biological source
mouse
Quality Level
recombinant
expressed in HEK 293 cells
conjugate
unconjugated
antibody form
purified antibody
antibody product type
primary antibodies
clone
5G6.1, recombinant monoclonal
description
recombinant, expressed in HEK 293 cells
product line
ZooMAb® learn more
form
lyophilized
mol wt
calculated mol wt 195.46 kDa, observed mol wt ~130-200 kDa
purified by
using protein G
species reactivity
human, rat
packaging
antibody small pack of 25
enhanced validation
recombinant expression
Learn more about Antibody Enhanced Validation
technique(s)
immunocytochemistry: suitable, immunofluorescence: suitable, immunohistochemistry: suitable, western blot: suitable
isotype
IgG2aκ
epitope sequence
Internal
Protein ID accession no.
UniProt accession no.
shipped in
ambient
storage temp.
2-8°C
Gene Information
human ... TJP1(7082)
General description
ZooMAb® antibodies represent an entirely new generation of recombinant monoclonal antibodies. Each ZooMAb® antibody is manufactured using our proprietary recombinant expression system, purified to homogeneity, and precisely dispensed to produce robust and highly reproducible lot-to-lot consistency. Only top-performing clones are released for use by researchers. Each antibody is validated for high specificity and affinity across multiple applications, including its most commonly used application. ZooMAb® antibodies are reliably available and ready to ship when you need them.
Tight junction protein ZO-1 (UniProt: Q07157; also known as Tight junction protein 1, Zona occludens protein 1, Zonula occludens protein 1) is encoded by the TJP1 (also known as ZO1) gene (Gene ID: 7082) in human. TJP1, TJP2, and TJP3 (ZO-1, ZO-2, and ZO-3) are closely related scaffolding proteins that link tight junction (TJ) transmembrane proteins to the actin cytoskeleton. The tight junction acts to limit movement of substances through the paracellular space and as a boundary between the compositionally distinct apical and basolateral plasma membrane domains of epithelial and endothelial cells. ZO-1 is a homodimeric peripheral membrane protein that can also form heterodimers with TJP2 and TJP2 via its PDZ2 domain (aa 296-264). ZO-1 is reported to be essential for lumenogenesis and for efficient epithelial polarization and barrier formation. It also plays a role in podosome formation and associated functions, thus regulating cell adhesion and matrix remodeling. At podosome sites, it is predominantly localized in the ring structure surrounding the actin core. Two isoforms of ZO-1 have been described. The long isoform is found in most epithelial junction and the short isoform that lacks amino acids 922-1001 is found both in epithelial cells and in epithelial junctions of renal glomeruli and Sertoli cells of seminiferous tubules. Clone 5G6.1 is validated for use in Western Blotting, Immunocytochemistry, Immunohistochemistry, and Immunofluorescence analysis of human liver and human iPSC-derived liver organoid for the detection of ZO-1. This ZooMAb® recombinant monoclonal antibody, generated by our proprietary technology, offers significantly enhanced specificity, affinity, reproducibility, and stability over conventional monoclonals.
Tight junction protein ZO-1 (UniProt: Q07157; also known as Tight junction protein 1, Zona occludens protein 1, Zonula occludens protein 1) is encoded by the TJP1 (also known as ZO1) gene (Gene ID: 7082) in human. TJP1, TJP2, and TJP3 (ZO-1, ZO-2, and ZO-3) are closely related scaffolding proteins that link tight junction (TJ) transmembrane proteins to the actin cytoskeleton. The tight junction acts to limit movement of substances through the paracellular space and as a boundary between the compositionally distinct apical and basolateral plasma membrane domains of epithelial and endothelial cells. ZO-1 is a homodimeric peripheral membrane protein that can also form heterodimers with TJP2 and TJP2 via its PDZ2 domain (aa 296-264). ZO-1 is reported to be essential for lumenogenesis and for efficient epithelial polarization and barrier formation. It also plays a role in podosome formation and associated functions, thus regulating cell adhesion and matrix remodeling. At podosome sites, it is predominantly localized in the ring structure surrounding the actin core. Two isoforms of ZO-1 have been described. The long isoform is found in most epithelial junction and the short isoform that lacks amino acids 922-1001 is found both in epithelial cells and in epithelial junctions of renal glomeruli and Sertoli cells of seminiferous tubules. Clone 5G6.1 is validated for use in Western Blotting, Immunocytochemistry, Immunohistochemistry, and Immunofluorescence analysis of human liver and human iPSC-derived liver organoid for the detection of ZO-1. This ZooMAb® recombinant monoclonal antibody, generated by our proprietary technology, offers significantly enhanced specificity, affinity, reproducibility, and stability over conventional monoclonals.
