跳转至内容
Merck
CN

ZRB1369

Anti-RAR-alpha Antibody, clone 3L14, ZooMAb® Rabbit Monoclonal

greener alternative

recombinant, expressed in HEK 293 cells

别名:

Nuclear receptor subfamily 1 group B member 1, Retinoic acid receptor alpha

登录 查看组织和合同定价。

选择尺寸

变更视图

关于此项目

NACRES:
NA.41
UNSPSC Code:
12352203
Conjugate:
unconjugated
Clone:
3L14, monoclonal, recombinant monoclonal
Application:
ICC, IHC, WB, affinity binding assay
Citations:
-
技术服务
需要帮助?我们经验丰富的科学家团队随时乐意为您服务。
让我们为您提供帮助


biological source

rabbit (recombinant)

Quality Level

recombinant

expressed in HEK 293 cells

conjugate

unconjugated

antibody form

purified antibody

antibody product type

primary antibodies

clone

3L14, monoclonal, recombinant monoclonal

product line

ZooMAb® learn more

form

lyophilized

mol wt

calculated mol wt 50.77 kDa, observed mol wt ~58 kDa

species reactivity

human, canine

packaging

antibody small pack of 25 μL

greener alternative product characteristics

Waste Prevention
Designing Safer Chemicals
Design for Energy Efficiency
Learn more about the Principles of Green Chemistry.

enhanced validation

recombinant expression
Learn more about Antibody Enhanced Validation

sustainability

Greener Alternative Product

technique(s)

affinity binding assay: suitable, immunocytochemistry: suitable, immunohistochemistry: suitable, western blot: suitable

isotype

IgG

UniProt accession no.

greener alternative category

shipped in

ambient

storage temp.

2-8°C

target post-translational modification

unmodified

Gene Information

human ... RARA(5914)

General description

Retinoic acid receptor alpha (UniProt: P10276; also known as RAR-alpha, Nuclear receptor subfamily 1 group B member 1) is encoded by the RARA (also known as NR1B1) gene (Gene ID: 5914) in human. RAR-alpha is a nuclear receptor of the steroid/thyroid superfamily of nuclear receptor proteins that regulate gene expression by binding to RNA and other elements of DNA response. RAR-alpha forms heterodimer with RXR (via C-terminus) and this association is enhanced by pulsatile shear stress. The RAR-alpha/RXR heterodimer bind to the retinoic acid response elements composed of tandem 5′-AGGTCA-3′ sites known as DR1-DR5. Its nuclear localization depends on ligand binding, phosphorylation, and sumoylation. Phosphorylation on serine 77 is shown to be crucial for its transcriptional activity. Phosphorylation by Akt1 is required for the repressor activity but it has no effect on DNA binding, protein stability, or subcellular localization. In the absence of ligand, the heterodimer associates with a multiprotein complex containing transcription corepressors that induces histone deacetylation, chromatin condensation and transcriptional suppression. Upon ligand binding, the corepressors dissociate from the receptors and associate with the coactivators leading to transcriptional activation. RAR-alpha has two NR C-4 type of zinc-finger domains (aa 88-108 and 124-148). This ZooMAb recombinant monoclonal antibody, generated by our propriety technology, offers significantly enhanced specificity, affinity, reproducibility, and stability over conventional monoclonals.
We are committed to bringing you greener alternative products, which adhere to one or more of The 12 Principles of Green Chemistry.This antibody is Preservative-free, produced without the harm or sacrifice of animals and exceptionally stable to allow for ambient shipping and storage if needed and thus aligns with "Waste Prevention", "Designing Safer Chemicals" and "Design for Energy Efficiency". Click here for more information.
ZooMAb antibodies represent an entirely new generation of recombinant monoclonal antibodies.

Each ZooMAb antibody is manufactured using our proprietary recombinant expression system, purified to homogeneity, and precisely dispensed to produce robust and highly reproducible lot-to-lot consistency. Only top-performing clones are released for use by researchers. Each antibody is validated for high specificity and affinity across multiple applications, including its most commonly used application. ZooMAb antibodies are reliably available and ready to ship when you need them.

Learn more about ZooMAb here.

