您最近购买产品的文档。

访问文档库



全球贸易项目编号

货号GTIN
SAB5702620-100UL04065270692276