跳转至内容
Merck
CN

ZMS1235

Anti-ApoB Antibody, clone MB47 ZooMAb® Mouse Monoclonal

greener alternative

recombinant, expressed in HEK 293 cells

别名:

Apolipoprotein B-100, Apolipoprotein B-48 (Apo B-48)

登录 查看组织和合同定价。

选择尺寸

变更视图

关于此项目

UNSPSC Code:
12352203
Conjugate:
unconjugated
Clone:
MB47, recombinant monoclonal
Application:
ICC, IHC, WB
Citations:
-
技术服务
需要帮助?我们经验丰富的科学家团队随时乐意为您服务。
让我们为您提供帮助


biological source

mouse

Quality Level

recombinant

expressed in HEK 293 cells

conjugate

unconjugated

antibody form

purified antibody

antibody product type

primary antibodies

clone

MB47, recombinant monoclonal

description

recombinant, expressed in HEK 293 cells

product line

ZooMAb® learn more

form

lyophilized

mol wt

calculated mol wt 515.54 kDa, observed mol wt ~515 kDa

purified by

using protein G

species reactivity

human

species reactivity (predicted by homology)

guinea pig, porcine, canine, rabbit

packaging

antibody small pack of 25

greener alternative product characteristics

Waste Prevention
Designing Safer Chemicals
Design for Energy Efficiency
Learn more about the Principles of Green Chemistry.

enhanced validation

recombinant expression
Learn more about Antibody Enhanced Validation

sustainability

Greener Alternative Product

technique(s)

immunocytochemistry: suitable, immunohistochemistry: suitable, western blot: suitable

isotype

IgG2aκ

Protein ID accession no.

UniProt accession no.

greener alternative category

shipped in

ambient

storage temp.

2-8°C

Gene Information

human ... APOB(338)

General description

Apolipoprotein B-100 (UniProt: P04114; also known as Apo B-100, Apolipoprotein B-100, Apolipoprotein B-48 (Apo B-48)) is encoded by the APOB gene (Gene ID: 338) in human. Apolipoprotein B-100 (ApoB) is a crucial protein involved in lipid metabolism and is primarily found in the liver. ApoB is a large glycoprotein consisting of several functional domains, including the N-terminal β 1 region, the β-barrel domain, the -helical domain, and the C-terminal β 2 domain. The C-terminal domain is responsible for binding to LDL receptors. ApoB plays a significant role in the assembly and secretion of triglyceride-rich lipoproteins, such as very low-density lipoproteins (VLDL) and low-density lipoproteins (LDL). It functions as the structural component of VLDL and LDL particles, providing stability and aiding in lipid transport. ApoB also acts as a ligand for LDL receptors, facilitating the uptake of cholesterol-rich particles by various cells, including hepatocytes and peripheral tissues. The APOB gene is primarily expressed in the liver, where it is synthesized and secreted. It is also present in the intestine, where it is involved in the synthesis and secretion of chylomicrons. Mutations in the APOB gene can lead to various lipid metabolism disorders, including familial defective apolipoprotein B-100 (FDB), familial hypercholesterolemia (FH), and familial ligand-defective apolipoprotein B-100 (FLDB). These conditions are characterized by impaired clearance of LDL from the bloodstream, resulting in elevated LDL cholesterol levels and an increased risk of cardiovascular disease. APOB mutations can also cause abetalipoproteinemia, a rare autosomal recessive disorder characterized by the inability to produce functional APOB, leading to malabsorption of dietary fat and fat-soluble vitamins. This ZooMAb® recombinant monoclonal antibody, generated by our propriety technology, offers significantly enhanced specificity, affinity, reproducibility, and stability over conventional monoclonals.
We are committed to bringing you greener alternative products, which adhere to one or more of the 12 Principles of Green Chemistry. This antibody is preservative-free, produced without the harm or sacrifice of animals and exceptionally stable to allow for ambient shipping and storage if needed, and thus aligns with "Waste Prevention", "Designing Safer Chemicals" and "Design for Energy Efficiency". Click here for more information.
ZooMAb® antibodies represent an entirely new generation of recombinant monoclonal antibodies. Each ZooMAb® antibody is manufactured using our proprietary recombinant expression system, purified to homogeneity, and precisely dispensed to produce robust and highly reproducible lot-to-lot consistency. Only top-performing clones are released for use by researchers. Each antibody is validated for high specificity and affinity across multiple applications, including its most commonly used application. ZooMAb® antibodies are reliably available and ready to ship when you need them.

