biological source
rabbit
Quality Level
recombinant
expressed in HEK 293 cells
conjugate
unconjugated
antibody form
purified antibody
antibody product type
primary antibodies
clone
recombinant monoclonal
product line
ZooMAb® learn more
form
lyophilized
mol wt
calculated mol wt 49.67 kDa, observed mol wt ~52 kDa
species reactivity
rat, human, mouse
packaging
antibody small pack of 25 μL
greener alternative product characteristics
Waste Prevention
Designing Safer Chemicals
Design for Energy Efficiency
Learn more about the Principles of Green Chemistry.
enhanced validation
recombinant expression
Learn more about Antibody Enhanced Validation
sustainability
Greener Alternative Product
technique(s)
affinity binding assay: suitable, immunohistochemistry (formalin-fixed, paraffin-embedded sections): suitable, western blot: suitable
isotype
IgG
UniProt accession no.
greener alternative category
shipped in
ambient
storage temp.
2-8°C
target post-translational modification
unmodified
Gene Information
human ... TUBB3(10381)
General description
ZooMAb antibodies represent an entirely new generation of recombinant monoclonal antibodies.
Each ZooMAb antibody is manufactured using our proprietary recombinant expression system, purified to homogeneity, and precisely dispensed to produce robust and highly reproducible lot-to-lot consistency. Only top-performing clones are released for use by researchers. Each antibody is validated for high specificity and affinity across multiple applications, including its most commonly used application. ZooMAb antibodies are reliably available and ready to ship when you need them.
Learn more about ZooMAb here.
Each ZooMAb antibody is manufactured using our proprietary recombinant expression system, purified to homogeneity, and precisely dispensed to produce robust and highly reproducible lot-to-lot consistency. Only top-performing clones are released for use by researchers. Each antibody is validated for high specificity and affinity across multiple applications, including its most commonly used application. ZooMAb antibodies are reliably available and ready to ship when you need them.
Learn more about ZooMAb here.
Tubulin beta chain (UniProt: P07437; also known as Tubulin beta-5 chain) is encoded by the TUBB (also known as TUBB5, OK/SW-cl.56) gene (Gene ID: 203068) in human. Tubulin is the major constituent of microtubules (MTs). MTs are cytoskeletal filaments composed of alpha/beta-tubulin heterodimers that self-assemble head-to-tail to form protofilaments and laterally to form a hollow tube. Alpha/beta heterodimers associate head-to-tail to form protofilaments running lengthwise along the microtubule wall with the beta-tubulin subunit facing the microtubule plus end conferring a structural polarity. Tubulin binds two moles of GTP, one at an exchangeable site on the beta-chain and one at a non-exchangeable site on the alpha-chain. Tubulin dimers constantly polymerize and depolymerize, and MTs can undergo rapid cycles of assembly and disassembly. The first stage of MT formation, the nucleation phase, is slow. In the presence of Mg2+ and GTP, alpha- and beta-tubulins join in an end-to-end manner to form protofilaments with alternating alpha and beta subunits. GTP bound to beta-tubulin is hydrolyzed to GDP during or immediately after polymerization. This weakens the binding affinity of tubulin for adjacent molecules and favors depolymerization that contributes to the dynamic behavior of MTs. MTs also undergo treadmilling, in which tubulin molecules bound to GDP are continually lost from the minus end and are replaced by the addition of GTP-bound tubulin molecules to the plus end of the same MT. Various post-translational modifications, including acetylation, polyglutamylation, polyglycylation, detyrosination, phosphorylation, and palmitoylation, can regulate the polymerization properties of tubulins and/or their interactions with microtubule associated proteins and motor proteins. Beta-Tubulin is reported to undergo phosphorylation on serine 172 by CDK1 during the cell cycle, from metaphase to telophase, but not in interphase. This phosphorylation inhibits tubulin incorporation into microtubules. This ZooMAb recombinant monoclonal antibody, generated by our propriety technology, offers significantly enhanced specificity, affinity, reproducibility, and stability over conventional monoclonals.
