跳转至内容
Merck
CN

ZRB1103

Anti-Bax Antibody, clone 1C7, ZooMAb® Rabbit Monoclonal

greener alternative

recombinant, expressed in HEK 293 cells

登录 查看组织和合同定价。

选择尺寸

变更视图

关于此项目

NACRES:
NA.41
UNSPSC Code:
12352203
Conjugate:
unconjugated
Clone:
1C7, recombinant monoclonal
Application:
ICC, IF, IHC (p), WB
Citations:
-
技术服务
需要帮助?我们经验丰富的科学家团队随时乐意为您服务。
让我们为您提供帮助


biological source

rabbit (recombinant)

Quality Level

recombinant

expressed in HEK 293 cells

conjugate

unconjugated

antibody form

purified antibody

antibody product type

primary antibodies

clone

1C7, recombinant monoclonal

product line

ZooMAb® learn more

form

lyophilized

mol wt

calculated mol wt 21.18 kDa, observed mol wt ~21 kDa

species reactivity

human

packaging

antibody small pack of 25 μL

greener alternative product characteristics

Waste Prevention
Designing Safer Chemicals
Design for Energy Efficiency
Learn more about the Principles of Green Chemistry.

enhanced validation

recombinant expression
Learn more about Antibody Enhanced Validation

sustainability

Greener Alternative Product

technique(s)

immunocytochemistry: suitable, immunofluorescence: suitable, immunohistochemistry (formalin-fixed, paraffin-embedded sections): suitable, western blot: suitable (peptide)

isotype

IgG

UniProt accession no.

greener alternative category

shipped in

ambient

storage temp.

2-8°C

target post-translational modification

unmodified

Gene Information

human ... BAX(581)

General description

Apoptosis regulator BAX (UniProt: Q07812; also known as Bcl-2-like protein 4, Bcl2-L-4, Bax) is encoded by the BAX (also known as BCL2L4) gene (Gene ID: 581) in human. Bax is single-pass membrane protein located on the mitochondrion outer membrane. It is a pro-apoptotic member of the Bcl-2 family of proteins. It displays extensive homology with Bcl-2 and is variably expressed in different cells, usually at very low concentrations in normal cells. Under normal conditions, Bax is largely cytosolic via constant retro-translocation from mitochondria to the cytosol that is helpful in avoiding its accumulation at the mitochondrial outer membrane. Upon induction of apoptosis, Bax undergoes a conformational change and translocates from cytosol to mitochondrial membrane. Bax forms homodimers as well as heterodimers with Bcl-2 through common binding motif and the ratio of Bax to Bcl-2 determines the survival or death of cells during apoptosis. Bax is reported to interact with, and increase the opening of, the mitochondrial voltage-dependent anion channel (VDAC), which leads to the loss in membrane potential and the release of cytochrome c. Bax contains 3 BH motifs (BH3: aa 59-73; BH1: aa 98-118; BH2: aa 150-165) and intact BH3 motif is shown to be required by BIK, BID, BAK, BAD and BAX for their pro-apoptotic activity and for their interaction with anti-apoptotic members of the Bcl-2 family. Eight different isoforms of Bax have been described that are produced by alternative splicing. It is pressed in a wide variety of tissues. Isoform alpha is expressed in spleen, breast, ovary, testis, colon and brain, and at low levels in skin and lung. Isoform Sigma is expressed in spleen, breast, ovary, testis, lung, colon, brain and at low levels in skin. Isoform Psi is found in glial tumors. This ZooMAb recombinant monoclonal antibody, generated by our propriety technology, offers significantly enhanced specificity, affinity, reproducibility, and stability over conventional monoclonals.
We are committed to bringing you greener alternative products, which adhere to one or more of The 12 Principles of Green Chemistry.This antibody is Preservative-free, produced without the harm or sacrifice of animals and exceptionally stable to allow for ambient shipping and storage if needed and thus aligns with "Waste Prevention", "Designing Safer Chemicals" and "Design for Energy Efficiency". Click here for more information.
ZooMAb antibodies represent an entirely new generation of recombinant monoclonal antibodies.

Each ZooMAb antibody is manufactured using our proprietary recombinant expression system, purified to homogeneity, and precisely dispensed to produce robust and highly reproducible lot-to-lot consistency. Only top-performing clones are released for use by researchers. Each antibody is validated for high specificity and affinity across multiple applications, including its most commonly used application. ZooMAb antibodies are reliably available and ready to ship when you need them.

Learn more about ZooMAb here.

Immunogen

KLH-conjugated linear peptide corresponding to 20 amino acids from the N-terminal region of human Apoptosis regulator BAX.

Application

Anti-Bax, clone 1C7 ZooMAb, Cat. No. ZRB1103, is a recombinant rabbit monoclonal antibody that specifically targets Bax and has been tested for use in Immunocytochemistry, Immunofluorescence, Immunohistochemistry (Paraffin), and Western Blotting.
Immunocytochemistry Analysis: A 1:1,000 dilution from a representative lot detected Bax in MCF7 cells treated with Etoposide (50 uM 6 h).

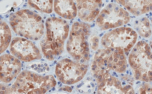
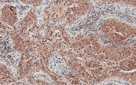
Immunohistochemistry (Paraffin) Analysis: A 1:100 dilution from a representative lot detected Bax in human kidney and human lung cancer tissue sections.

Immunofluorescence Analysis: A 1:100 dilution from a representative lot detected Bax in human kidney tissue sections.

Note: Actual optimal working dilutions must be determined by end user as specimens, and experimental conditions may vary with the end user.

Biochem/physiol Actions

Clone 1C7 ZooMAb is a rabbit recombinant monoclonal antibody that specifically detects human Apoptosis regulator BAX. It targets an epitope within 20 amino acids from the N-terminal region.

Physical form

Purified recombinant rabbit monoclonal antibody IgG, lyophilized in PBS with 5% Trehalose. Normal appearance is a coarse or translucent resin. Contains no biocide or preservatives, such as azide, or any animal by-products. Larger pack sizes provided as multiples of 25 μL.

Preparation Note

Recommend storage of lyophilized product at 2-8°C; Before reconstitution, micro-centrifuge vials briefly to spin down material to bottom of the vial; Reconstitute each vial by adding 25 μL of filtered lab grade water or PBS; Reconstituted antibodies can be stored at 2-8°C, or -20°C for long term storage. Avoid repeated freeze-thaws.
Reconstitute lyophilized antibody pellet with 25μL of ultrapure water or Phosphate Buffered Saline (PBS). Please refer to our reconstitution protocol and the specific application guidance on the suggested starting dilutions and sample type.

Legal Information

ZooMAb is a registered trademark of Merck KGaA, Darmstadt, Germany

Disclaimer

Unless otherwise stated in our catalog or other company documentation accompanying the product(s), our products are intended for research use only and are not to be used for any other purpose, which includes but is not limited to, unauthorized commercial uses, in vitro diagnostic uses, ex vivo or in vivo therapeutic uses or any type of consumption or application to humans or animals.


Still not finding the right product?

试用我们的 产品选型工具 工具缩小选择范围


存储类别

11 - Combustible Solids

wgk

WGK 2

flash_point_f

Not applicable

flash_point_c

Not applicable

法规信息

常规特殊物品

此项目有



历史批次信息供参考:

分析证书(COA)

Lot/Batch Number

没有发现合适的版本?

如果您需要特殊版本,可通过批号或批次号查找具体证书。

已有该产品?

在文件库中查找您最近购买产品的文档。

访问文档库


商品

Learn about the hallmarks of cancer and find reliable ZooMAb® recombinant antibodies to study them, conveniently organized by cancer hallmark.