Immunogen

Human LDL protein isolated from one donor.

Application

Quality Control Testing

Evaluated by Western Blotting in HepG2 cell lysate.

Western Blotting Analysis: A 1:1,000 dilution of this antibody detected ApoB in HepG2 cell lysate.

Tested Applications

Western Blotting Analysis: A 1:1,000 dilution from a representative lot detected ApoB in human plasma lysates.

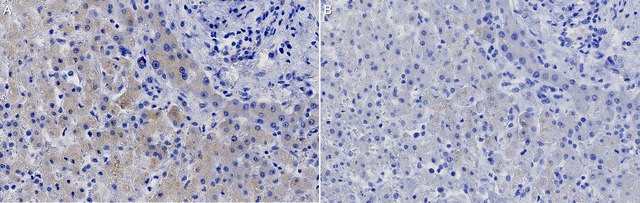
Immunohistochemistry (Paraffin) Analysis: A 1:100 dilution from a representative lot detected ApoB in human liver tissue sections.

Immunocytochemistry Analysis: A 1:100 dilution from a representative lot detected ApoB in HepG2 cells.

Note: Actual optimal working dilutions must be determined by end user as specimens, and experimental conditions may vary with the end user.

Biochem/physiol Actions

Clone MB47 is a ZooMAb® mouse recombinant monoclonal antibody that detects ApoB. It targets an epitope within the LDL-receptor domain of the ApoB.

Physical form

Purified recombinant mouse monoclonal antibody IgG, lyophilized in PBS with 5% Trehalose, normal appearance a coarse or translucent resin. The PBS/trehalose components in the ZooMAb formulation can have the appearance of a semi-solid (bead like gel) after lyophilization. This is a normal phenomenon. Please follow the recommended reconstitution procedure in the data sheet to dissolve the semi-solid, bead-like, gel-appearing material. The resulting antibody solution is completely stable and functional as proven by full functional testing. Contains no biocide or preservatives, such as azide, or any animal by-products. Larger pack sizes provided as multiples of 25 µL.

Preparation Note

Recommend storage of lyophilized product at 2-8°C; Before reconstitution, micro-centrifuge vials briefly to spin down material to bottom of the vial; Reconstitute each vial by adding 25 µL of filtered lab grade water or PBS; Reconstituted antibodies can be stored at 2-8°C, or -20°C for long term storage. Avoid repeated freeze-thaws.
Reconstitute lyophilized antibody pellet with 25μL of ultrapure water or Phosphate Buffered Saline (PBS). Please refer to our reconstitution protocol and the specific application guidance on the suggested starting dilutions and sample type.

Legal Information

ZooMAb is a registered trademark of Merck KGaA, Darmstadt, Germany

Disclaimer

Unless otherwise stated in our catalog or other company documentation accompanying the product(s), our products are intended for research use only and are not to be used for any other purpose, which includes but is not limited to, unauthorized commercial uses, in vitro diagnostic uses, ex vivo or in vivo therapeutic uses or any type of consumption or application to humans or animals.


Still not finding the right product?

试用我们的 产品选型工具 工具缩小选择范围


存储类别

11 - Combustible Solids

wgk

WGK 2

flash_point_f

Not applicable

flash_point_c

Not applicable

法规信息

常规特殊物品

此项目有



历史批次信息供参考:

分析证书(COA)

Lot/Batch Number

It looks like we've run into a problem, but you can still download Certificates of Analysis from our 文件 section.

如需帮助,请联系 客户支持

已有该产品?

在文件库中查找您最近购买产品的文档。

访问文档库



全球贸易项目编号

货号GTIN
ZMS1235-25UL04065271284579
ZMS1235-4X25UL04065271284586