跳转至内容
Merck
CN

SAB5702978

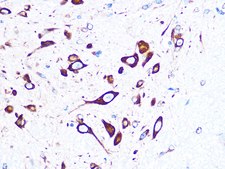
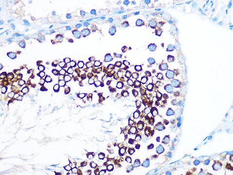
Anti-FMRP Antibody, clone 4Y8I5, Rabbit Monoclonal

别名:

FMRP, FRAXA, POF, POF1

登录 查看组织和合同定价。

选择尺寸

变更视图

关于此项目

NACRES:
NA.46
UNSPSC Code:
12352203
Conjugate:
unconjugated
Clone:
4Y8I5, monoclonal
Application:
IHC, IP, WB
Citations:
-
技术服务
需要帮助?我们经验丰富的科学家团队随时乐意为您服务。
让我们为您提供帮助


biological source

rabbit

Quality Level

conjugate

unconjugated

material

colorless

clone

4Y8I5, monoclonal

form

liquid

mol wt

70-80 kDa

species reactivity

human, rat

concentration

0.5 mg/mL

technique(s)

immunohistochemistry: 1:50 - 1:200, immunoprecipitation (IP): 1:50 - 1:200, western blot: 1:500 - 1:2000

color

colorless

isotype

IgG

immunogen sequence

MEELVVEVRGSNGAFYKAFVKDVHEDSITVAFENNWQPDRQIPFHDVRFPPPVGYNKDINESDEVEVYSRANEKEPCCWWLAKVRMIKGEFYVIEYAACD

UniProt accession no.

shipped in

wet ice

storage temp.

−20°C

target post-translational modification

unmodified

Gene Information

human ... FMR1(2332)

General description

The protein encoded by this gene binds RNA and is associated with polysomes. The encoded protein may be involved in mRNA trafficking from the nucleus to the cytoplasm. A trinucleotide repeat (CGG) in the 5' UTR is normally found at 6-53 copies, but an expansion to 55-230 repeats is the cause of fragile X syndrome. Expansion of the trinucleotide repeat may also cause one form of premature ovarian failure (POF1). Multiple alternatively spliced transcript variants that encode different protein isoforms and which are located in different cellular locations have been described for this gene. [provided by RefSeq, May 2010]

Immunogen

A synthetic peptide corresponding to a sequence within amino acids 1-100 of human FMRP (Q06787).
PBS with 0.02% sodium azide,0.05% BSA,50% glycerol,pH7.3.

Application

WB, IHC, IP


存储类别

10 - Combustible liquids

wgk

WGK 1

法规信息

常规特殊物品

此项目有



历史批次信息供参考:

分析证书(COA)

Lot/Batch Number

It looks like we've run into a problem, but you can still download Certificates of Analysis from our 文件 section.

如需帮助,请联系 客户支持

已有该产品?

在文件库中查找您最近购买产品的文档。

访问文档库



全球贸易项目编号

货号GTIN
SAB5702978-100UL04065270712578