跳转至内容
Merck
CN

SAB6012115

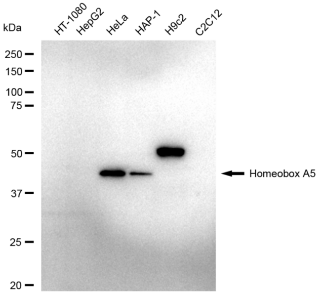
Anti Homeobox A5 Antibody, clone 23GB6380, Rabbit Monoclonal

greener alternative

clone 23GB6380, recombinant rabbit monoclonal, expressed in HEK293 cells

别名:

HOX1, HOX1C

登录 查看组织和合同定价。

选择尺寸

变更视图

关于此项目

UNSPSC Code:
12352203
Conjugate:
unconjugated
Clone:
23GB6380, recombinant monoclonal
Application:
WB
Citations:
-
技术服务
需要帮助?我们经验丰富的科学家团队随时乐意为您服务。
让我们为您提供帮助


biological source

rabbit (Monoclonal)

Quality Level

recombinant

expressed in HEK 293 cells

conjugate

unconjugated

antibody form

affinity isolated antibody

antibody product type

primary antibodies

clone

23GB6380, recombinant monoclonal

form

buffered aqueous glycerol solution

mol wt

29 kDa

species reactivity

human

packaging

vial of 1.5 mL

enhanced validation

recombinant expression
Learn more about Antibody Enhanced Validation

sustainability

Greener Alternative Product

concentration

2 mg/ml

technique(s)

western blot: 1:1,000-1:5,000

isotype

IgG

Ensembl | human accession no.

NCBI accession no.

UniProt accession no.

greener alternative category

shipped in

wet ice

storage temp.

−20°C

target post-translational modification

unmodified

Gene Information

human ... HOXA5(3202)

General description

In vertebrates, the genes encoding the class of transcription factors called homeobox genes are found in clusters named A, B, C, and D on four separate chromosomes. Expression of these proteins is spatially and temporally regulated during embryonic development. This gene is part of the A cluster on chromosome 7 and encodes a DNA-binding transcription factor which may regulate gene expression, morphogenesis, and differentiation. Methylation of this gene may result in the loss of its expression and, since the encoded protein upregulates the tumor suppressor p53, this protein may play an important role in tumorigenesis. [provided by RefSeq, Jul 2008]
We are committed to bringing you Greener Alternative Products. This product is a Design for Sustainability (DfS) developed product, which belongs to one of the four categories of greener alternatives. Click here to view its DfS scorecard.

Immunogen

A synthesized peptide corresponding to a sequence within amino acids 100-150 of human HOXA5 [NP_061975.2].

Physical form

Solution in PBS (pH 7.4) containing 50% glycerol, and 0.02% sodium azide.

Other Notes

Gently mix before use. Optimal concentrations and conditions for each application should be determined by the user.


Still not finding the right product?

试用我们的 产品选型工具 工具缩小选择范围


存储类别

10 - Combustible liquids

flash_point_f

572.0 °F

flash_point_c

300 °C

法规信息

新产品

此项目有



历史批次信息供参考:

分析证书(COA)

Lot/Batch Number

It looks like we've run into a problem, but you can still download Certificates of Analysis from our 文件 section.

如需帮助,请联系 客户支持

已有该产品?

在文件库中查找您最近购买产品的文档。

访问文档库



全球贸易项目编号

货号GTIN
SAB6012115-100UL04065273190632