We are committed to bringing you greener alternative products, which adhere to one or more of The 12 Principles of Green Chemistry.This antibody is Preservative-free, produced without the harm or sacrifice of animals and exceptionally stable to allow for ambient shipping and storage if needed and thus aligns with "Waste Prevention", "Designing Safer Chemicals" and "Design for Energy Efficiency". Click here for more information.
Immunogen
His-tagged recombinant fragment corresponding to 150 amino acids from the C-terminal region of human beta-tubulin.
Application
Anti-Tubulin, clone 10G11 ZooMAb, Cat. No. ZRB1416, is a recombinant Rabbit monoclonal antibody that targets beta-tubulin and has been tested in Affinity Binding Assay, Immunohistochemistry (Paraffin), and Western Blotting.
Western Blotting Analysis: A 1:1,000 dilution from a representative lot detected beta Tubulin in PC12 cell lysate.
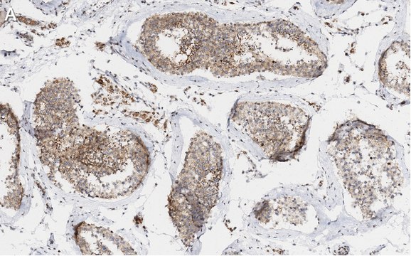
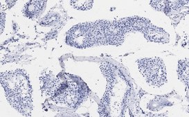
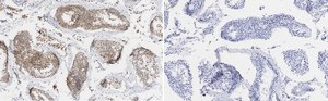
Immunohistochemistry (Paraffin) Analysis: A 1:1,000 dilution from a representative lot detected beta- Tubulin in human testis and human kidney tissue sections.
Affinity Binding Assay: A representative lot of this antibody bound recombinant human beta-tubulin fragment with a KD of 2.3 x 10-6 in an affinity binding assay.
Note: Actual optimal working dilutions must be determined by end user as specimens, and experimental conditions may vary with the end user.
Immunohistochemistry (Paraffin) Analysis: A 1:1,000 dilution from a representative lot detected beta- Tubulin in human testis and human kidney tissue sections.
Affinity Binding Assay: A representative lot of this antibody bound recombinant human beta-tubulin fragment with a KD of 2.3 x 10-6 in an affinity binding assay.
Note: Actual optimal working dilutions must be determined by end user as specimens, and experimental conditions may vary with the end user.
Biochem/physiol Actions
Clone 10G11 is a ZooMAb rabbit recombinant monoclonal antibody that specifically detects β-tubulin. It targets an epitope within the C-terminal region.
Physical form
Purified recombinant rabbit monoclonal antibody IgG, lyophilized in PBS with 5% Trehalose, normal appearance a coarse or translucent resin. Contains no biocide or preservatives, such as azide, or any animal by-products. Larger pack sizes provided as multiples of 25 μL.
Preparation Note
Recommended storage of lyophilized product at 2-8°C; Before reconstitution, micro-centrifuge vials briefly to spin down material to bottom of the vial; Reconstitute each vial by adding 25 μL of filtered lab grade water or PBS; Reconstituted antibodies can be stored at 2-8°C, or -20°C for long term storage. Avoid repeated freeze-thaws.
Reconstitute lyophilized antibody pellet with 25μL of ultrapure water or Phosphate Buffered Saline (PBS). Please refer to our reconstitution protocol and the specific application guidance on the suggested starting dilutions and sample type.
Legal Information
ZooMAb is a registered trademark of Merck KGaA, Darmstadt, Germany
Disclaimer
Unless otherwise stated in our catalog or other company documentation accompanying the product(s), our products are intended for research use only and are not to be used for any other purpose, which includes but is not limited to, unauthorized commercial uses, in vitro diagnostic uses, ex vivo or in vivo therapeutic uses or any type of consumption or application to humans or animals.
Still not finding the right product?
试用我们的 产品选型工具 工具缩小选择范围
存储类别
11 - Combustible Solids
wgk
WGK 2
法规信息
常规特殊物品
此项目有