biological source
rabbit
Quality Level
recombinant
expressed in HEK 293 cells
conjugate
unconjugated
antibody form
purified antibody
antibody product type
primary antibodies
clone
2G17, recombinant monoclonal
description
recombinant, expressed in HEK 293 cells
product line
ZooMAb® learn more
form
lyophilized
purified by
using Protein A
species reactivity
rat, mouse, human
packaging
antibody small pack of 25 μL
greener alternative product characteristics
Waste Prevention
Designing Safer Chemicals
Design for Energy Efficiency
Learn more about the Principles of Green Chemistry.
enhanced validation
recombinant expression
Learn more about Antibody Enhanced Validation
sustainability
Greener Alternative Product
technique(s)
affinity binding assay: suitable, immunofluorescence: suitable, immunohistochemistry: suitable, western blot: suitable
isotype
IgG
epitope sequence
C-terminal
Protein ID accession no.
UniProt accession no.
greener alternative category
shipped in
ambient
storage temp.
2-8°C
General description
C-C motif chemokine 2 (UniProt: P13500; also known as HC11, Monocyte chemoattractant protein 1, Monocyte chemotactic and activating factor, MCAF, Monocyte chemotactic protein 1, MCP-1, Monocyte secretory protein JE, Small-inducible cytokine A2) is encoded by the CCL2 (also known as MCP1, SCYA2) gene (Gene ID: 6347) in human. MCP belongs to a family that is composed of at least four members (MCP-1-4). MCP-1 is a potent chemotactic factor for monocytes and is shown to regulate migration and infiltration of monocytes/macrophages and memory T lymphocytes. It serves as a ligand for C-C-chemokine receptor CCR2 and its binding to CCR2 induces a strong chemotactic response and mobilization of intracellular calcium ions. It may be involved in the recruitment of monocytes into the arterial wall during the disease process of atherosclerosis. It is synthesized with a signal peptide (aa 1-23), which is subsequently cleaved off to produce the mature protein. It is produced by a variety of cells that are important for antiviral immune response, including endothelial, fibroblasts, epithelial, smooth muscle, mesangial, astrocytic, monocytic, and microglial cells. However, , monocyte/macrophages are the major SOURCE™ of MCP-1. The sequence, threonine 10 to tyrosine 13 appears to be essential for its function and any mutation in either of these residues results in significant decline in its activity. This ZooMAb® recombinant monoclonal antibody, generated by our propriety technology, offers significantly enhanced specificity, Affinity™, reproducibility, and stability over conventional monoclonals. (Ref.: Deshmane, SL., et al. (2009). J. Interferon Cytokine Res. 29(6); 313-326; Jarnagin, K., et al. (1999). Biochemistry. 38(49); 166167-16177; Li, YS., et al. (1993). Mol. Cell. Biochem. 126(1); 61-68).
We are committed to bringing you greener alternative products, which adhere to one or more of The 12 Principles of Green Chemistry.This antibody is Preservative-free, produced without the harm or sacrifice of animals and exceptionally stable to allow for ambient shipping and storage if needed and thus aligns with "Waste Prevention", "Designing Safer Chemicals" and "Design for Energy Efficiency". Click here for more information.
ZooMAb® antibodies represent an entirely new generation of recombinant monoclonal antibodies. Each ZooMAb® antibody is manufactured using our proprietary recombinant expression system, purified to homogeneity, and precisely dispensed to produce robust and highly reproducible lot-to-lot consistency. Only top-performing clones are released for use by researchers. Each antibody is validated for high specificity and affinity across multiple applications, including its most commonly used application. ZooMAb® antibodies are reliably available and ready to ship when you need them.
Immunogen
KLH-conjugated linear peptide corresponding to 17 amino acids from the C-terminal region of human Monocyte chemotactic protein 1 (MCP-1).
Application
Quality Control Testing
Evaluated by Western Blotting in Mouse kidney tissue lysate.
Western Blotting Analysis: A 1:1,000 dilution of this antibody detected MCP-1 in Mouse kidney tissue lysate.
Tested Applications
Western Blotting Analysis: A 1:1,000 dilution from a representative lot detected MCP-1 in Human kidney and Rat kidney tissue lysates, and recombinant Human MCP-1 protein.
Affinity Binding Assay: A representative lot of this antibody bound MCP-1 peptide with a KD of 7.6 x 10-7 in an affinity binding assay.
