跳转至内容
Merck
CN

ZRB1492

Anti-RAD51 Antibody, clone 1M8 ZooMAb® Rabbit Monoclonal

greener alternative

recombinant, expressed in HEK 293 cells

别名:

DNA repair protein RAD51 homolog 1, HsRAD51, RAD51 homolog A, hRAD51

登录 查看组织和合同定价。

选择尺寸

变更视图

关于此项目

NACRES:
NA.41
UNSPSC Code:
12352203
Conjugate:
unconjugated
Clone:
1M8, monoclonal, recombinant monoclonal
Application:
ICC, IHC (p), WB, affinity binding assay
Citations:
-
技术服务
需要帮助?我们经验丰富的科学家团队随时乐意为您服务。
让我们为您提供帮助


biological source

rabbit (recombinant)

Quality Level

recombinant

expressed in HEK 293 cells

conjugate

unconjugated

antibody form

purified antibody

antibody product type

primary antibodies

clone

1M8, monoclonal, recombinant monoclonal

product line

ZooMAb® learn more

form

lyophilized

mol wt

calculated mol wt 36.97 kDa, observed mol wt 37 kDa

species reactivity

human, rat, mouse

packaging

antibody small pack of 25 μL

greener alternative product characteristics

Waste Prevention
Designing Safer Chemicals
Design for Energy Efficiency
Learn more about the Principles of Green Chemistry.

enhanced validation

recombinant expression
Learn more about Antibody Enhanced Validation

sustainability

Greener Alternative Product

technique(s)

affinity binding assay: suitable, immunocytochemistry: suitable, immunohistochemistry (formalin-fixed, paraffin-embedded sections): suitable, western blot: suitable

isotype

IgG

UniProt accession no.

greener alternative category

shipped in

ambient

storage temp.

2-8°C

target post-translational modification

unmodified

Gene Information

human ... RAD51(5888)

General description

DNA repair protein RAD51 homolog 1 (UniProt: Q06609; also known as HsRAD51, hRAD51, RAD51 homolog A) is encoded by the RAD51 (also known as RAD51A, RECA) gene (Gene ID: 5888) in human. RAD51 plays an important role in DNA repair through homologous recombination. It is highly expressed in testis and thymus and is also found in small intestine, placenta, colon, pancreas and ovary. It binds to single and double-stranded DNA and exhibits DNA-dependent ATPase activity. It is shown to catalyze the recognition of homology and strand exchange between homologous DNA partners to form a joint molecule between a processed DNA break and the repair template. It colocalizes with RAD51AP1 and RPA2 to multiple nuclear foci upon induction of DNA damage. Phosphorylation of RAD51 at threonine 309 by checkpoint kinase 1 (CHEK1) enhances its association with chromatin at sites of DNA damage and promotes DNA repair. It binds to single-stranded DNA in an ATP-dependent manner to form nucleoprotein filaments which are essential for the homology search and strand exchange. RAD51 also plays a role in regulating mitochondrial DNA copy number under conditions of oxidative stress and its stress-induced increases are observed in the mitochondria. Mutations in RAD51 gene are observed in cases of invasive ductal carcinoma and in Fanconi anemia. This ZooMAb® recombinant monoclonal antibody, generated by our propriety technology, offers significantly enhanced specificity, affinity, reproducibility, and stability over conventional monoclonals. (Ref.: Hilario, J., et al. (2009). Proc. Natl. Acad. Sci. USA. 106(2);361-368).
We are committed to bringing you greener alternative products, which adhere to one or more of The 12 Principles of Green Chemistry.This antibody is Preservative-free, produced without the harm or sacrifice of animals and exceptionally stable to allow for ambient shipping and storage if needed and thus aligns with "Waste Prevention", "Designing Safer Chemicals" and "Design for Energy Efficiency". Click here for more information.
ZooMAb antibodies represent an entirely new generation of recombinant monoclonal antibodies.

Each ZooMAb antibody is manufactured using our proprietary recombinant expression system, purified to homogeneity, and precisely dispensed to produce robust and highly reproducible lot-to-lot consistency. Only top-performing clones are released for use by researchers. Each antibody is validated for high specificity and affinity across multiple applications, including its most commonly used application. ZooMAb antibodies are reliably available and ready to ship when you need them.

