跳转至内容
Merck
CN

ZMS1130

Anti-GABRB2 Antibody, clone BD17 ZooMAb® Mouse Monoclonal

greener alternative

recombinant, expressed in HEK 293 cells

别名:

Gamma-aminobutyric acid receptor subunit beta-2;GABA(A) receptor subunit beta-2

登录 查看组织和合同定价。

选择尺寸

变更视图

关于此项目

NACRES:
NA.41
UNSPSC Code:
12352203
Technique(s):
western blot: suitable, immunofluorescence: suitable, immunohistochemistry: suitable
Conjugate:
unconjugated
Application:
IF, IHC, WB
Citations:
-
技术服务
需要帮助?我们经验丰富的科学家团队随时乐意为您服务。
让我们为您提供帮助


biological source

mouse

Quality Level

recombinant

expressed in HEK 293 cells

conjugate

unconjugated

antibody form

purified antibody

antibody product type

primary antibodies

clone

BD17, recombinant monoclonal

product line

ZooMAb® learn more

form

lyophilized

mol wt

calculated mol wt 54.45 kDa, observed mol wt ~52 kDa

purified by

using protein G

species reactivity

human, mouse

species reactivity (predicted by homology)

bovine, feline, rat, monkey

packaging

antibody small pack of 25 μL

greener alternative product characteristics

Waste Prevention
Designing Safer Chemicals
Design for Energy Efficiency
Learn more about the Principles of Green Chemistry.

enhanced validation

recombinant expression
Learn more about Antibody Enhanced Validation

sustainability

Greener Alternative Product

technique(s)

western blot: suitable, immunofluorescence: suitable, immunohistochemistry: suitable

isotype

IgG1κ

epitope sequence

Unknown

Protein ID accession no.

UniProt accession no.

greener alternative category

shipped in

ambient

storage temp.

2-8°C

target post-translational modification

unmodified

Gene Information

bovine ... GABRB2(540657)

General description

Gamma-aminobutyric acid receptor subunit beta-2 (UniProt: P0C2W5; also known as GABA(A) receptor subunit beta-2) is encoded by the GABRB2 gene (Gene ID: 540657) in Bovine. GABA is the major inhibitory neurotransmitter in the central nervous system that inhibits the generation of the action potential of the neuron. It plays an important role in the formation of functional inhibitory GABAergic synapses in addition to mediating synaptic inhibition as a GABA-gated ion channel. It is involved in the pathogenesis of certain neurological and psychiatric disorders. GABA interacts with the GABAA and GABAB receptors, which are widely distributed throughout the nervous system and are involved in synaptogenesis, neurogenesis, and the regulation of neuronal plasticity and learning. These receptors differ in their pharmacological, electrophysiological, and biochemical properties. GABRB2 is a multi-pass membrane protein that plays an important role in the formation of the pentameric structure of the GABA A receptor. It is synthesized with a signal peptide (aa 1-23), which is subsequently cleaved off to produce the mature protein that contains an extracellular domain (aa 24-239), three transmembrane domains, and a cytoplasmic domain (aa 330-450). The extracellular domains contribute to synaptic contact formation. GABRB2 is highly expressed in the brain with abundance in the gray matter of neurons and glial cells. It is associated with cognitive function related to time perception. This ZooMAb® recombinant monoclonal antibody, generated by our propriety technology, offers significantly enhanced specificity, affinity, reproducibility, and stability over conventional monoclonals. (Ref.: Barki, M., and Xue, H. (2022). Gene. 809;146021; Ymer, S., et al. (1989). EMBO J. 8(6); 1665-1670).
We are committed to bringing you greener alternative products, which adhere to one or more of The 12 Principles of Green Chemistry.This antibody is Preservative-free, produced without the harm or sacrifice of animals and exceptionally stable to allow for ambient shipping and storage if needed and thus aligns with "Waste Prevention", "Designing Safer Chemicals" and "Design for Energy Efficiency". Click here for more information.
ZooMAb® antibodies represent an entirely new generation of recombinant monoclonal antibodies.Each ZooMAb® antibody is manufactured using our proprietary recombinant expression system, purified to homogeneity, and precisely dispensed to produce robust and highly reproducible lot-to-lot consistency. Only top-performing clones are released for use by researchers. Each antibody is validated for high specificity and affinity across multiple applications, including its most commonly used application. ZooMAb® antibodies are reliably available and ready to ship when you need them.

