跳转至内容
Merck
CN

ZRB1729

Anti-CBP Antibody, clone 3N20 ZooMAb® Rabbit Monoclonal

greener alternative

recombinant, expressed in HEK 293 cells

别名:

CREB-binding protein;EC: 2.3.1.48;Histone lysine acetyltransferase CREBBP;Protein-lysine acetyltransferase CREBBP

登录 查看组织和合同定价。

选择尺寸

变更视图

关于此项目

NACRES:
NA.41
UNSPSC Code:
12352203
Conjugate:
unconjugated
Clone:
3N20, recombinant monoclonal
Application:
ICC, IHC, affinity binding assay
Citations:
-
技术服务
需要帮助?我们经验丰富的科学家团队随时乐意为您服务。
让我们为您提供帮助


biological source

rabbit

Quality Level

recombinant

expressed in HEK 293 cells

conjugate

unconjugated

antibody form

purified antibody

antibody product type

primary antibodies

clone

3N20, recombinant monoclonal

description

recombinant, expressed in HEK 293 cells

product line

ZooMAb® learn more

form

lyophilized

mol wt

calculated mol wt 265.35 kDa

purified by

using Protein A

species reactivity

human

species reactivity (predicted by homology)

rat

packaging

antibody small pack of 25 μL

greener alternative product characteristics

Waste Prevention
Designing Safer Chemicals
Design for Energy Efficiency
Learn more about the Principles of Green Chemistry.

enhanced validation

recombinant expression
Learn more about Antibody Enhanced Validation

sustainability

Greener Alternative Product

technique(s)

affinity binding assay: suitable, immunocytochemistry: suitable, immunohistochemistry: suitable

isotype

IgG

epitope sequence

N-terminus

Protein ID accession no.

UniProt accession no.

greener alternative category

shipped in

ambient

storage temp.

2-8°C

target post-translational modification

unmodified

Gene Information

human ... CREBBP(1387)

General description

CREB-binding protein (UniProt: Q92793; also known as EC: 2.3.1.48, Histone lysine acetyltransferase CREBBP, Protein-lysine acetyltransferase CREBBP) is encoded by the CREBBP (also known as CBP) gene (Gene ID: 1387) in human. CBP, a homolog of p300, serves as a transcriptional co-activator of various sequence-specific transcription factors that are involved in a wide array of cellular activities, such as DNA repair, cell growth, differentiation, and apoptosis. It possesses intrinsic acetyltransferase activity by which it acetylates histones, giving specific tag for transcription activation. It can also acetylate non-histone proteins, such as DExD-box helicase 21, interferon regulatory factor 2, and nuclear receptor coactivator 3. CBP facilitates the transcription of active genes by acting as adapter protein bridging DNA binding transcription factors to the basal transcription machinery and by loosening chromatin through histone tail acetylation. It binds specifically to phosphorylated CREB and enhances its transcriptional activity toward cAMP-responsive genes. CBP and p300 share overall 63% amino acid sequence identity and about 90% homology in their histone acetyltransferase domain (aa 1323-1700). Structurally, CBP contains several domains: a receptor-interacting domain (RID); KIX binding site of CREB; a bromo domain (aa 1103-1175); three cysteine and histidine-rich domains, a glutamine-and proline-rich domain (QP), and a steroid receptor co-activator-1 interaction domain (SID). Methylation of the KIX domain by coactivator associated arginine methyltransferase 1 (CARM1) blocks its association with CREB that results in the blockage of CREB signaling. Phosphorylation of CBP by IKK- at serine 1382 and 1386 promotes cell growth by switching the binding preference of CBP from TP53 to NF-kB. This ZooMAb® recombinant monoclonal antibody, generated by our propriety technology, offers significantly enhanced specificity, affinity, reproducibility, and stability over conventional monoclonals. (Ref.: Das, C., et al. (2014). Proc. Natl. Acad. Sci. USA. 111(12); E1072-E1081; Song, C., et al. (2017). Genes Dev. 31(13); 1370-1381; Karamouzis, MV., et al. (2007). Cell Res. 17(4); 324-332).
ZooMAb® antibodies represent an entirely new generation of recombinant monoclonal antibodies.Each ZooMAb® antibody is manufactured using our proprietary recombinant expression system, purified to homogeneity, and precisely dispensed to produce robust and highly reproducible lot-to-lot consistency. Only top-performing clones are released for use by researchers. Each antibody is validated for high specificity and affinity across multiple applications, including its most commonly used application. ZooMAb® antibodies are reliably available and ready to ship when you need them.

