跳转至内容
Merck
CN

ZRB1375

Anti-BIM Antibody, clone 2O18, ZooMAb® Rabbit Monoclonal

greener alternative

recombinant, expressed in HEK 293 cells

别名:

BIM, Bcl-2-like protein 11, Bcl2-L-11, Bcl2-interacting mediator of cell death

登录 查看组织和合同定价。

选择尺寸

变更视图

关于此项目

NACRES:
NA.41
UNSPSC Code:
12352203
Conjugate:
unconjugated
Clone:
2O18, monoclonal, recombinant monoclonal
Application:
ICC, IHC, WB, affinity binding assay
Citations:
-
技术服务
需要帮助?我们经验丰富的科学家团队随时乐意为您服务。
让我们为您提供帮助


biological source

rabbit (recombinant)

Quality Level

recombinant

expressed in HEK 293 cells

conjugate

unconjugated

antibody form

purified antibody

antibody product type

primary antibodies

clone

2O18, monoclonal, recombinant monoclonal

product line

ZooMAb® learn more

form

lyophilized

mol wt

calculated mol wt 22.17 kDa, observed mol wt ~22 kDa

species reactivity

rat, human, mouse

packaging

antibody small pack of 25 μL

greener alternative product characteristics

Waste Prevention
Designing Safer Chemicals
Design for Energy Efficiency
Learn more about the Principles of Green Chemistry.

enhanced validation

recombinant expression
Learn more about Antibody Enhanced Validation

sustainability

Greener Alternative Product

technique(s)

affinity binding assay: suitable, immunocytochemistry: suitable, immunohistochemistry: suitable, western blot: suitable

isotype

IgG

UniProt accession no.

greener alternative category

shipped in

ambient

storage temp.

2-8°C

target post-translational modification

unmodified

Gene Information

human ... BCL2L11(10018)

General description

Bcl-2-like protein 11 (UniProt: O43521; also known as Bcl2-L-11, Bcl2-interacting mediator of cell death, BIM) is encoded by the BCL2L11 (also known as BIM) gene (Gene ID: 10018) in human. BIM is a pro-apoptotic member of the Bcl-2 family that plays an important role in Bax/Bak-mediated cytochrome c release and apoptosis in response to various intrinsic stimuli. Like other members of the Bcl-2 family, BIM possesses a hydrophobic C-terminus that helps it to localize to intracytoplasmic membranes. In normal healthy cells BIM is localized to the microtubule-associated dynein motor complex in association with the LC8 dynein light chain; however, when subjected to apoptosis stimuli, it dissociates from LC8 and translocates to the mitochondria where it interacts with Bcl-2 to block its anti-apoptotic activity. Its N-terminal plays a role keeping it bound to the cytoskeleton and removal of that allows it to translocate to mitochondria. BIM contains a BH3 motif (aa 148-162) that is essential for its interaction with Bcl-2 proteins. BIM can undergo phosphorylation at serine 69 by MAPK1/MAPK3 that leads to its interaction with tripartite motif containing 2 (TRIM2), an E3 ubiquitin ligase, and polyubiquitination, followed by proteasomal degradation. BIM-deficient mice display higher numbers of B cells, CD4 and CD8 single-positive T cells, macrophages and granulocytes in their periphery. BIM is also reported to be essential for the deletion of auto-reactive B and T cells. Lymphocytes lacking BIM are refractory to several stimuli, including cytokine deprivation, deregulated calcium ion flux. This ZooMAb recombinant monoclonal antibody, generated by our propriety technology, offers significantly enhanced specificity, affinity, reproducibility, and stability over conventional monoclonals. (Ref.: O Connor, L., et al (1998). EMBO J. 17(2); 384-395; Gogada, R., et al. (2013). J. Biol. Chem. 288(1); 368-381).
We are committed to bringing you greener alternative products, which adhere to one or more of The 12 Principles of Green Chemistry.This antibody is Preservative-free, produced without the harm or sacrifice of animals and exceptionally stable to allow for ambient shipping and storage if needed and thus aligns with "Waste Prevention", "Designing Safer Chemicals" and "Design for Energy Efficiency". Click here for more information.
ZooMAb antibodies represent an entirely new generation of recombinant monoclonal antibodies.

