biological source
rabbit (Monoclonal)
Quality Level
recombinant
expressed in HEK 293 cells
conjugate
unconjugated
antibody form
affinity isolated antibody
antibody product type
primary antibodies
clone
24GB2425, recombinant monoclonal
form
buffered aqueous glycerol solution
mol wt
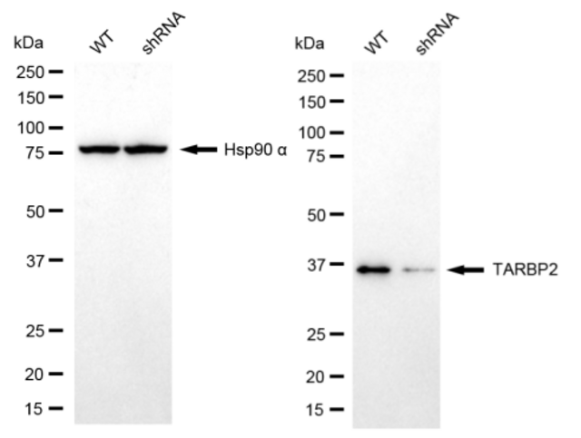
39 kDa
species reactivity
human, rat
packaging
vial of 1.5 mL
enhanced validation
recombinant expression
Learn more about Antibody Enhanced Validation
sustainability
Greener Alternative Product
concentration
0.8 mg/ml
technique(s)
flow cytometry: 1:2000, immunofluorescence: 1:100-:1000, western blot: 1:1,000-1:5,000
isotype
IgG
Ensembl | human accession no.
NCBI accession no.
UniProt accession no.
greener alternative category
shipped in
wet ice
storage temp.
−20°C
target post-translational modification
unmodified
Gene Information
human ... TARBP2(6895)
General description
HIV-1, the causative agent of acquired immunodeficiency syndrome (AIDS), contains an RNA genome that produces a chromosomally integrated DNA during the replicative cycle. Activation of HIV-1 gene expression by the transactivator Tat is dependent on an RNA regulatory element (TAR) located downstream of the transcription initiation site. The protein encoded by this gene binds between the bulge and the loop of the HIV-1 TAR RNA regulatory element and activates HIV-1 gene expression in synergy with the viral Tat protein. Alternative splicing results in multiple transcript variants encoding different isoforms. This gene also has a pseudogene. [provided by RefSeq, Jul 2008]
We are committed to bringing you Greener Alternative Products. This product is a Design for Sustainability (DfS) developed product, which belongs to one of the four categories of greener alternatives. Click here to view its DfS scorecard.
Immunogen
A synthesized peptide corresponding to a sequence within amino acids 230-280 of human TRBP [NP_599150.1].
Physical form
Solution in PBS (pH 7.4) containing 50% glycerol, and 0.02% sodium azide.
Other Notes
Gently mix before use. Optimal concentrations and conditions for each application should be determined by the user.
Still not finding the right product?
试用我们的 产品选型工具 工具缩小选择范围
存储类别
10 - Combustible liquids
flash_point_f
572.0 °F
flash_point_c
300 °C
法规信息
新产品
此项目有
全球贸易项目编号
| 货号 | GTIN |
|---|---|
| SAB6012458-100UL | 04065273198348 |