biological source
mouse
Quality Level
recombinant
expressed in HEK 293 cells
conjugate
unconjugated
antibody form
purified antibody
antibody product type
primary antibodies
clone
V152, recombinant monoclonal
description
recombinant, expressed in HEK 293 cells
product line
ZooMAb® learn more
form
lyophilized
mol wt
calculated mol wt 48.06 kDa, observed mol wt ~53 kDa
purified by
using protein G
species reactivity
mouse, rat, human
species reactivity (predicted by homology)
hamster
packaging
antibody small pack of 25
greener alternative product characteristics
Waste Prevention
Designing Safer Chemicals
Design for Energy Efficiency
Learn more about the Principles of Green Chemistry.
enhanced validation
recombinant expression
Learn more about Antibody Enhanced Validation
sustainability
Greener Alternative Product
technique(s)
immunocytochemistry: suitable, immunohistochemistry: suitable, western blot: suitable
isotype
IgG1κ
Protein ID accession no.
UniProt accession no.
greener alternative category
shipped in
ambient
storage temp.
2-8°C
Gene Information
hamster ... CCNB1(100770842)
General description
G2/mitotic-specific cyclin-B1 (UniProt: Q08301) is encoded by the CCNB1 (also known as CCNB) gene (Gene ID: 100770842 ) in hamster. Cyclin B1 is a regulatory protein that is part of the cyclin family, characterized by a conserved cyclin box domain. This domain is essential for its interaction with cyclin-dependent kinases (CDKs), particularly CDK1. Cyclin B1 is crucial for the control of the cell cycle at the G2/M transition. It forms a complex with CDK1, creating the maturation-promoting factor (MPF), which is essential for the initiation of mitosis. This complex phosphorylates various substrates necessary for mitotic entry, including components of the nuclear envelope, microtubule-associated proteins, and other kinases involved in mitosis. The expression of Cyclin B1 is tightly regulated by the cell cycle. It is low in G1 phase, begins to accumulate in S phase, peaks in G2/M phase, and rapidly degrades as cells exit mitosis. Cyclin B1 is primarily localized in the cytoplasm during interphase and early prophase. As cells progress through the cell cycle, Cyclin B1 begins to accumulate in the nucleus, reaching peak nuclear localization during the G2/M transition. Overexpression of Cyclin B1 is associated with increased cell proliferation and is frequently observed in cancers. Such overexpression can lead to abnormal mitotic entry, genomic instability, and aneuploidy, contributing to cancer progression and poor prognosis. This ZooMAb® recombinant monoclonal antibody, generated by our proprietary technology, offers significantly enhanced specificity, affinity, reproducibility, and stability over conventional monoclonals.
We are committed to bringing you greener alternative products, which adhere to one or more of the 12 Principles of Green Chemistry. This antibody is preservative-free, produced without the harm or sacrifice of animals and exceptionally stable to allow for ambient shipping and storage if needed, and thus aligns with "Waste Prevention", "Designing Safer Chemicals" and "Design for Energy Efficiency". Click here for more information.
ZooMAb® antibodies represent an entirely new generation of recombinant monoclonal antibodies. Each ZooMAb® antibody is manufactured using our proprietary recombinant expression system, purified to homogeneity, and precisely dispensed to produce robust and highly reproducible lot-to-lot consistency. Only top-performing clones are released for use by researchers. Each antibody is validated for high specificity and affinity across multiple applications, including its most commonly used application. ZooMAb® antibodies are reliably available and ready to ship when you need them.
Immunogen
His-tagged hamster Cyclin B1.
Application
Quality Control Testing
Evaluated by Western Blotting in HeLa cell lysate.
Western Blotting Analysis: A 1:1,000 dilution of this antibody detected Cyclin B1 protein in HeLa cell lysate.
Tested Applications
Western Blotting Analysis: A 1:1,000 dilution from a representative lot detected Cyclin B1 in lysate from NIH/3T3 cells.
Immunocytochemistry Analysis: A 1:100 dilution from a representative lot detected Cyclin B1 in HeLa cells.
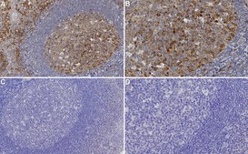
Immunohistochemistry (Paraffin) Analysis: A 1:1,000 dilution from a representative lot detected Cyclin B1 in human tonsil tissue sections.
Note: Actual optimal working dilutions must be determined by end user as specimens, and experimental conditions may vary with the end user.
Evaluated by Western Blotting in HeLa cell lysate.
Western Blotting Analysis: A 1:1,000 dilution of this antibody detected Cyclin B1 protein in HeLa cell lysate.
Tested Applications
Western Blotting Analysis: A 1:1,000 dilution from a representative lot detected Cyclin B1 in lysate from NIH/3T3 cells.
Immunocytochemistry Analysis: A 1:100 dilution from a representative lot detected Cyclin B1 in HeLa cells.
Immunohistochemistry (Paraffin) Analysis: A 1:1,000 dilution from a representative lot detected Cyclin B1 in human tonsil tissue sections.
Note: Actual optimal working dilutions must be determined by end user as specimens, and experimental conditions may vary with the end user.
Biochem/physiol Actions
Clone V152 is a ZooMAb® mouse monoclonal antibody that detects Cyclin B1. It targets an epitope within the Cyclin B1 protein.
Physical form
Purified recombinant mouse monoclonal antibody IgG, lyophilized in PBS with 5% Trehalose, normal appearance a coarse or translucent resin. The PBS/trehalose components in the ZooMAb formulation can have the appearance of a semi-solid (bead like gel) after lyophilization. This is a normal phenomenon. Please follow the recommended reconstitution procedure in the data sheet to dissolve the semi-solid, bead-like, gel-appearing material. The resulting antibody solution is completely stable and functional as proven by full functional testing. Contains no biocide or preservatives, such as azide, or any animal by-products. Larger pack sizes provided as multiples of 25 µL.
Preparation Note
Recommend storage of lyophilized product at 2-8°C; Before reconstitution, micro-centrifuge vials briefly to spin down material to bottom of the vial; Reconstitute each vial by adding 25 µL of filtered lab grade water or PBS; Reconstituted antibodies can be stored at 2-8°C, or -20°C for long term storage. Avoid repeated freeze-thaws.
Reconstitute lyophilized antibody pellet with 25μL of ultrapure water or Phosphate Buffered Saline (PBS). Please refer to our reconstitution protocol and the specific application guidance on the suggested starting dilutions and sample type.
Legal Information
ZooMAb is a registered trademark of Merck KGaA, Darmstadt, Germany
Disclaimer
Unless otherwise stated in our catalog or other company documentation accompanying the product(s), our products are intended for research use only and are not to be used for any other purpose, which includes but is not limited to, unauthorized commercial uses, in vitro diagnostic uses, ex vivo or in vivo therapeutic uses or any type of consumption or application to humans or animals.
Still not finding the right product?
试用我们的 产品选型工具 工具缩小选择范围
wgk
WGK 2
存储类别
11 - Combustible Solids
flash_point_f
Not applicable
flash_point_c
Not applicable
法规信息
常规特殊物品
此项目有
全球贸易项目编号
| 货号 | GTIN |
|---|---|
| ZMS1226-4X25UL | 04065272001083 |
| ZMS1226-25UL | 04065272001076 |