biological source
human
recombinant
expressed in baculovirus infected Sf9 cells
assay
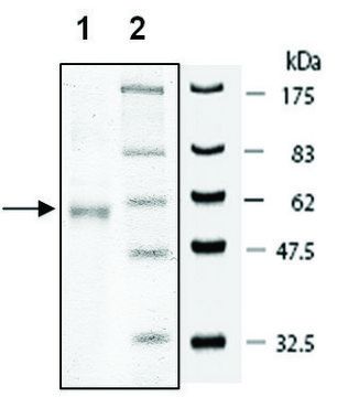
≥80% (SDS-PAGE)
form
aqueous solution
mol wt
54.2 kDa
packaging
pkg of 10 μg
technique(s)
activity assay: suitable, inhibition assay: suitable
NCBI accession no.
UniProt accession no.
shipped in
dry ice
storage temp.
−70°C
Gene Information
human ... FLT3(2322)
General description
Human Flt3 (GenBank Accession No. NM_004119), amino acids 564-end with N-terminal His-tag, MW=54.2 kDa, expressed in a Baculovirus infected Sf9 cell expression system.
Application
Useful for the study of enzyme kinetics, screening inhibitors, and selectivity profiling.
signalword
Danger
hcodes
Hazard Classifications
Repr. 1B
存储类别
6.1C - Combustible acute toxic Cat.3 / toxic compounds or compounds which causing chronic effects
wgk
WGK 1
flash_point_f
Not applicable
flash_point_c
Not applicable
法规信息
新产品
此项目有
Connor P Hall et al.
Clinical cancer research : an official journal of the American Association for Cancer Research, 22(3), 621-632 (2015-06-18)
The aim of our study is to evaluate the preclinical therapeutic activity and mechanism of action of BEZ235, a dual PI3K/mTOR inhibitor, in combination with dexamethasone in acute lymphoblastic leukemia (ALL). The cytotoxic effects of BEZ235 and dexamethasone as single
Shinichiro Takahashi et al.
Leukemia research, 29(8), 893-899 (2005-06-28)
Activating mutations or over-expression of the Flt3 is prevalent in acute myeloblastic leukemia (AML), associated with activation of Ras/MAP kinase and other signaling pathways. In this study, we addressed the role of Flt3 in the activation of nuclear factor-kappa B
Amanda Lance et al.
Leukemia, 34(2), 369-379 (2019-08-30)
Three annotated CSF3R mRNA splice variants have been described. CSF3R-V1 is the wild-type receptor, while CSF3R-V4 is a truncated form increased in some patients with AML. CSF3R-V3 mRNA was identified in placenta more than 20 years ago, but remains largely
全球贸易项目编号
| 货号 | GTIN |
|---|---|
| SRP0349-10UG | 04061837195907 |