Learn more about ZooMAb here.

Immunogen

His-tagged full-length recombinant human RAD51 protein.

Application

Anti-RAD51, clone 1M8 ZooMAb, Cat. No. ZRB1492, is a recombinant Rabbit monoclonal antibody that specifically targets RAD51 and is tested in Affinity Binding Assay, Immunocytochemistry, Immunohistochemistry (Paraffin), and Western Blotting.
Western Blotting Analysis: A 1:1,000 dilution from a representative lot detected RAD51 in HeLa and NIH3T3 cell lysates.

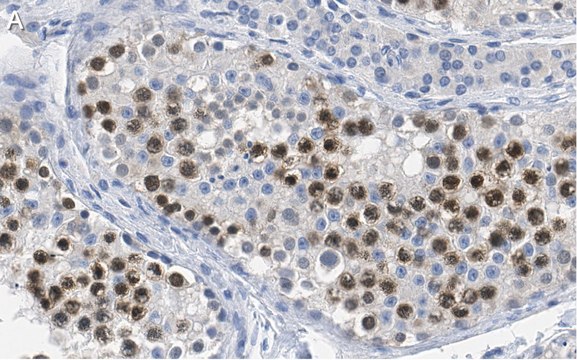
Immunohistochemistry (Paraffin) Analysis: A 1:100 dilution from a representative lot detected RAD51 in human testis tissue sections.

Affinity Binding Assay Analysis: 100 μg/mL from a representative lot detected RAD51 in RAD51 and GST protein showed a KD of 1.0 x 10^-12 whereas binding of ZRB1492 to non-specific GST protein showed a KD of 1.7 x 10^-3.

Immunocytochemistry Analysis: A 1:1,000 dilution from a representative lot detected RAD51 in HeLa, A431, HepG2, and NIH 3T3 cells.

Note: Actual optimal working dilutions must be determined by end user as specimens, and experimental conditions may vary with the end user

Biochem/physiol Actions

Clone 1M8 is a ZooMAb rabbit recombinant monoclonal antibody that specifically detects RAD51 protein.

Physical form

Purified recombinant rabbit monoclonal antibody IgG, lyophilized in PBS with 5% Trehalose, normal appearance a coarse or translucent resin. Contains no biocide or preservatives, such as azide, or any animal by-products. Larger pack sizes provided as multiples of 25 μL.

Preparation Note

Recommend storage of lyophilized product at 2-8°C; Before reconstitution, micro-centrifuge vials briefly to spin down material to bottom of the vial; Reconstitute each vial by adding 25 μL of filtered lab grade water or PBS; Reconstituted antibodies can be stored at 2-8°C, or -20°C for long term storage. Avoid repeated freeze-thaws.
Reconstitute lyophilized antibody pellet with 25μL of ultrapure water or Phosphate Buffered Saline (PBS). Please refer to our reconstitution protocol and the specific application guidance on the suggested starting dilutions and sample type.

Legal Information

ZooMAb is a registered trademark of Merck KGaA, Darmstadt, Germany

Disclaimer

Unless otherwise stated in our catalog or other company documentation accompanying the product(s), our products are intended for research use only and are not to be used for any other purpose, which includes but is not limited to, unauthorized commercial uses, in vitro diagnostic uses, ex vivo or in vivo therapeutic uses or any type of consumption or application to humans or animals.


Still not finding the right product?

试用我们的 产品选型工具 工具缩小选择范围


存储类别

11 - Combustible Solids

wgk

WGK 2

法规信息

常规特殊物品

此项目有



历史批次信息供参考:

分析证书(COA)

Lot/Batch Number

没有发现合适的版本?

如果您需要特殊版本,可通过批号或批次号查找具体证书。

已有该产品?

在文件库中查找您最近购买产品的文档。

访问文档库


商品

Learn about the hallmarks of cancer and find reliable ZooMAb® recombinant antibodies to study them, conveniently organized by cancer hallmark.





全球贸易项目编号

货号GTIN
ZRB1492-4X25UL04061841864813
ZRB1492-25UL04061841864806