Immunofluorescence Analysis: A 1:1,000 dilution from a representative lot detected MCP-1 in human kidney tissue sections.
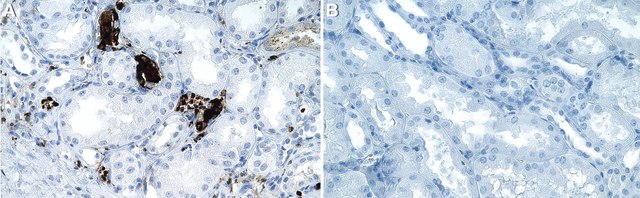
Immunohistochemistry (Paraffin) Analysis: A 1:1,000 dilution from a representative lot detected MCP-1 in human kidney tissue sections.
Note: Actual optimal working dilutions must be determined by end user as specimens, and experimental conditions may vary with the end user.
Evaluated by Western Blotting in Mouse kidney tissue lysate.
Western Blotting Analysis: A 1:1,000 dilution of this antibody detected MCP-1 in Mouse kidney tissue lysate.
Tested Applications
Western Blotting Analysis: A 1:1,000 dilution from a representative lot detected MCP-1 in Human kidney and Rat kidney tissue lysates, and recombinant Human MCP-1 protein.
Affinity Binding Assay: A representative lot of this antibody bound MCP-1 peptide with a KD of 7.6 x 10-7 in an affinity binding assay.
Immunofluorescence Analysis: A 1:1,000 dilution from a representative lot detected MCP-1 in human kidney tissue sections.
Immunohistochemistry (Paraffin) Analysis: A 1:1,000 dilution from a representative lot detected MCP-1 in human kidney tissue sections.
Note: Actual optimal working dilutions must be determined by end user as specimens, and experimental conditions may vary with the end user.
Biochem/physiol Actions
Clone 2G17 is a ZooMAb® rabbit recombinant monoclonal antibody that specifically detects Monocyte chemotactic protein 1 (MCP-1). It targets an epitope within 17 amino acids from the C-terminal region.
Physical form
Purified recombinant rabbit monoclonal antibody IgG, lyophilized in PBS with 5% Trehalose, normal appearance a coarse or translucent resin. The PBS/trehalose components in the ZooMAb formulation can have the appearance of a semi-solid (bead like gel) after lyophilization. This is a normal phenomenon. Please follow the recommended reconstitution procedure in the data sheet to dissolve the semi-solid, bead-like, gel-appearing material. The resulting antibody solution is completely stable and functional as proven by full functional testing. Contains no biocide or preservatives, such as azide, or any animal by-products. Larger pack sizes provided as multiples of 25 µL.
Preparation Note
Recommend storage of lyophilized product at 2-8°C; Before reconstitution, micro-centrifuge vials briefly to spin down material to bottom of the vial; Reconstitute each vial by adding 25 µL of filtered lab grade water or PBS; Reconstituted antibodies can be stored at 2-8°C, or -20°C for long term storage. Avoid repeated freeze-thaws.
Reconstitute lyophilized antibody pellet with 25μL of ultrapure water or Phosphate Buffered Saline (PBS). Please refer to our reconstitution protocol and the specific application guidance on the suggested starting dilutions and sample type.
Other Notes
Concentration: Please refer to the Certificate of Analysis for the lot-specific concentration.
Legal Information
Affinity is a trademark of Mine Safety Appliances Co.
SOURCE is a trademark of Cytiva
ZooMAb is a registered trademark of Merck KGaA, Darmstadt, Germany
Disclaimer
Unless otherwise stated in our catalog or other company documentation accompanying the product(s), our products are intended for research use only and are not to be used for any other purpose, which includes but is not limited to, unauthorized commercial uses, in vitro diagnostic uses, ex vivo or in vivo therapeutic uses or any type of consumption or application to humans or animals.
Still not finding the right product?
试用我们的 产品选型工具 工具缩小选择范围
存储类别
11 - Combustible Solids
wgk
WGK 1
flash_point_f
Not applicable
flash_point_c
Not applicable
法规信息
常规特殊物品
此项目有
全球贸易项目编号
| 货号 | GTIN |
|---|---|
| ZRB1763-25UL | 04065269267997 |
| ZRB1763-4X25UL | 04065269268000 |