biological source
rabbit
Quality Level
recombinant
expressed in HEK 293 cells
conjugate
unconjugated
antibody form
purified antibody
antibody product type
primary antibodies
clone
3B23, recombinant monoclonal, monoclonal
product line
ZooMAb® learn more
form
lyophilized
mol wt
calculated mol wt 65.41 kDa, observed mol wt ~58 kDa
species reactivity
rat, mouse, human
packaging
antibody small pack of 25 μL
greener alternative product characteristics
Waste Prevention
Designing Safer Chemicals
Design for Energy Efficiency
Learn more about the Principles of Green Chemistry.
enhanced validation
recombinant expression
Learn more about Antibody Enhanced Validation
sustainability
Greener Alternative Product
technique(s)
affinity binding assay: suitable, immunocytochemistry: suitable, immunofluorescence: suitable, immunohistochemistry: suitable, western blot: suitable
UniProt accession no.
greener alternative category
, Aligned
shipped in
ambient
storage temp.
2-8°C
target post-translational modification
unmodified
Gene Information
human ... GAD2(2572)
General description
We are committed to bringing you greener alternative products, which adhere to one or more of The 12 Principles of Green Chemistry.This antibody is Preservative-free, produced without the harm or sacrifice of animals and exceptionally stable to allow for ambient shipping and storage if needed and thus aligns with "Waste Prevention", "Designing Safer Chemicals" and "Design for Energy Efficiency". Click here for more information.
Glutamate decarboxylase 2 (UniProt: Q05329; also known as EC:4.1.1.15, 65 kDa glutamic acid decarboxylase, GAD-65, Glutamate decarboxylase 65 kDa isoform) is encoded by the GAD2 (GAD65) gene (Gene ID: 2572) in human. GAD-65 a homodimeric peripheral membrane protein that is associated to cytoplasmic vesicles. It is produced primarily by pancreatic islet cells. It is expressed in human β cells; however, some expression has also been observed in and cells of islets. It is shown to be a major target autoantigen in type 1A diabetes. In neurons, it is present in cytosolic leaflet of Golgi membranes and presynaptic clusters. It is responsible for the conversion of glutamic acid to gamma-aminobutyric acid (GABA), the major inhibitory transmitter in higher brain regions. Two molecular forms of GAD have been described (65 kDa and 67 kDa) that display 64% amino acid homology and both forms are expressed in the CNS, pancreatic islet cells, testis, oviduct, and ovary. Between the two isoforms, GAD67 is responsible for over 90% of basal GABA synthesis and is produced at limiting levels in the brain. This ZooMAb recombinant monoclonal antibody, generated by our propriety technology, offers significantly enhanced specificity, affinity, reproducibility, and stability over conventional monoclonals.
ZooMAb antibodies represent an entirely new generation of recombinant monoclonal antibodies.
Each ZooMAb antibody is manufactured using our proprietary recombinant expression system, purified to homogeneity, and precisely dispensed to produce robust and highly reproducible lot-to-lot consistency. Only top-performing clones are released for use by researchers. Each antibody is validated for high specificity and affinity across multiple applications, including its most commonly used application. ZooMAb antibodies are reliably available and ready to ship when you need them.
Learn more about ZooMAb here.
Each ZooMAb antibody is manufactured using our proprietary recombinant expression system, purified to homogeneity, and precisely dispensed to produce robust and highly reproducible lot-to-lot consistency. Only top-performing clones are released for use by researchers. Each antibody is validated for high specificity and affinity across multiple applications, including its most commonly used application. ZooMAb antibodies are reliably available and ready to ship when you need them.
Learn more about ZooMAb here.
Immunogen
KLH-conjugated linear peptide corresponding to 17 amino acids from the C-terminal region of human Glutamate decarboxylase 2 (GAD65).
Application
Anti-GAD65, clone 3B23 ZooMAb, Cat. No. ZRB1091, is a recombinant Rabbit monoclonal antibody that targets GAD65 and is tested for use in Affinity Binding Assay, Immunocytochemistry, Immunofluorescence, Immunohistochemistry, and Western Blotting.