Immunogen
GST-tagged recombinant protein fragment corresponding to 221 amino acids from the internal region of human ZO-1.
Application
Quality Control Testing
Evaluated by Western Blotting in human renal adenocarcinoma (ACHN) cell lysate.
Western Blotting Analysis: A 1:10,000 dilution of this antibody detected ZO-1 in human renal adenocarcinoma (ACHN) cell lysate.
Tested Applications
Immunofluorescence Analysis: A 1:100 dilution from a representative lot detected ZO-1 in human liver, iPSC-derived liver progenitor, and in mature liver organoid tissue sections.
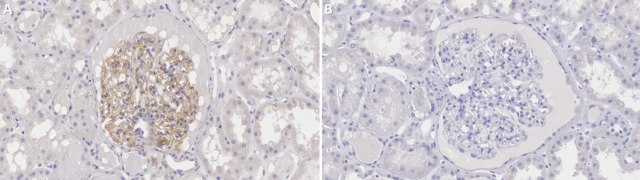
Immunohistochemistry (Paraffin) Analysis: A 1:100 dilution from a representative lot detected ZO-1 in human and rat kidney tissue sections.
Immunocytochemistry Analysis: A 1:1,000 dilution from a representative lot detected ZO-1 in ACHN cells.
Note: Actual optimal working dilutions must be determined by end user as specimens, and experimental conditions may vary with the end user.
Evaluated by Western Blotting in human renal adenocarcinoma (ACHN) cell lysate.
Western Blotting Analysis: A 1:10,000 dilution of this antibody detected ZO-1 in human renal adenocarcinoma (ACHN) cell lysate.
Tested Applications
Immunofluorescence Analysis: A 1:100 dilution from a representative lot detected ZO-1 in human liver, iPSC-derived liver progenitor, and in mature liver organoid tissue sections.
Immunohistochemistry (Paraffin) Analysis: A 1:100 dilution from a representative lot detected ZO-1 in human and rat kidney tissue sections.
Immunocytochemistry Analysis: A 1:1,000 dilution from a representative lot detected ZO-1 in ACHN cells.
Note: Actual optimal working dilutions must be determined by end user as specimens, and experimental conditions may vary with the end user.
Biochem/physiol Actions
Clone 5G6.1 is a ZooMAb® recombinant mouse monoclonal antibody that specifically detects ZO-1. It targets an epitope within 221 amino acids from the internal region.
Physical form
Purified recombinant mouse monoclonal antibody IgG, lyophilized in PBS with 5% Trehalose, normal appearance a coarse or translucent resin. The PBS/trehalose components in the ZooMAb formulation can have the appearance of a semi-solid (bead like gel) after lyophilization. This is a normal phenomenon. Please follow the recommended reconstitution procedure in the data sheet to dissolve the semi-solid, bead-like, gel-appearing material. The resulting antibody solution is completely stable and functional as proven by full functional testing. Contains no biocide or preservatives, such as azide, or any animal by-products. Larger pack sizes provided as multiples of 25 µL.
Preparation Note
300 µg/mL after reconstitution at 25 µL per vial. Please refer to guidance on suggested starting dilutions and/or titers per application and sample type.
Recommend storage of lyophilized product at 2-8°C; Before reconstitution, micro-centrifuge vials briefly to spin down material to bottom of the vial; Reconstitute each vial by adding 25 µL of filtered lab grade water or PBS; Reconstituted antibodies can be stored at 2-8°C, or -20°C for long term storage. Avoid repeated freeze-thaws.
Legal Information
ZooMAb is a registered trademark of Merck KGaA, Darmstadt, Germany
Disclaimer
Unless otherwise stated in our catalog or other company documentation accompanying the product(s), our products are intended for research use only and are not to be used for any other purpose, which includes but is not limited to, unauthorized commercial uses, in vitro diagnostic uses, ex vivo or in vivo therapeutic uses or any type of consumption or application to humans or animals.
Still not finding the right product?
试用我们的 产品选型工具 工具缩小选择范围
存储类别
11 - Combustible Solids
flash_point_f
Not applicable
flash_point_c
Not applicable
法规信息
新产品
此项目有
全球贸易项目编号
| 货号 | GTIN |
|---|---|
| ZMS1539-25UL | 04065273706741 |
| ZMS1539-4X25UL | 04065273706758 |