biological source
mouse
Quality Level
recombinant
expressed in HEK 293 cells
conjugate
unconjugated
antibody form
purified antibody
antibody product type
primary antibodies
clone
C464.6, recombinant monoclonal, monoclonal
product line
ZooMAb® learn more
form
lyophilized
mol wt
calculated mol wt 112.89 kDa, observed mol wt ~100 kDa
species reactivity
mouse, rat, human
species reactivity (predicted by homology)
monkey, sheep, canine, Xenopus, rabbit, porcine
packaging
antibody small pack of 25 μL
greener alternative product characteristics
Waste Prevention
Designing Safer Chemicals
Design for Energy Efficiency
Learn more about the Principles of Green Chemistry.
enhanced validation
recombinant expression
Learn more about Antibody Enhanced Validation
sustainability
Greener Alternative Product
technique(s)
immunocytochemistry: suitable, immunohistochemistry (formalin-fixed, paraffin-embedded sections): suitable, western blot: suitable
isotype
IgG1
UniProt accession no.
greener alternative category
shipped in
ambient
storage temp.
2-8°C
target post-translational modification
unmodified
Gene Information
rat ... Atp1A1(24211)
General description
Sodium/potassium-transporting ATPase subunit alpha-1 (UniProt: P05023; also known as EC:7.2.2.13, Na (+)/K (+) ATPase alpha-1 subunit, Sodium pump subunit alpha-1) is encoded by the ATP1A1 gene (Gene ID: 476) in human. Na (+)/K (+) ATPase alpha-1 is a multi-pass membrane protein with five extracellular domains; ten helical domains, and six cytoplasmic domains. It is synthesized with a short propeptide (aa 1-5), which is removed in the mature form. It serves as the catalytic component of the active enzyme that catalyzes the hydrolysis of ATP coupled with the exchange of sodium and potassium ions across the plasma membrane. This action creates the electrochemical gradient of sodium and potassium ions that provides energy for active transport of various nutrients. This gradient is also essential for osmoregulation, for sodium-coupled transport of a variety of organic and inorganic molecules, and for electrical excitability of nerve and muscle. Phosphorylation of Na (+)/K (+) ATPase alpha-1 on tyrosine 10 modulates its pumping activity and phosphorylation on serine 943 by protein kinase A modulates its response protein kinase C. Following increase in intracellular sodium, it undergoes dephosphorylation by protein phosphatase 2A (PP2A) that leads to increase in its catalytic activity. Mutations in ATP1A1 gene have been linked to Charcot-Marie-Tooth disease, a disorder of the peripheral nervous system, characterized by progressive weakness and atrophy. This ZooMAb recombinant monoclonal antibody, generated by our propriety technology, offers significantly enhanced specificity, affinity, reproducibility, and stability over conventional monoclonals.
We are committed to bringing you greener alternative products, which adhere to one or more of The 12 Principles of Green Chemistry.This antibody is Preservative-free, produced without the harm or sacrifice of animals and exceptionally stable to allow for ambient shipping and storage if needed and thus aligns with "Waste Prevention", "Designing Safer Chemicals" and "Design for Energy Efficiency". Click here for more information.
ZooMAb antibodies represent an entirely new generation of recombinant monoclonal antibodies.
Each ZooMAb antibody is manufactured using our proprietary recombinant expression system, purified to homogeneity, and precisely dispensed to produce robust and highly reproducible lot-to-lot consistency. Only top-performing clones are released for use by researchers. Each antibody is validated for high specificity and affinity across multiple applications, including its most commonly used application. ZooMAb antibodies are reliably available and ready to ship when you need them.
Learn more about ZooMAb here.
Each ZooMAb antibody is manufactured using our proprietary recombinant expression system, purified to homogeneity, and precisely dispensed to produce robust and highly reproducible lot-to-lot consistency. Only top-performing clones are released for use by researchers. Each antibody is validated for high specificity and affinity across multiple applications, including its most commonly used application. ZooMAb antibodies are reliably available and ready to ship when you need them.
Learn more about ZooMAb here.
