跳转至内容
Merck
CN

ZRB1417

Anti-p-Rb-Ser807/811 Antibody, clone 3J7 ZooMAb® Rabbit Monoclonal

greener alternative

recombinant, expressed in HEK 293 cells

别名:

Retinoblastoma-associated protein;p105-Rb;p110-RB1;pRb;pp110

登录 查看组织和合同定价。

选择尺寸

变更视图

关于此项目

NACRES:
NA.41
UNSPSC Code:
12352203
Conjugate:
unconjugated
Clone:
3J7, recombinant monoclonal
Application:
FACS, ICC, IHC, WB, inhibition assay
Citations:
-
技术服务
需要帮助?我们经验丰富的科学家团队随时乐意为您服务。
让我们为您提供帮助


biological source

rabbit

Quality Level

recombinant

expressed in HEK 293 cells

conjugate

unconjugated

antibody form

purified antibody

antibody product type

primary antibodies

clone

3J7, recombinant monoclonal

description

recombinant, expressed in HEK 293 cells

product line

ZooMAb® learn more

form

lyophilized

mol wt

calculated mol wt 106.16 kDa, observed mol wt ~110 kDa

purified by

using Protein A

species reactivity

rat, human

species reactivity (predicted by homology)

monkey

packaging

antibody small pack of 25 μL

enhanced validation

recombinant expression
Learn more about Antibody Enhanced Validation

sustainability

Greener Alternative Product

technique(s)

flow cytometry: suitable, immunocytochemistry: suitable, immunohistochemistry: suitable, inhibition assay: suitable, western blot: suitable

isotype

IgG

epitope sequence

C-terminal

Protein ID accession no.

UniProt accession no.

greener alternative category

shipped in

ambient

storage temp.

2-8°C

target post-translational modification

phosphorylation (pSer807/pSer811)

Gene Information

human ... RB1(5925)

General description

Retinoblastoma-associated protein (UniProt: P06400; also known as p105-Rb, p110-RB1, pRb, Rb, pp110) is encoded by the RB1 gene (Gene ID: 5925) in human. Retinoblastoma (Rb) protein act as a negative regulators of cell cycle and controls the passage of cells from G1 to S phase. It is a key regulator of entry into cell division that acts as a tumor suppressor. It acts as a transcription repressor of E2F1 target genes. In its underphosphorylated, active state it interacts with E2F1 and represses its transcription activity, leading to cell cycle arrest. Its action is regulated by phosphorylation of several serine and threonine residues on the protein. Phosphorylated Rb protein sequesters transcription factors allowing the transition from G1 to S phase. It is phosphorylated by Cdk6 and Cdk4, and subsequently by Cdk2 at serine 567 in G1, thereby releasing E2F1 which is then able to activate cell growth. It is dephosphorylated in the late M phase. Phosphorylation at threonine 821 and 826 promotes interaction between the C-terminal domain and the pocket domain (aa 373-771), and thereby inhibits interactions with heterodimeric E2F/DP transcription factor complexes. Phosphorylation of serine 807 and 811 residues by Cdk3/cyclin-C is shown to be essential for G0-G1 transition. Mutations in Rb1 gene are known to cause childhood retinoblastoma, a malignant tumor that arises from the nuclear layers of the retina. This ZooMAb® recombinant monoclonal antibody, generated by our propriety technology, offers significantly enhanced specificity, affinity, reproducibility, and stability over conventional monoclonals. (Ref.: Chinnam, M., and Goodrich, DW. (2011). Curr. Top. Dev. Biol. 94; 129-169; Harbour, JW., et al. (1999). Cell. 98(6); 859-869).
ZooMAb® antibodies represent an entirely new generation of recombinant monoclonal antibodies. Each ZooMAb® antibody is manufactured using our proprietary recombinant expression system, purified to homogeneity, and precisely dispensed to produce robust and highly reproducible lot-to-lot consistency. Only top-performing clones are released for use by researchers. Each antibody is validated for high specificity and affinity across multiple applications, including its most commonly used application. ZooMAb® antibodies are reliably available and ready to ship when you need them.

Immunogen

KLH-conjugated linear peptide corresponding to 12 amino acids surrounding phosphoserines 807 and 811 from human Retinoblastoma-associated protein (Rb).