Each ZooMAb antibody is manufactured using our proprietary recombinant expression system, purified to homogeneity, and precisely dispensed to produce robust and highly reproducible lot-to-lot consistency. Only top-performing clones are released for use by researchers. Each antibody is validated for high specificity and affinity across multiple applications, including its most commonly used application. ZooMAb antibodies are reliably available and ready to ship when you need them.

Learn more about ZooMAb here.

Immunogen

KLH-conjugated linear peptide corresponding to 19 amino acids from the N-terminal region of human BIM.

Application

Anti-BIM, clone 2O18 ZooMAb, Cat. No. ZRB1375, a recombinant Rabbit monoclonal antibody that targets BIM and is tested in Affinity Binding, Immunocytochemistry, Immunohistochemistry, and Western Blotting.
Western Blotting Analysis: A 1:10,000 dilution from a representative lot detected BIM in mouse spleen tissue lysate.

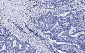
Immunohistochemistry (Paraffin) Analysis: A 1:100 dilution from a representative lot detected BIM in human breast cancer and human lung cancer tissue sections.

Immunocytochemistry Analysis: A 1:100 dilution from a representative lot detected BIM in RAW264.7 cells.

Affinity Binding Assay: A representative lot of this antibody bound BIM peptide with a KD value of 3.9 x 10-7 in an affinity binding assay.

Note: Actual optimal working dilutions must be determined by end user as specimens, and experimental conditions may vary with the end user.

Biochem/physiol Actions

Clone 2O18 is a ZooMAb rabbit recombinant monoclonal antibody that specifically detects Bcl-2-like protein 11 (BIM) protein. It targets an epitope within 19 amino acids from the N-terminal region.

Physical form

Purified recombinant rabbit monoclonal antibody IgG, lyophilized in PBS with 5% Trehalose, normal appearance a coarse or translucent resin. Contains no biocide or preservatives, such as azide, or any animal by-products. Larger pack sizes provided as multiples of 25 μL.

Preparation Note

Recommend storage of lyophilized product at 2-8°C; Before reconstitution, micro-centrifuge vials briefly to spin down material to bottom of the vial; Reconstitute each vial by adding 25 μL of filtered lab grade water or PBS; Reconstituted antibodies can be stored at 2-8°C, or -20°C for long term storage. Avoid repeated freeze-thaws.
Reconstitute lyophilized antibody pellet with 25μL of ultrapure water or Phosphate Buffered Saline (PBS). Please refer to our reconstitution protocol and the specific application guidance on the suggested starting dilutions and sample type.

Legal Information

ZooMAb is a registered trademark of Merck KGaA, Darmstadt, Germany

Disclaimer

Unless otherwise stated in our catalog or other company documentation accompanying the product(s), our products are intended for research use only and are not to be used for any other purpose, which includes but is not limited to, unauthorized commercial uses, in vitro diagnostic uses, ex vivo or in vivo therapeutic uses or any type of consumption or application to humans or animals.


Still not finding the right product?

试用我们的 产品选型工具 工具缩小选择范围


存储类别

11 - Combustible Solids

wgk

WGK 2

法规信息

常规特殊物品

此项目有



历史批次信息供参考:

分析证书(COA)

Lot/Batch Number

没有发现合适的版本?

如果您需要特殊版本,可通过批号或批次号查找具体证书。

已有该产品?

在文件库中查找您最近购买产品的文档。

访问文档库


商品

Learn about the hallmarks of cancer and find reliable ZooMAb® recombinant antibodies to study them, conveniently organized by cancer hallmark.