跳转至内容
Merck
CN

ZRB1192

Anti-Integrin αVβ8 Antibody, clone EM13309 , ZooMAb® Rabbit Monoclonal

greener alternative

recombinant, expressed in HEK 293 cells

别名:

Fibronectin Receptor

登录 查看组织和合同定价。

选择尺寸

变更视图

关于此项目

NACRES:
NA.43
UNSPSC Code:
12352203
Conjugate:
unconjugated
Clone:
EM13309, recombinant monoclonal
Application:
FACS, ICC, IHC, WB
Citations:
-
技术服务
需要帮助?我们经验丰富的科学家团队随时乐意为您服务。
让我们为您提供帮助


biological source

rabbit (recombinant)

Quality Level

recombinant

expressed in HEK 293 cells

conjugate

unconjugated

antibody form

purified antibody

antibody product type

primary antibodies

clone

EM13309, recombinant monoclonal

product line

ZooMAb® learn more

form

lyophilized

mol wt

calculated mol wt 116.04 kDa, calculated mol wt 85.63  MDa

species reactivity

human

packaging

antibody small pack of 25 μL

greener alternative product characteristics

Waste Prevention
Designing Safer Chemicals
Design for Energy Efficiency
Learn more about the Principles of Green Chemistry.

enhanced validation

recombinant expression
Learn more about Antibody Enhanced Validation

sustainability

Greener Alternative Product

technique(s)

flow cytometry: suitable, immunocytochemistry: suitable, immunohistochemistry: suitable, western blot: suitable

isotype

IgG

UniProt accession no.

greener alternative category

shipped in

ambient

storage temp.

2-8°C

target post-translational modification

unmodified

Gene Information

human ... ITGAV(3685)

General description

Integrin alphaV beta8 (UniProt: P06756/ P26012; also known as Fibronectin receptor) are encoded by the ITGAV:ITGB8 genes (Gene ID: 3685/369) in human. Integrins are heterodimeric cell surface receptors composed of a variable alpha subunit and a conserved beta subunit. The exact combination of various alpha and beta subunits dictates the binding specificity of integrins to different ECM components. Integrins are not constitutively active. Activation of an integrin from low ligand-binding affinity state to high ligand-binding affinity state requires conformational change that can originate from either from their cytoplasmic or extracellular interactions. Integrin alphaV, a single-pass membrane protein, heterodimerizes with a beta subunit. The exact combination of various alpha and beta subunits dictates the binding specificity of integrins to different ECM components. Although both subunits are required for adhesion, the binding specificity primarily depends on the extracellular region of the alpha subunit. AlphaV associates with various beta subunits in a non-covalent manner. The structural and functional diversity of the integrin family are based upon the pairing abilities of the individual alpha and beta subunits. The alphaV is synthesized with a signal peptide (aa 1-30), which is subsequently cleaved off to generate the mature form. The mature form contains an extracellular domain (aa 31-992), a transmembrane domain (aa 993-1016), and a cytoplasmic domain (aa 1017-1048). Integrin beta8 is synthesized with a signal peptide (aa 1-42), which is cleaved off to produce the mature form that contains an extracellular domain (aa 43-684), a short transmembrane domain (aa 685-704), and a cytoplasmic domain (aa 705-769). Integrin alphaV beta8 (ITGAV:ITGB8) serves as a receptor for fibronectin. It recognizes the sequence R-G-D in its ligand. Clone EM13309 is shown to bind to alpha-V beta-8 with high affinity (EC50 = 10 ng/mL). It is shown to stain a subset of tumor cell lines, including ovarian carcinomas (Ovcar3; Igrov1; SKOV3) and some melanomas. This ZooMAb recombinant monoclonal antibody, generated by our propriety technology, offers significantly enhanced specificity, affinity, reproducibility, and stability over conventional monoclonals. (Ref.: Goodman, SL et al., (2012). Biol. Open. 1(4):329-340).
We are committed to bringing you greener alternative products, which adhere to one or more of The 12 Principles of Green Chemistry.This antibody is Preservative-free, produced without the harm or sacrifice of animals and exceptionally stable to allow for ambient shipping and storage if needed and thus aligns with "Waste Prevention", "Designing Safer Chemicals" and "Design for Energy Efficiency". Click here for more information.
ZooMAb antibodies represent an entirely new generation of recombinant monoclonal antibodies.