Application

Quality Control Testing

Evaluated by Western Blotting in HeLa cells treated with nocodazole.

Western Blotting Analysis: A 1:1,000 dilution of this antibody detected phospho-Rb-Ser807/811 in HeLa cells treated with Nocodazole (40 ng/mL; 8 h).

Tested Applications

Flow Cytometry Analysis: 0.1 μg from a representative lot detected phospho-Rb-Ser807/811 in one million serum starved MCF-7 cells.

Immunocytochemistry Analysis: A 1:100 dilution from a representative lot detected phospho-Rb-Ser807/811 in C6 cells.

Affinity Binding Assay: A representative lot of this antibody bound phospho-Rb-Ser807-811 peptide with a KD of 9.1 x 10-7 in an affinity binding assay.

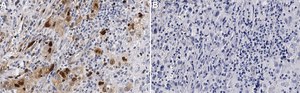
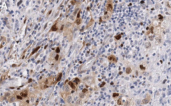
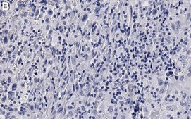
Immunohistochemistry (Paraffin) Analysis: A 1:100 dilution from a representative lot detected phospho-Rb-Ser807/811 in human lung cancer and human ovarian cancer tissue sections.

Peptide Inhibition Assay: Target band detection in a lysate from HeLa cells treated with Nocodazole (40 ng/mL; 8 h) was prevented by pre-blocking of a representative lot with the immunogen phosphopeptide, but not the corresponding non-phosphopeptide.

Note: Actual optimal working dilutions must be determined by end user as specimens, and experimental conditions may vary with the end user.

Biochem/physiol Actions

Clone 3J7 is a ZooMAb® rabbit recombinant monoclonal antibody that specifically detects Retinoblastoma-associated protein phosphorylated on serine 807 and 811.

Physical form

Purified recombinant rabbit monoclonal antibody IgG, lyophilized in PBS, 5% Trehalose, normal appearance a coarse or translucent resin. The PBS/trehalose components in the ZooMAb formulation can have the appearance of a semi-solid (bead like gel) after lyophilization. This is a normal phenomenon. Please follow the recommended reconstitution procedure in the data sheet to dissolve the semi-solid, bead-like, gel-appearing material. The resulting antibody solution is completely stable and functional as proven by full functional testing. Contains no biocide or preservatives, such as azide, or any animal by-products. Larger pack sizes provided as multiples of 25 μL.

Preparation Note

Recommend storage of lyophilized product at 2-8°C; Before reconstitution, micro-centrifuge vials briefly to spin down material to bottom of the vial; Reconstitute each vial by adding 25 μL of filtered lab grade water or PBS; Reconstituted antibodies can be stored at 2-8°C, or -20°C for long term storage. Avoid repeated freeze-thaws.
Reconstitute lyophilized antibody pellet with 25μL of ultrapure water or Phosphate Buffered Saline (PBS). Please refer to our reconstitution protocol and the specific application guidance on the suggested starting dilutions and sample type.

Legal Information

ZooMAb is a registered trademark of Merck KGaA, Darmstadt, Germany

Disclaimer

Unless otherwise stated in our catalog or other company documentation accompanying the product(s), our products are intended for research use only and are not to be used for any other purpose, which includes but is not limited to, unauthorized commercial uses, in vitro diagnostic uses, ex vivo or in vivo therapeutic uses or any type of consumption or application to humans or animals.


Still not finding the right product?

试用我们的 产品选型工具 工具缩小选择范围


存储类别

11 - Combustible Solids

wgk

WGK 1

flash_point_f

Not applicable

flash_point_c

Not applicable

法规信息

常规特殊物品

此项目有



历史批次信息供参考:

分析证书(COA)

Lot/Batch Number

没有发现合适的版本?

如果您需要特殊版本,可通过批号或批次号查找具体证书。

已有该产品?

在文件库中查找您最近购买产品的文档。

访问文档库


商品

Learn about the hallmarks of cancer and find reliable ZooMAb® recombinant antibodies to study them, conveniently organized by cancer hallmark.





全球贸易项目编号

货号GTIN
ZRB1417-25UL04065269029328
ZRB1417-4X25UL04065269029335