Immunogen
Purified Na+/K+ ATPase isolated from membrane fractions of rabbit kidney outer medulla.
Application
Anti-Na+/K+ ATPase -1, clone C464.6 ZooMAb, Cat. No. ZMS1029, is a recombinant Mouse monoclonal antibody that targets Na+/K+ ATPase -1 and is tested for use in Immunocytochemistry, Immunohistochemistry (Paraffin), and Western Blotting.
Western Blotting Analysis: A 1:10,000 dilution from a representative lot detected Na+/K+ ATPase -1 in Rat Brain Microsomal preparations and in lysates from A431, and A549 cells.
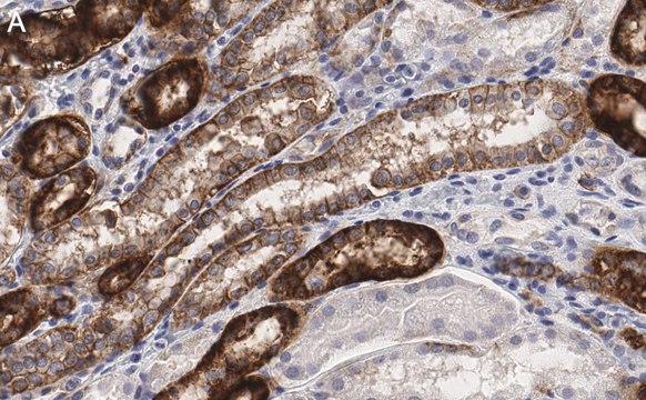
Immunohistochemistry (Paraffin) Analysis: A 1:100 dilution from a representative lot detected Na+/K+ ATPase -1 in human kidney tissue sections.
Immunocytochemistry Analysis: A 1:100 dilution from a representative lot detected Na+/K+ ATPase -1 in A431 and MCF-7 cells.
Note: Actual optimal working dilutions must be determined by end user as specimens, and experimental conditions may vary with the end user
Immunohistochemistry (Paraffin) Analysis: A 1:100 dilution from a representative lot detected Na+/K+ ATPase -1 in human kidney tissue sections.
Immunocytochemistry Analysis: A 1:100 dilution from a representative lot detected Na+/K+ ATPase -1 in A431 and MCF-7 cells.
Note: Actual optimal working dilutions must be determined by end user as specimens, and experimental conditions may vary with the end user
Biochem/physiol Actions
Clone C464.6 is a ZooMAb mouse recombinant monoclonal antibody that specifically detects Na+/K+ ATPase in multiple species.
Physical form
Purified recombinant mouse monoclonal antibody IgG, lyophilized in PBS with 5% Trehalose, normal appearance a coarse or translucent resin. Contains no biocide or preservatives, such as azide, or any animal by-products. Larger pack sizes provided as multiples of 25 μL.
Preparation Note
30 μg/mL after reconstitution at 25 μL per vial. Please refer to guidance on suggested starting dilutions and/or titers per application and sample type.
Recommend storage of lyophilized product at 2-8°C; Before reconstitution, micro-centrifuge vials briefly to spin down material to bottom of the vial; Reconstitute each vial by adding 25 μL of filtered lab grade water or PBS; Reconstituted antibodies can be stored at 2-8°C, or -20°C for long term storage. Avoid repeated freeze-thaws.
Legal Information
ZooMAb is a registered trademark of Merck KGaA, Darmstadt, Germany
Disclaimer
Unless otherwise stated in our catalog or other company documentation accompanying the product(s), our products are intended for research use only and are not to be used for any other purpose, which includes but is not limited to, unauthorized commercial uses, in vitro diagnostic uses, ex vivo or in vivo therapeutic uses or any type of consumption or application to humans or animals.
Still not finding the right product?
试用我们的 产品选型工具 工具缩小选择范围
存储类别
11 - Combustible Solids
wgk
WGK 1
法规信息
常规特殊物品
此项目有
全球贸易项目编号
| 货号 | GTIN |
|---|---|
| ZMS1029-25UL | 04061842162604 |
| ZMS1029-4X25UL | 04061842162611 |