Western Blotting Analysis: A 1:1,000 dilution from a representative lot detected GAD65 human and mouse brain tissue lysates.
Immunofluorescence Analysis: A 1:100 dilution from a representative lot detected GAD65 in rat cerebellum tissue sections.
Affinity Binding Assay:: A representative lot of this antibody bound human GAD65 peptide with a KD of 1 x 10-12 in an affinity binding assay.
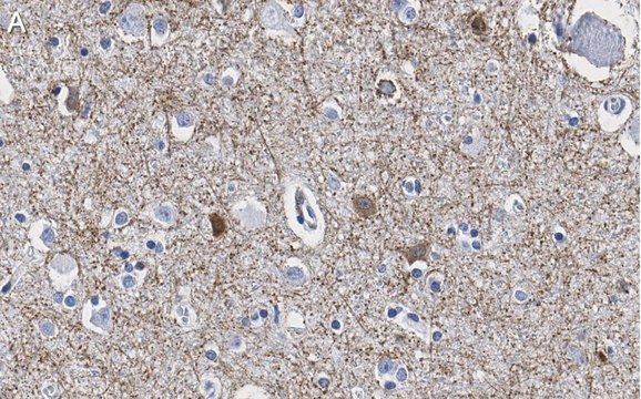
Immunohistochemistry (Paraffin) Analysis: A 1:10-100 dilution from a representative lot detected GAD65 in human brain and rat brain tissue sections.
Immunocytochemistry Analysis: A 1:100 dilution from a representativelot detected GAD65 in Neuro-2a cells.
Note: Actual optimal working dilutions must be determined by end user as specimens, and experimental conditions may vary with the end user
Immunofluorescence Analysis: A 1:100 dilution from a representative lot detected GAD65 in rat cerebellum tissue sections.
Affinity Binding Assay:: A representative lot of this antibody bound human GAD65 peptide with a KD of 1 x 10-12 in an affinity binding assay.
Immunohistochemistry (Paraffin) Analysis: A 1:10-100 dilution from a representative lot detected GAD65 in human brain and rat brain tissue sections.
Immunocytochemistry Analysis: A 1:100 dilution from a representativelot detected GAD65 in Neuro-2a cells.
Note: Actual optimal working dilutions must be determined by end user as specimens, and experimental conditions may vary with the end user
Biochem/physiol Actions
Clone 2B23 is a ZooMAb rabbit recombinant monoclonal antibody that specifically detects Glutamate decarboxylase 2 (GAD65). It targets an epitope within 17 amino acids from the C-terminal region.
Physical form
Purified recombinant rabbit monoclonal antibody IgG, lyophilized in PBS, 5% Trehalose, normal appearance a coarse or translucent resin. Contains no biocide or preservatives, such as azide, or any animal by-products. Larger pack sizes provided as multiples of 25 μL.
Preparation Note
Recommend storage of lyophilized product at 2-8°C; Before reconstitution, micro-centrifuge vials briefly to spin down material to bottom of the vial; Reconstitute each vial by adding 25 μL of filtered lab grade water or PBS; Reconstituted antibodies can be stored at 2-8°C, or -20°C for long term storage. Avoid repeated freeze-thaws.
Reconstitute lyophilized antibody pellet with 25μL of ultrapure water or Phosphate Buffered Saline (PBS). Please refer to our reconstitution protocol and the specific application guidance on the suggested starting dilutions and sample type.
Legal Information
ZooMAb is a registered trademark of Merck KGaA, Darmstadt, Germany
Disclaimer
Unless otherwise stated in our catalog or other company documentation accompanying the product(s), our products are intended for research use only and are not to be used for any other purpose, which includes but is not limited to, unauthorized commercial uses, in vitro diagnostic uses, ex vivo or in vivo therapeutic uses or any type of consumption or application to humans or animals.
Still not finding the right product?
试用我们的 产品选型工具 工具缩小选择范围
存储类别
11 - Combustible Solids
wgk
WGK 1
法规信息
常规特殊物品
常规特殊物品
此项目有
全球贸易项目编号
| 货号 | GTIN |
|---|---|
| ZRB1091-25UL | 04061842447497 |
| ZRB1091-4X25UL | 04061842447503 |