跳转至内容
Merck
CN

SAB5702719

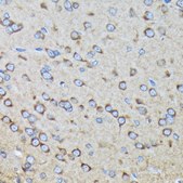
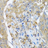
Anti-RALBP1 Antibody, clone 5C10W9, Rabbit Monoclonal

别名:

RIP1, RLIP1, RLIP76

登录 查看组织和合同定价。

选择尺寸

变更视图

关于此项目

NACRES:
NA.46
UNSPSC Code:
12352203
Conjugate:
unconjugated
Clone:
5C10W9, monoclonal
Application:
IF, IHC, WB
Citations:
-
技术服务
需要帮助?我们经验丰富的科学家团队随时乐意为您服务。
让我们为您提供帮助


biological source

rabbit

Quality Level

conjugate

unconjugated

material

colorless

clone

5C10W9, monoclonal

form

liquid

mol wt

95 kDa

species reactivity

rat, human

concentration

0.243 mg/mL

technique(s)

immunofluorescence: 1:50 - 1:200, immunohistochemistry: 1:50 - 1:200, western blot: 1:500 - 1:2000

color

colorless

isotype

IgG

immunogen sequence

RTMMYDGIRLPAVFRECIDYVEKYGMKCEGIYRVSGIKSKVDELKAAYDREESTNLEDYEPNTVASLLKQYLRDLPENLLTKELMPRFEEACGRTTETEKV

UniProt accession no.

shipped in

wet ice

storage temp.

−20°C

target post-translational modification

unmodified

Gene Information

human ... RALBP1(10928)

General description

RALBP1 plays a role in receptor-mediated endocytosis and is a downstream effector of the small GTP-binding protein RAL (see RALA; MIM 179550). Small G proteins, such as RAL, have GDP-bound inactive and GTP-bound active forms, which shift from the inactive to the active state through the action of RALGDS (MIM 601619), which in turn is activated by RAS (see HRAS; MIM 190020) (summary by Feig, 2003 [PubMed 12888294]).[supplied by OMIM, Nov 2010]

Immunogen

A synthetic peptide corresponding to a sequence within amino acids 200-300 of human RALBP1 (Q15311).
PBS with 0.02% sodium azide,0.05% BSA,50% glycerol,pH7.3.

Application

WB, IHC, IF/ICC


存储类别

10 - Combustible liquids

wgk

WGK 1

法规信息

常规特殊物品

此项目有



历史批次信息供参考:

分析证书(COA)

Lot/Batch Number

It looks like we've run into a problem, but you can still download Certificates of Analysis from our 文件 section.

如需帮助,请联系 客户支持

已有该产品?

在文件库中查找您最近购买产品的文档。

访问文档库



全球贸易项目编号

货号GTIN
SAB5702719-100UL04065270687982