跳转至内容
Merck
CN

ZRB1437

抗-p16-INK4a抗体,克隆5F22抗体,ZooMAb®兔单克隆

greener alternative

recombinant, expressed in HEK 293 cells

别名:

CDK4I, MTS-1, p16-INK4, p16INK4A, 多重肿瘤抑制因子1, 细胞周期蛋白依赖性激酶4抑制剂A, 细胞周期蛋白依赖性激酶抑制剂2A

登录 查看组织和合同定价。

选择尺寸

变更视图

关于此项目

NACRES:
NA.41
UNSPSC Code:
12352203
Conjugate:
unconjugated
Clone:
recombinant monoclonal
Application:
ICC, IHC (p), WB, affinity binding assay
Citations:
-
技术服务
需要帮助?我们经验丰富的科学家团队随时乐意为您服务。
让我们为您提供帮助


biological source

rabbit

Quality Level

recombinant

expressed in HEK 293 cells

conjugate

unconjugated

antibody form

purified antibody

antibody product type

primary antibodies

clone

recombinant monoclonal

product line

ZooMAb® learn more

form

lyophilized

mol wt

calculated mol wt 16.53 kDa, observed mol wt ~16 kDa

species reactivity

human, mouse

packaging

antibody small pack of 25 μL

greener alternative product characteristics

Waste Prevention
Designing Safer Chemicals
Design for Energy Efficiency
Learn more about the Principles of Green Chemistry.

enhanced validation

recombinant expression
Learn more about Antibody Enhanced Validation

sustainability

Greener Alternative Product

technique(s)

affinity binding assay: suitable, immunocytochemistry: suitable, immunohistochemistry (formalin-fixed, paraffin-embedded sections): suitable, western blot: suitable

isotype

IgG

UniProt accession no.

greener alternative category

shipped in

ambient

storage temp.

2-8°C

target post-translational modification

unmodified

Gene Information

human ... CDKN2A(1029)

General description

ZooMAb抗体代表了新一代重组单克隆抗体。

每种ZooMAb抗体均使用我们专有的重组表达系统生产,纯化至均一,并精确分配以产生稳健且高度可重复的批间一致性。只发布性能最高的克隆供研究人员使用。每种抗体在多种应用(包括其最常用的应用)中均具有高度特异性和亲和力。ZooMAb抗体是可靠的,在需要时随时可以发货。

请了解有关ZooMAb的更多信息。
我们致力于为您带来更环保的替代产品,这些产品符合绿色化学的12项原则中的一项或多项。这种抗体不含防腐剂,生产时不会伤害或牺牲动物,而且非常稳定,在需要时可以在环境中运输和储存,因此符合“废物预防”、“设计更安全的化学品”和“节能设计”。 点击此处以获取更多信息。
细胞周期蛋白依赖性激酶抑制剂2A(UniProt:P42771;也称为细胞周期蛋白依赖性激酶4抑制剂A,CDK4I,多肿瘤抑制因子1,MTS-1,p16-INK4a,p16-INK4,p16INK4A)由人的CDKN2A(也称为CDKN2,MTS1)基因(基因ID:1029)编码。p16-INK4是一种分布广泛的蛋白质,可作为正常细胞增殖的负调节剂。据报道,它是CDK抑制剂IINK4家族的主要成员。 与CDK4或CDK6异源二聚体并抑制它们与细胞周期蛋白D相互作用和磷酸化视网膜母细胞瘤蛋白的能力。由于生理作用和在大量肿瘤中表达下调,它被认为是一种肿瘤抑制蛋白。 p16-INK4a的过表达也已在几种肿瘤中被描述,包括子宫内膜癌,结肠直肠癌和基底细胞癌。已经描述了通过选择性剪接产生的p16-INK4a的六种亚型。通过我们的专有技术生成的ZooMAb®重组单克隆抗体与常规单克隆抗体相比,具有明显增强的特异性、亲和力、可重复性和稳定性。

Immunogen

GST/His标记的重组片段,对应于人细胞周期蛋白依赖性激酶抑制剂2A(p16-INK4a)的前54个氨基酸。

Application

免疫细胞化学分析:代表性批次的1:100稀释液在HeLa、A431、HUVEC和NIH3T3细胞中检测p16-INK4a。

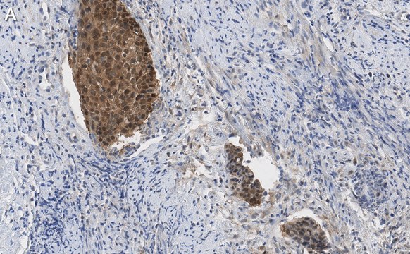
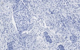
免疫组织化学(石蜡)分析:代表性批次的1:100稀释液在人宫颈癌组织切片中检测到p16-INK4a。

亲和结合试验: 该抗体的代表性批次在亲和结合试验中以4.5 x 10-7的KD结合重组p16-INK4a蛋白。


注:实际最佳工作稀释度必须由最终用户确定,因为样本和实验条件可能会因最终用户而有所不同
抗p16-INK4a,克隆5F22,ZooMAb,目录号ZRB1437,是一种重组兔单克隆抗体,可特异性靶向p16-INK4a,并在亲和结合测定,免疫细胞化学,免疫组织化学(石蜡)和蛋白质印迹中进行了测试。

Biochem/physiol Actions

克隆5F22是ZooMAb兔重组单克隆抗体,可特异性检测细胞周期蛋白依赖性激酶抑制剂2A(p16-INK4a)。它靶向N末端前54个氨基酸的表位。

Physical form

纯化的重组兔单克隆抗体IgG,在含有5%海藻糖的PBS中冻干,外观正常,为粗糙或半透明的树脂状。不含抗微生物剂或防腐剂(例如叠氮化物)或任何动物副产品。较大的包装尺寸以25 μL的倍数形式提供。

Preparation Note

建议将冻干产品在2-8°C下储存;在复溶前,将微量离心管简短离心以将相关物质离心至管底;通过添加25 μL过滤后的实验室级水或PBS来复溶每支小管;复溶的抗体可以在2-8°C或-20°C下长期保存。避免反复冻融。
Reconstitute lyophilized antibody pellet with 25μL of ultrapure water or Phosphate Buffered Saline (PBS). Please refer to our reconstitution protocol and the specific application guidance on the suggested starting dilutions and sample type.

Legal Information

ZooMAb is a registered trademark of Merck KGaA, Darmstadt, Germany

Disclaimer

除非我们的产品目录或产品附带的其他公司文档另有说明,否则我们的产品仅供研究使用,不得用于任何其他目的,包括但不限于未经授权的商业用途、体外诊断用途、离体或体内治疗用途或任何类型的消费或应用于人类或动物。


Still not finding the right product?

试用我们的 产品选型工具 工具缩小选择范围


存储类别

13 - Non Combustible Solids

wgk

WGK 1

flash_point_f

Not applicable

flash_point_c

Not applicable

法规信息

常规特殊物品

此项目有



历史批次信息供参考:

分析证书(COA)

Lot/Batch Number

没有发现合适的版本?

如果您需要特殊版本,可通过批号或批次号查找具体证书。

已有该产品?

在文件库中查找您最近购买产品的文档。

访问文档库


商品

Learn about the hallmarks of cancer and find reliable ZooMAb® recombinant antibodies to study them, conveniently organized by cancer hallmark.

相关内容

Discover cancer research resources with modeling and profiling tools for cell culture, genomics, biomarkers, and more to help maximize your cancer research.