Immunogen

KLH-conjugated linear peptide corresponding to 17 amino acids from the N-terminal half of human Retinoic Acid Receptor alpha.

Application

Anti-RAR-alpha, clone 3L14 ZooMAb, Cat. No. ZRB1369, a Rabbit monoclonal antibody that targets RAR-alpha and is tested in Affinity Binding Assay, Immunocytochemistry, Immunohistochemistry, and Western Blotting.
Western Blotting Analysis: A 1:1,000 dilution from a representative lot detected RAR-alpha in A431 cell lysate.

Immunocytochemistry Analysis: A 1:100 dilution from a representative lot detected RAR-alpha in HeLa, A431, HUVEC, and NTERA2 cells.

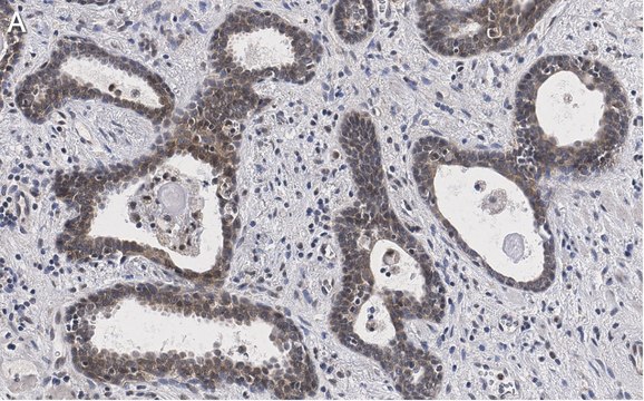
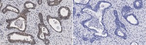
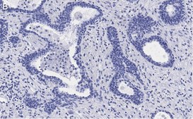
Immunohistochemistry (Paraffin) Analysis: A 1:100-1,000 dilution from a representative lot detected RAR-alpha in human prostate cancer and human testis tissue sections.

Affinity Binding Assay: A representative lot of this antibody bound Retinoic Acid Receptor alpha peptide with a KD of 9.8 x 10-8 in an affinity binding assay.

Note: Actual optimal working dilutions must be determined by end user as specimens, and experimental conditions may vary with the end user.

Biochem/physiol Actions

Clone 3L14 is a ZooMAb rabbit recombinant monoclonal antibody that specifically detects Retinoic Acid Receptor alpha (RAR-alpha). It targets an epitope within 17 amino acids from the N-terminal half.

Physical form

Purified recombinant rabbit monoclonal antibody IgG, lyophilized in PBS with 5% Trehalose, normal appearance a coarse or translucent resin. Contains no biocide or preservatives, such as azide, or any animal by-products. Larger pack sizes provided as multiples of 25 μL.

Preparation Note

Recommend storage of lyophilized product at 2-8°C; Before reconstitution, micro-centrifuge vials briefly to spin down material to bottom of the vial; Reconstitute each vial by adding 25 μL of filtered lab grade water or PBS; Reconstituted antibodies can be stored at 2-8°C, or -20°C for long term storage. Avoid repeated freeze-thaws.
Reconstitute lyophilized antibody pellet with 25μL of ultrapure water or Phosphate Buffered Saline (PBS). Please refer to our reconstitution protocol and the specific application guidance on the suggested starting dilutions and sample type.

Legal Information

ZooMAb is a registered trademark of Merck KGaA, Darmstadt, Germany

Disclaimer

Unless otherwise stated in our catalog or other company documentation accompanying the product(s), our products are intended for research use only and are not to be used for any other purpose, which includes but is not limited to, unauthorized commercial uses, in vitro diagnostic uses, ex vivo or in vivo therapeutic uses or any type of consumption or application to humans or animals.


Still not finding the right product?

试用我们的 产品选型工具 工具缩小选择范围


存储类别

10 - Combustible liquids

wgk

WGK 1

flash_point_f

Not applicable

flash_point_c

Not applicable

法规信息

常规特殊物品

此项目有



历史批次信息供参考:

分析证书(COA)

Lot/Batch Number

没有发现合适的版本?

如果您需要特殊版本,可通过批号或批次号查找具体证书。

已有该产品?

在文件库中查找您最近购买产品的文档。

访问文档库