Immunogen

KLH-conjugated linear peptide corresponding to 25 amino acids from the N-terminal region of human CREB-binding protein (CBP).

Application

Quality Control Testing

Evaluated by Immunocytochemistry in MCF-7 cells.

Immunocytochemistry Analysis: A 1:100 dilution of this antibody detected CREB-binding protein (CBP) in MCF-7 cells.

Tested Applications

Affinity Binding Assay: A representative lot of this antibody bound CREB-binding protein (CBP) peptide with a KD of 1.3 x 10-7 in an affinity binding assay.

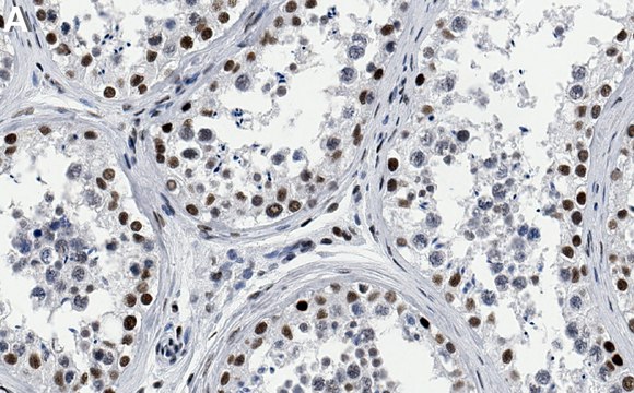
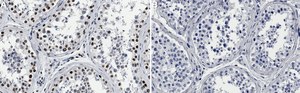
Immunohistochemistry (Paraffin) Analysis: A 1:100 dilution from a representative lot detected CREB-binding protein (CBP) in human testis tissue sections.

Note: Actual optimal working dilutions must be determined by end user as specimens, and experimental conditions may vary with the end user.

Biochem/physiol Actions

Clone 3N20 is a ZooMAb® Rabbit recombinant monoclonal antibody that specifically detects CREB-binding protein (CBP). It targets an epitope within 25 amino acids from the N-terminal region.

Physical form

Purified recombinant rabbit monoclonal antibody IgG, lyophilized in PBS with 5% Trehalose, normal appearance a coarse or translucent resin. The PBS/trehalose components in the ZooMAb formulation can have the appearance of a semi-solid (bead like gel) after lyophilization. This is a normal phenomenon. Please follow the recommended reconstitution procedure in the data sheet to dissolve the semi-solid, bead-like, gel-appearing material. The resulting antibody solution is completely stable and functional as proven by full functional testing. Contains no biocide or preservatives, such as azide, or any animal by-products. Larger pack sizes provided as multiples of 25 µL.

Preparation Note

Recommend storage of lyophilized product at 2-8°C; Before reconstitution, micro-centrifuge vials briefly to spin down material to bottom of the vial; Reconstitute each vial by adding 25 µL of filtered lab grade water or PBS; Reconstituted antibodies can be stored at 2-8°C, or -20°C for long term storage. Avoid repeated freeze-thaws.
Reconstitute lyophilized antibody pellet with 25μL of ultrapure water or Phosphate Buffered Saline (PBS). Please refer to our reconstitution protocol and the specific application guidance on the suggested starting dilutions and sample type.

Legal Information

ZooMAb is a registered trademark of Merck KGaA, Darmstadt, Germany

Disclaimer

Unless otherwise stated in our catalog or other company documentation accompanying the product(s), our products are intended for research use only and are not to be used for any other purpose, which includes but is not limited to, unauthorized commercial uses, in vitro diagnostic uses, ex vivo or in vivo therapeutic uses or any type of consumption or application to humans or animals.


Still not finding the right product?

试用我们的 产品选型工具 工具缩小选择范围


存储类别

11 - Combustible Solids

wgk

WGK 1

flash_point_f

Not applicable

flash_point_c

Not applicable

法规信息

常规特殊物品

此项目有



历史批次信息供参考:

分析证书(COA)

Lot/Batch Number

没有发现合适的版本?

如果您需要特殊版本,可通过批号或批次号查找具体证书。

已有该产品?

在文件库中查找您最近购买产品的文档。

访问文档库



全球贸易项目编号

货号GTIN
ZRB1729-4X25UL04065269108801
ZRB1729-25UL04065269108795