Each ZooMAb antibody is manufactured using our proprietary recombinant expression system, purified to homogeneity, and precisely dispensed to produce robust and highly reproducible lot-to-lot consistency. Only top-performing clones are released for use by researchers. Each antibody is validated for high specificity and affinity across multiple applications, including its most commonly used application. ZooMAb antibodies are reliably available and ready to ship when you need them.

Learn more about ZooMAb here.

Immunogen

Recombinant fragment corresponding to amino acids 31-987 of integrin alphaV and 43-684 of integrin beta8.

Application

Anti-Integrin alphaV beta8, clone EM13309 ZooMAb, Cat. No. ZRB1192, is a recombinant Rabbit monoclonal antibody that specifically targets human Integrin alphaV beta8 and has been tested for use in Flow Cytometry, Immunocytochemistry, and Immunohistochemistry (Paraffin).
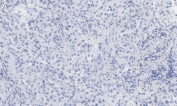
Immunohistochemistry (Paraffin) Analysis: A 1:100 dilution from a representative lot detected Integrin alphaV beta8 in human placenta tissue sections.

Flow Cytometry Analysis: 1 μg from a representative lot detected Integrin alphaV beta8 in one million HT29 cells.

Immunocytochemistry Analysis: A 1:100 dilution from a representative lot detected Integrin alphaV beta8 in HT-29 cells.

Note: Actual optimal working dilutions must be determined by the end user as specimens and experimental conditions may vary.

Biochem/physiol Actions

Clone EM13309 is a ZooMAb rabbit recombinant monoclonal antibody that specifically detects integrin alphaV beta8. It targets an epitope within the extracellular domain.

Physical form

Purified recombinant rabbit monoclonal antibody IgG, lyophilized in PBS with 5% Trehalose, normal appearance a coarse or translucent resin. Contains no biocide or preservatives, such as azide, or any animal by-products. Larger pack sizes provided as multiples of 25 μL.

Preparation Note

Reconstitute lyophilized antibody pellet with 25μL of ultrapure water or Phosphate Buffered Saline (PBS). Please refer to our reconstitution protocol and the specific application guidance on the suggested starting dilutions and sample type.
Recommend storage of lyophilized product at 2-8°C; Before reconstitution, micro-centrifuge vials briefly to spin down material to bottom of the vial; Reconstitute each vial by adding 25 μL of filtered lab grade water or PBS; Reconstituted antibodies can be stored at 2-8°C, or -20°C for long term storage. Avoid repeated freeze-thaws.

Legal Information

ZooMAb is a registered trademark of Merck KGaA, Darmstadt, Germany

Disclaimer

Unless otherwise stated in our catalog or other company documentation accompanying the product(s), our products are intended for research use only and are not to be used for any other purpose, which includes but is not limited to, unauthorized commercial uses, in vitro diagnostic uses, ex vivo or in vivo therapeutic uses or any type of consumption or application to humans or animals.


Still not finding the right product?

试用我们的 产品选型工具 工具缩小选择范围


存储类别

11 - Combustible Solids

wgk

WGK 2

法规信息

常规特殊物品
常规特殊物品

此项目有



历史批次信息供参考:

分析证书(COA)

Lot/Batch Number

没有发现合适的版本?

如果您需要特殊版本,可通过批号或批次号查找具体证书。

已有该产品?

在文件库中查找您最近购买产品的文档。

访问文档库


商品

Learn about the hallmarks of cancer and find reliable ZooMAb® recombinant antibodies to study them, conveniently organized by cancer hallmark.

相关内容

ZooMAb® Recombinant Antibody Technology





全球贸易项目编号

货号GTIN
ZRB1192-25UL04061841063155
ZRB1192-4X25UL04061841063162