Immunogen

Purified GABA A receptor from bovine cerebral cortex.

Application

Quality Control Testing

Evaluated by Western Blotting in Mouse liver membrane preparation.

Western Blotting Analysis (WB): A 1:1,000 dilution of this antibody detected GABRB2 in Mouse liver membrane preparation.

Tested Applications

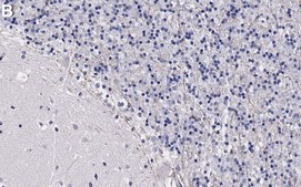
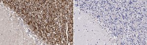
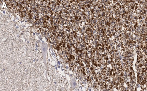
Immunohistochemistry (Paraffin) Analysis: A 1:100 dilution from a representative lot detected GABRB2 in Human brain and Mouse brain tissue sections.

Immunofluorescence Analysis: A 1:100 dilution from a representative lot detected GABRB2 in Human cerebellum tissue sections.

Note: Actual optimal working dilutions must be determined by end user as specimens, and experimental conditions may vary with the end user.

Biochem/physiol Actions

Clone BD17 is a ZooMAb® Mouse recombinant monoclonal antibody that specifically detects GABA A receptor β2.

Physical form

Purified recombinant mouse monoclonal antibody IgG, lyophilized in PBS with 5% Trehalose, normal appearance a coarse or translucent resin. The PBS/trehalose components in the ZooMAb formulation can have the appearance of a semi-solid (bead like gel) after lyophilization. This is a normal phenomenon. Please follow the recommended reconstitution procedure in the data sheet to dissolve the semi-solid, bead-like, gel-appearing material. The resulting antibody solution is completely stable and functional as proven by full functional testing. Contains no biocide or preservatives, such as azide, or any animal by-products. Larger pack sizes provided as multiples of 25 µL.

Preparation Note

Recommend storage of lyophilized product at 2-8°C; Before reconstitution, micro-centrifuge vials briefly to spin down material to bottom of the vial; Reconstitute each vial by adding 25 µL of filtered lab grade water or PBS; Reconstituted antibodies can be stored at 2-8°C, or -20°C for long term storage. Avoid repeated freeze-thaws.
Reconstitute lyophilized antibody pellet with 25μL of ultrapure water or Phosphate Buffered Saline (PBS). Please refer to our reconstitution protocol and the specific application guidance on the suggested starting dilutions and sample type.

Legal Information

ZooMAb is a registered trademark of Merck KGaA, Darmstadt, Germany

Disclaimer

Unless otherwise stated in our catalog or other company documentation accompanying the product(s), our products are intended for research use only and are not to be used for any other purpose, which includes but is not limited to, unauthorized commercial uses, in vitro diagnostic uses, ex vivo or in vivo therapeutic uses or any type of consumption or application to humans or animals.


Still not finding the right product?

试用我们的 产品选型工具 工具缩小选择范围


存储类别

11 - Combustible Solids

wgk

WGK 1

flash_point_f

Not applicable

flash_point_c

Not applicable

法规信息

常规特殊物品

此项目有



历史批次信息供参考:

分析证书(COA)

Lot/Batch Number

没有发现合适的版本?

如果您需要特殊版本,可通过批号或批次号查找具体证书。

已有该产品?

在文件库中查找您最近购买产品的文档。

访问文档库



全球贸易项目编号

货号GTIN
ZMS1130-25UL04065269108931
ZMS1130-4X25UL04065269108948