跳转至内容
Merck
CN

SAB5702813

Anti-RORβ Antibody, clone 7J9T7, Rabbit Monoclonal

别名:

NR1F2, ROR-BETA, RZR-BETA, RZRB, bA133M9.1

登录 查看组织和合同定价。

选择尺寸

变更视图

关于此项目

NACRES:
NA.46
UNSPSC Code:
12352203
Conjugate:
unconjugated
Clone:
7J9T7, monoclonal
Application:
WB
Citations:
-
技术服务
需要帮助?我们经验丰富的科学家团队随时乐意为您服务。
让我们为您提供帮助


biological source

rabbit

Quality Level

conjugate

unconjugated

material

colorless

clone

7J9T7, monoclonal

form

liquid

mol wt

53 kDa

species reactivity

rat, human

concentration

1.35 mg/mL

technique(s)

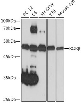
western blot: 1:500 - 1:2000

color

colorless

isotype

IgG

immunogen sequence

MCENQLKTKADATAQIEVIPCKICGDKSSGIHYGVITCEGCKGFFRRSQQNNASYSCPRQRNCLIDRTNRNRCQHCRLQKCLALGMSRDAVKFGRMSKKQ

UniProt accession no.

shipped in

wet ice

storage temp.

−20°C

target post-translational modification

unmodified

Gene Information

human ... RORB(6096)

General description

The protein encoded by this gene is a member of the NR1 subfamily of nuclear hormone receptors. It is a DNA-binding protein that can bind as a monomer or as a homodimer to hormone response elements upstream of several genes to enhance the expression of those genes. The encoded protein has been shown to interact with NM23-2, a nucleoside diphosphate kinase involved in organogenesis and differentiation, and to help regulate the expression of some genes involved in circadian rhythm. [provided by RefSeq, Feb 2014]

Immunogen

A synthetic peptide corresponding to a sequence within amino acids 1-100 of human RORβ (Q92753).
PBS with 0.02% sodium azide,0.05% BSA,50% glycerol,pH7.3.

Application

WB


存储类别

10 - Combustible liquids

wgk

WGK 1

法规信息

常规特殊物品

此项目有



历史批次信息供参考:

分析证书(COA)

Lot/Batch Number

It looks like we've run into a problem, but you can still download Certificates of Analysis from our 文件 section.

如需帮助,请联系 客户支持

已有该产品?

在文件库中查找您最近购买产品的文档。

访问文档库



全球贸易项目编号

货号GTIN
SAB5702813-100UL04065270688927